Anatomía Patológica General y Especial

chevron_left
chevron_right
Todo
Apuntes
Exámenes
Prácticas
publication
Trabajos
chevron_left
chevron_right
Anónimo

@Anónimo

He publicado nuevos examenes de 3º Anatomía Patológica General y Especial: EXAMEN-ORDINARIA-ANATOMIA-PATOLOGICA-2026.pdf

21 páginas
Anónimo

@Anónimo

He publicado nuevos examenes de 3º Anatomía Patológica General y Especial: Segundo-parcial-AP-2025-con-respuestas.pdf

6 páginas
Anónimo

@Anónimo

He publicado nuevos examenes de 3º Anatomía Patológica General y Especial: Pratica segundo parcial- 9/12/25.jpg.jpg

Imagen
Anónimo

@Anónimo

He publicado nuevos examenes de 3º Anatomía Patológica General y Especial: Teoria 2 segundo parcial- 9/12/2025.jpg

Imagen
Anónimo

@Anónimo

He publicado nuevos examenes de 3º Anatomía Patológica General y Especial: Teoria 1 Segundo parcial 9/12/2025.jpg.jpg

Imagen

He publicado nuevos apuntes de 3º Anatomía Patológica General y Especial: CLAVE-12-16.pdf

5 páginas

He publicado nuevos apuntes de 3º Anatomía Patológica General y Especial: Bloque-Aparato-Urinario.pdf

1 página

He publicado nuevos apuntes de 3º Anatomía Patológica General y Especial: Melanomas.pdf

3 páginas

He publicado nuevos apuntes de 3º Anatomía Patológica General y Especial: Patologia-Aparto-Reproductor-Femenino.pdf

6 páginas

He publicado nuevos apuntes de 3º Anatomía Patológica General y Especial: Patologia-SNC.pdf

8 páginas

He publicado nuevos apuntes de 3º Anatomía Patológica General y Especial: Patologia-Mamaria.pdf

4 páginas

He publicado nuevos apuntes de 3º Anatomía Patológica General y Especial: Patologia-Genito-urinaria-Masculina.pdf

2 páginas

He publicado nuevos apuntes de 3º Anatomía Patológica General y Especial: PATOLOGIA-SISTEMA-ENDOCRINO.pdf

2 páginas

He publicado nuevos apuntes de 3º Anatomía Patológica General y Especial: Linfomas-Proceso.pdf

3 páginas

He publicado nuevos apuntes de 3º Anatomía Patológica General y Especial: Tumores-Oseos.pdf

1 página

He publicado nuevos apuntes de 3º Anatomía Patológica General y Especial: Patologia-Digestiva.pdf

9 páginas

He publicado nuevos apuntes de 3º Anatomía Patológica General y Especial: TEMA-33-AP-TUMORES-EPITELIALES-NO-CELULAS-PEQUENAS.pdf

1 página
Anónimo

@Anónimo

He publicado nuevos examenes de 3º Anatomía Patológica General y Especial: examen-practicas-2025-con-soluciones.pdf

30 páginas
Anónimo

@Anónimo

He publicado nuevos examenes de 3º Anatomía Patológica General y Especial: Examen-practico-final-AP-RESUELTO-202526.pdf.pdf

11 páginas

He publicado nuevos apuntes de 3º Anatomía Patológica General y Especial: Bloque-AR-femenino.pdf

2 páginas

Este docu contiene todos los examenes finales de Practicas de Anatomia Patologica con explicaciones de las muestras!

57 páginas

He publicado nuevos practicas de 3º Anatomía Patológica General y Especial: Practica-microscopio-tiroides.pdf

3 páginas

He publicado nuevos apuntes de 3º Anatomía Patológica General y Especial: SEMINARIO-4-AP-PLACENTA.pdf

3 páginas
Anónimo

@Anónimo

Examen del 6 de noviembre

7 páginas

He publicado nuevos apuntes de 3º Anatomía Patológica General y Especial: Tumores-dermatopatologia.pdf

2 páginas

He publicado nuevos apuntes de 3º Anatomía Patológica General y Especial: Bloque-Hematopatologia.pdf

1 página

He publicado nuevos practicas de 3º Anatomía Patológica General y Especial: Practicas-microscopicas-4-pat-tiroidea.pdf

2 páginas

He publicado nuevos apuntes de 3º Anatomía Patológica General y Especial: Bloque-Endocrino.pdf

1 página

He publicado nuevos apuntes de 3º Anatomía Patológica General y Especial: Bloque-digestivo.pdf

3 páginas

He publicado nuevos apuntes de 3º Anatomía Patológica General y Especial: PRACTICA-MICROSCOPIA-5.pdf

4 páginas

Segundo ciclo de prácticas

17 páginas

He publicado nuevos practicas de 3º Anatomía Patológica General y Especial: PRACTICA-MICROSCOPICA-TIROIDES.pdf

2 páginas
Anónimo

@Anónimo

He publicado nuevos apuntes de 3º Anatomía Patológica General y Especial: PARCIAL-1-TEORIA-Y-PRACTICAS-2025.pdf

6 páginas

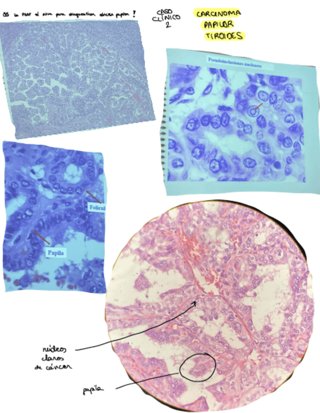
He publicado nuevos apuntes de 3º Anatomía Patológica General y Especial: Practica-tiroides-casos-clinicos.pdf

3 páginas

He publicado nuevos practicas de 3º Anatomía Patológica General y Especial: Seminario-autopsia-fetal.pdf

5 páginas

He publicado nuevos practicas de 3º Anatomía Patológica General y Especial: SEMINARIO-ENVEJECIMIENTO-AP.pdf

4 páginas

He publicado nuevos practicas de 3º Anatomía Patológica General y Especial: Seminario-Matriz-Extracelular.pdf

3 páginas

He publicado nuevos practicas de 3º Anatomía Patológica General y Especial: SEMINARIO-MATRIZ-EXTRACELULAR.pdf

3 páginas

exam

Apuntes prácticas AP

20 páginas

He publicado nuevos practicas de 3º Anatomía Patológica General y Especial: PRACTICAS-MICROSCOPICAS-3.pdf

4 páginas

He publicado nuevos practicas de 3º Anatomía Patológica General y Especial: PRACTICAS-MICROSCOPICAS-2.pdf

2 páginas

He publicado nuevos practicas de 3º Anatomía Patológica General y Especial: PRACTICA-MICROSCOPICA-1.pdf

2 páginas

He publicado nuevos practicas de 3º Anatomía Patológica General y Especial: Telepatologia-Casos-Juan-Rosai-1-11.pdf

15 páginas

He publicado nuevos apuntes de 3º Anatomía Patológica General y Especial: NEOPLASIAS-clase-I.pdf

3 páginas

He publicado nuevos practicas de 3º Anatomía Patológica General y Especial: Autopsia del adulto.pdf

3 páginas

He publicado nuevos practicas de 3º Anatomía Patológica General y Especial: Seminario matriz extracelular.pdf

3 páginas

He publicado nuevos examenes de 3º Anatomía Patológica General y Especial: EXTRAORDINARIA2025.pdf

18 páginas

He publicado nuevos examenes de 3º Anatomía Patológica General y Especial: Examen-AP-2024-25-Ordinaria.pdf

2 páginas

He publicado nuevos apuntes de 3º Anatomía Patológica General y Especial: KAHOOT-SINDROMES-DE-TUMORES-ENDOCRINOS-HEREDITARIOS-CURSO-2024-2025.pdf

1 página

He publicado nuevos apuntes de 3º Anatomía Patológica General y Especial: KAHOOT-PATOLOGIA-DE-LA-GLANDULA-TIROIDES-CURSO-2024-2025.pdf

1 página

He publicado nuevos apuntes de 3º Anatomía Patológica General y Especial: NEOPLASIAS-PULMONARES-Y-PLEURA.pdf

5 páginas

He publicado nuevos apuntes de 3º Anatomía Patológica General y Especial: TEMA-MELANOMAS.pdf

10 páginas

apuntes

-

AP

He publicado nuevos apuntes de 3º Anatomía Patológica General y Especial: AP

Carcinogenesis.pdf
Melanociticas-benignas.pdf
Dermatopatologia.pdf
Genital-femenino.pdf
Hematolinfoide.pdf
Patologia-de-la-mama.pdf

2024

10 páginas

2024

2 páginas

APUNTES NUEVOS 2024

4 páginas

He publicado nuevos apuntes de 3º Anatomía Patológica General y Especial: Tabla-Neoplasias-Mama-AP.pdf

2 páginas

2024

3 páginas

2024

2 páginas