Anatomía Patológica II

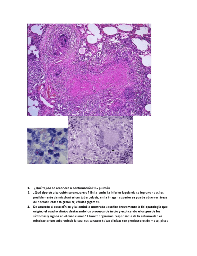
chevron_left
chevron_right
Todo
Apuntes
Exámenes
Trabajos
chevron_left
chevron_right

He publicado nuevos apuntes de 3º Anatomía Patológica II: resumen-anatopato-parte-ii-temas-13-21.pdf

19 páginas

He publicado nuevos apuntes de 3º Anatomía Patológica II: resumen-anatopato-parte-i-temas-1-12.pdf

24 páginas

He publicado nuevos apuntes de 3º Anatomía Patológica II: apuntes-resumidos-tema-21-TUMORES-MELANOCITICOS.pdf

3 páginas

He publicado nuevos apuntes de 3º Anatomía Patológica II: apuntes-resumidos-tema-20-TUMORES-DEL-SISTEMA-NERVIOSO-CENTRAL-SNC.pdf

3 páginas

He publicado nuevos apuntes de 3º Anatomía Patológica II: apuntes-resumidos-tema-19-PATOLOGIA-DEL-TRACTO-GENITAL-FEMENINO-Y-GESTACIONAL.pdf

4 páginas
Anónimo

@Anónimo

He publicado nuevos apuntes de 3º Anatomía Patológica II: AP-pancreas-y-g.-salivales.pdf

3 páginas
Anónimo

@Anónimo

He publicado nuevos apuntes de 3º Anatomía Patológica II: AP-Pulmon-no-tumoral.pdf

3 páginas

He publicado nuevos apuntes de 3º Anatomía Patológica II: tema-4-mieloma.docx

word

He publicado nuevos apuntes de 3º Anatomía Patológica II: tema-1.docx

word

Trabajo de práctica de laboratorio, sem 14, UCSur Curso: Anatomía Patológica 2

5 páginas

Trabajo de práctica de laboratorio, sem 13, UCSur Curso: Anatomía Patológica 2

5 páginas

Trabajo de práctica de laboratorio, sem 12, UCSur Curso: Anatomía Patológica 2

5 páginas

Trabajo de práctica de laboratorio, sem 11, UCSur Curso: Anatomía Patológica 2

5 páginas

Trabajo de práctica de laboratorio, sem 10, UCSur Curso: Anatomía Patológica 2

5 páginas

Trabajo de práctica de laboratorio, sem 9, UCSur Curso: Anatomía Patológica 2

5 páginas

Trabajo de práctica de laboratorio, sem 8, UCSur Curso: Anatomía Patológica 2

5 páginas

Trabajo de práctica de laboratorio, sem 8.2, UCSur Curso: Anatomía Patológica 2

5 páginas

Trabajo de práctica de laboratorio, sem 7, UCSur Curso: Anatomía Patológica 2

5 páginas

Trabajo de práctica de laboratorio, sem 5, UCSur Curso: Anatomía Patológica 2

5 páginas

Trabajo de práctica de laboratorio, sem 4, UCSur Curso: Anatomía Patológica 2

10 páginas

Apuntes y conceptos del test de 2024

1 página

He publicado nuevos apuntes de 3º Anatomía Patológica II: PORTAFOLIOS-DE-PATO-2.pdf

144 páginas

He publicado nuevos apuntes de 3º Anatomía Patológica II: PATO-LAB-RESUMENES.pdf

15 páginas

He publicado nuevos apuntes de 3º Anatomía Patológica II: ANATOPATO-II-TEORIA-S8-5.pdf

81 páginas

He publicado nuevos apuntes de 4º Anatomía Patológica II: Vesicula-biliarColelitiasis-coledocolitiasis-y-carcinoma-de-vesicula-biliar.pdf

6 páginas

He publicado nuevos apuntes de 4º Anatomía Patológica II: PancreasPancreatitis-aguda-y-cronica-adenocarcinoma-ductal.pdf

7 páginas

He publicado nuevos apuntes de 4º Anatomía Patológica II: Nomenclatura-de-los-tumores-y-clasificacion.-Bases-moleculares.pdf

10 páginas

He publicado nuevos apuntes de 4º Anatomía Patológica II: Lesiones-del-esofago.pdf

7 páginas

He publicado nuevos apuntes de 4º Anatomía Patológica II: Neoplasias-benignas-y-malignas-de-colonAdenomas-poliposis-adenomatosa-familiar-y-adenocarcinoma.pdf

6 páginas

He publicado nuevos apuntes de 4º Anatomía Patológica II: HigadoHepatitis-cirrosis-y-carcinoma-hepatocelular.pdf

7 páginas

He publicado nuevos apuntes de 4º Anatomía Patológica II: Enfermedades-de-la-laringe.pdf

5 páginas

He publicado nuevos apuntes de 4º Anatomía Patológica II: Estomago-y-duodenoGastritis-ulcera-peptica-adenocarcinoma-tumor-del-estroma-gastrointestinal.pdf

7 páginas

He publicado nuevos apuntes de 4º Anatomía Patológica II: Enfermedades-de-cavidad-oral-y-glandulas-salivales.pdf

9 páginas

He publicado nuevos apuntes de 4º Anatomía Patológica II: Enfermedades-de-la-cavidad-nasal.pdf

7 páginas

He publicado nuevos apuntes de 4º Anatomía Patológica II: Enfermedad-inflamatoria-intestinal.pdf

5 páginas

He publicado nuevos apuntes de 4º Anatomía Patológica II: Enfermedad-diverticular.pdf

5 páginas

He publicado nuevos apuntes de 4º Anatomía Patológica II: Enfermedad-de-Creutzfeldt-Jakob.pdf

4 páginas

He publicado nuevos apuntes de 4º Anatomía Patológica II: Enfermedad-celiaca-y-enfermedades-que-producen-malabsorcion.pdf

6 páginas

He publicado nuevos apuntes de 4º Anatomía Patológica II: Condromas.pdf

3 páginas

He publicado nuevos apuntes de 4º Anatomía Patológica II: Agentes-carcinogenos.-Diagnostico-estadificacion-y-sindromes-paraneoplasicos.pdf

9 páginas

apuntes

-

Anatopato Robbins

He publicado nuevos apuntes de 4º Anatomía Patológica II: Anatopato Robbins

Anatopatologia-de-vagina-Robbins.pdf
Anatopatologia-de-esofago.pdf

He publicado nuevos apuntes de 4º Anatomía Patológica II: Enfermedades-quisticas-tenales.pdf

1 página

Generalidades - Mapa cognitivo

1 página

He publicado nuevos apuntes de 4º Anatomía Patológica II: Anemia.pdf

Miniatura no disponible
pdf

He publicado nuevos apuntes de 4º Anatomía Patológica II: Patologia-Congenita-del-Sistema-Nervioso-Central.pdf

10 páginas

He publicado nuevos apuntes de 4º Anatomía Patológica II: Malabsorcion-Patologia.pdf

4 páginas

He publicado nuevos apuntes de 4º Anatomía Patológica II: Escala-de-Gleason-Cancer-de-Prostata.pdf

6 páginas

He publicado nuevos apuntes de 4º Anatomía Patológica II: Test-de-Cancer-Gastrico.pdf

4 páginas

He publicado nuevos apuntes de 4º Anatomía Patológica II: Esclerosis-Lateral-Amiotrofica.pdf

2 páginas

He publicado nuevos apuntes de 4º Anatomía Patológica II: Degeneraciones-Espinocerebelosas.pdf

3 páginas

He publicado nuevos apuntes de 4º Anatomía Patológica II: Cardiopatia-Isquemica-IAM.pdf

50 páginas

He publicado nuevos apuntes de 4º Anatomía Patológica II: Alzheimer-VS-Parkinson-Comparativa.pdf

4 páginas

He publicado nuevos apuntes de 4º Anatomía Patológica II: Neuroinfecciones.pdf

9 páginas

He publicado nuevos apuntes de 4º Anatomía Patológica II: Casos-clinicos-Morfologia-Patologica.pdf

4 páginas

He publicado nuevos apuntes de 4º Anatomía Patológica II: Clasificacion-lesiones-perifericas-.pdf

14 páginas

He publicado nuevos apuntes de 4º Anatomía Patológica II: Tema-1.pdf

10 páginas
Anónimo

@Anónimo

He publicado nuevos apuntes de 4º Anatomía Patológica II: SISTEMA-TEGUMENTARIO.pdf

21 páginas
¡Estás al día!

¡Estás al día!

Has visto todos los archivos