chevron_left
chevron_right
Todo
Apuntes
Ejercicios
Exámenes
publication
Test
Trabajos
chevron_left
chevron_right

He publicado nuevos apuntes de 1º Anatomía Humana: APUNTES-ANATOMIA-2o-CUATRI.pdf

101 páginas

He publicado nuevos apuntes de 1º Anatomía Humana: APUNTES-ANATOMIA-1-CUATRI.pdf

35 páginas

He publicado nuevos apuntes de 1º Anatomía Humana: Esquema-tema-5.pdf

15 páginas

He publicado nuevos apuntes de 1º Anatomía Humana: Esquema-tema-3.pdf

15 páginas

He publicado nuevos apuntes de 1º Anatomía Humana: Esquema-tema 1. Introduccion-al-cuerpo-humano.pdf.pdf

1 página
Anónimo

@Anónimo

último simulacro anatomía de Fernando Cobo Vicente

word

He publicado nuevos test de 1º Anatomía Humana: TEST-DE-PRACTICA-2o-CUATRI-ANATOMIA.pdf

7 páginas
Anónimo

@Anónimo

Hola!! Aquí subo un resumen de locomotor que a lo mejor ayuda a bastantes, sobretodo con el examen tan cerquita. Hecho para el examen del profesor de Anatomía (fernando) de Paseo de la Habana. Muchísima suerte chicos!!

22 páginas

apuntes

-

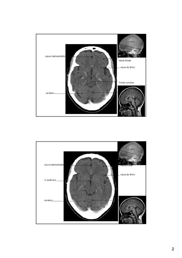
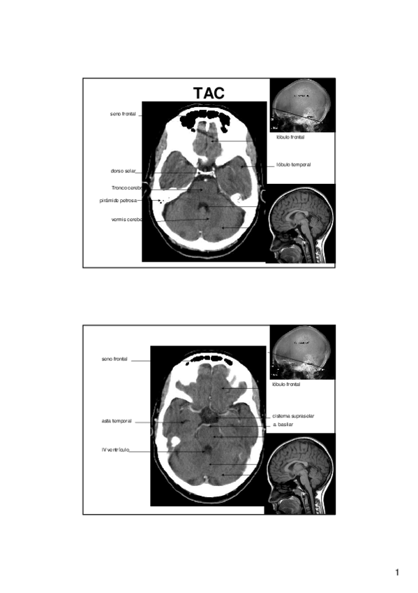
IMAGENES NEURO

Hola chicos! Como alma caritativa se que hay gente que no tiene estas diapos con las imagenes y tal , así que aquí teneís. Muchísima suerte.

TEMA-10-DIVISIONES-DEL-SNC.-PARTES-DEL-ENCEFALO.pdf
TEMA-11-TELENCEFALO-CEREBRO.pdf
TEMA-12-DIENCEFALO.pdf
TEMA-13-TRONCO-DEL-ENCEFALO.pdf
TEMA-14-MENINGES-Y-CIRCULACION-DEL-LCR.pdf
TEMA-15-VASCULARIZACION-DEL-SNC.pdf

He publicado nuevos apuntes de 1º Anatomía Humana: Tema50Cuello-GuiaDeEstudio.pdf

5 páginas

Esquema sobre el tema 3 de anatomía. Histología

3 páginas

apuntes

-

ANATOMÍA HUMANA

Examenes aprobados a la primera

ANATOMIA-TEMA-3-SISTEMA-URINARIO.pdf
ANATOMIA-TEMA-4-REPRODUCTOR.pdf
ANATOMIA-TEMA-5-DIGESTIVO.pdf
ANATOMIA-SISTEMA-RESPIRATORIO.pdf
ANATOMIA-TEMA-7.docx
ANATOMIA-TEMA-1.2.pdf

apuntes

-

ANATOMÍA

He publicado nuevos apuntes de 1º Anatomía Humana: ANATOMÍA

Sistema-arterial.pdf
Corazon.pdf

plantillas de anatomía del sistema nervios

8 páginas

plantilla de anatomía sobre el tema de digestivo y urinario

5 páginas

plantillas de anatomía sobre tema cardiovascular y respiratoria del primer cuatrimestre

4 páginas

plantillas de los órganos de los sentidos del primer cuatrimestre

3 páginas

Anatomia humana temas 32 al 43

34 páginas

apuntes

-

Apuntes completos anatomía primer cuatri 1º enfermería

Apuntes completos del primer semestre de anatomía de 1º Enfermería (Escuela Universitaria de Enfermería y Fisioterapia San Juan De Dios, Comillas Bormujos)

Anatomia-Temas-1-11-primer-semestre.pdf
Anatomia-Temas-12-23-primer-semestre.pdf
LAMINAS-ANATOMIA-PRIMER-CUATRI-1o-ENFERMERIA.pdf

anatomia temas 24 al 31

30 páginas

He publicado nuevos apuntes de 1º Anatomía Humana: Tema-36-ANATOMIA-1.pdf

8 páginas

He publicado nuevos apuntes de 1º Anatomía Humana: Tema-45-ANATOMIA-1.pdf

4 páginas

He publicado nuevos apuntes de 1º Anatomía Humana: Tema-35-ANATOMIA-1.pdf

8 páginas

He publicado nuevos apuntes de 1º Anatomía Humana: Tema-46-ANATOMIA.pdf

4 páginas

He publicado nuevos apuntes de 1º Anatomía Humana: Tema-37-ANATOMIA-1.pdf

4 páginas

He publicado nuevos apuntes de 1º Anatomía Humana: Tema-47-ANATOMIA-1.pdf

4 páginas

He publicado nuevos apuntes de 1º Anatomía Humana: Tema-43-ANATOMIA-1.pdf

5 páginas

He publicado nuevos apuntes de 1º Anatomía Humana: Tema-42-ANATOMIA-1.pdf

3 páginas

He publicado nuevos apuntes de 1º Anatomía Humana: Tema-41-ANATOMIA-1.pdf

5 páginas

He publicado nuevos apuntes de 1º Anatomía Humana: Tema-40-ANATOMIA-2.pdf

4 páginas

He publicado nuevos apuntes de 1º Anatomía Humana: Tema-39-ANATOMIA-1.pdf

4 páginas

He publicado nuevos apuntes de 1º Anatomía Humana: Tema-38-ANATOMIA-1.pdf

3 páginas

He publicado nuevos apuntes de 1º Anatomía Humana: Tema-34-ANATOMIA-2.pdf

6 páginas

He publicado nuevos apuntes de 1º Anatomía Humana: Tema-33-ANATOMIA-1.pdf

4 páginas

He publicado nuevos apuntes de 1º Anatomía Humana: T31-Extremidad-Superior-Osteoarticular-1.pdf

7 páginas

He publicado nuevos apuntes de 1º Anatomía Humana: TEMA-28-ANATOMIA-1.pdf

5 páginas

He publicado nuevos apuntes de 1º Anatomía Humana: Tema-32-ANATOMIA-1.pdf

7 páginas

He publicado nuevos apuntes de 1º Anatomía Humana: TEMAS-26-y-27-ANATOMIA.pdf

8 páginas

He publicado nuevos apuntes de 1º Anatomía Humana: TEMA-28-ANATOMIA.pdf

5 páginas

He publicado nuevos apuntes de 1º Anatomía Humana: TEMA-24-ANATOMIA.pdf

6 páginas

He publicado nuevos apuntes de 1º Anatomía Humana: TEMA-25-ANATOMIA.pdf

5 páginas

He publicado nuevos apuntes de 1º Anatomía Humana: TEMA-23-ANATOMIA.pdf

4 páginas

He publicado nuevos examenes de 1º Anatomía Humana: PARCIAL.pdf

12 páginas

RESUMENES TEMAS 20 - 23 DE ANATOMÍA

16 páginas

preguntas tipo test anatomia temario del 1º cuatri

19 páginas

apuntes anatomia humana 1º cuatrimestre completos

76 páginas

tema de anatomía sobre el corazón

5 páginas

tema de anatomía sobre la cara

4 páginas

tema de anatomía sobre el cráneo

6 páginas

tema de anatomía sobre el SENTIDO DEL OLFATO. GUSTO Y SENSIBILIDAD. SOMESTÉSICA

4 páginas

tema de anatomía sobre la audición

4 páginas

tema de anatomía sobre el sentido de la vista

4 páginas

tema de anatomía sobre el sistema nervioso autónomo

3 páginas

tema de anatomía sobre SISTEMA NERVIOSO PERIFÉRICO

6 páginas

tema de anatomía humana sobre el sistema nervioso periférico

5 páginas

tema de anatomía humana sobre la médula espinal

5 páginas

tema de anatomía sobre la circulación cerebral

5 páginas

temas de anatomía humana sobre el sistema nervioso central

20 páginas

tema de anatomía sobre el sistema nervioso

5 páginas

tema 2 y 3 de anatomía humana sobre histología

19 páginas