Aparatos de ortodoncia y férulas oclusales

chevron_left
chevron_right
Todo
Apuntes
Ejercicios
chevron_left
chevron_right

Cuadernillo de prácticas Ap. De ortodoncia 1º Trimestre

8 páginas

Ejercicio de cefalometrias de ortodoncia. Respuestas corregidas. Muy útil para estuiar.

2 páginas

Resumen completo del Tema 5 de Ortodoncia: análisis de modelos dentales, medición de discrepancia oseodentaria, índices dentales y cefalometría (McNamara, Steiner, Ricketts, Björk-Jarabak). Ideal para estudiantes de Prótesis Dentales y Ortodoncia, y perfe

8 páginas

Resumen completo del Tema 4 de Ortodoncia: recogida de datos del paciente, elaboración y montaje de modelos, técnicas radiográficas, uso de articuladores y determinación de diagnóstico. Ideal para estudiantes de Prótesis Dentales y Ortodoncia, y perfecto

6 páginas

Resumen tema 2 rehabilitación de prótesis sobre implantes con tipo test incluidos

12 páginas

Resumen del examen tema 4 ortodoncia funcional

14 páginas

He publicado nuevos apuntes de Aparatos de ortodoncia y férulas oclusales: RESINAS-ORTODONCIA.pdf

4 páginas

He publicado nuevos apuntes de Aparatos de ortodoncia y férulas oclusales: CUADERNO-PRACTICAS-ORTODONCIA.pdf

31 páginas

He publicado nuevos apuntes de Aparatos de ortodoncia y férulas oclusales: Terminologias-en-Ortodoncia.pdf

28 páginas

He publicado nuevos apuntes de Aparatos de ortodoncia y férulas oclusales: Cuaderno-ortodoncia.pdf

18 páginas

He publicado nuevos apuntes de Aparatos de ortodoncia y férulas oclusales: ORTODONCIA-FIJA.odt

word

He publicado nuevos apuntes de Aparatos de ortodoncia y férulas oclusales: Elaboracion-aparatos-removibles.pdf

3 páginas

Resumen tema biomecánica, reacciones tratamientos

2 páginas
Anónimo

@Anónimo

He publicado nuevos apuntes de Aparatos de ortodoncia y férulas oclusales: Tema-1.pdf

17 páginas

He publicado nuevos apuntes de Aparatos de ortodoncia y férulas oclusales: Radiografias-y-puntos-cefalometricos.pdf

3 páginas

He publicado nuevos apuntes de Aparatos de ortodoncia y férulas oclusales: Clases-de-angle.pdf

3 páginas
Anónimo

@Anónimo

He publicado nuevos apuntes de Aparatos de ortodoncia y férulas oclusales: ORTODONCIA-Y-TIPOS.pdf

2 páginas
Anónimo

@Anónimo

He publicado nuevos apuntes de Aparatos de ortodoncia y férulas oclusales: NOMENCLATURA-DENTARIA.pdf

4 páginas
Anónimo

@Anónimo

He publicado nuevos apuntes de Aparatos de ortodoncia y férulas oclusales: ANOMALIAS-Y-DISPLASIAS-DENTARIAS.pdf

10 páginas

He publicado nuevos apuntes de Aparatos de ortodoncia y férulas oclusales: 1-Global-ortodoncia.pdf

27 páginas

He publicado nuevos apuntes de Aparatos de ortodoncia y férulas oclusales: Tema-1.-Identificacion-De-Anomalias-Dentofaciales-Y-Biomecanicas.pdf

23 páginas

He publicado nuevos apuntes de Aparatos de ortodoncia y férulas oclusales: UT-2-EL-MOVIMIENTO-DENTARIO-1.pdf

34 páginas

He publicado nuevos apuntes de Aparatos de ortodoncia y férulas oclusales: UT6-PREVENCIAN-DE-RIESGOS.pdf

20 páginas

He publicado nuevos apuntes de Aparatos de ortodoncia y férulas oclusales: UT1.-INTRODUCCION.pdf

21 páginas

He publicado nuevos apuntes de Aparatos de ortodoncia y férulas oclusales: UT1..pdf

12 páginas

He publicado nuevos apuntes de Aparatos de ortodoncia y férulas oclusales: UT1..pdf

29 páginas

He publicado nuevos ejercicios de Aparatos de ortodoncia y férulas oclusales: UT6.-PICTOGRAMAS.-ACTIVIDADES.pdf

2 páginas

He publicado nuevos ejercicios de Aparatos de ortodoncia y férulas oclusales: UT6.-ACTIVIDADES.pdf

3 páginas

He publicado nuevos ejercicios de Aparatos de ortodoncia y férulas oclusales: UT2.-ACTIVIDADES.pdf

5 páginas

He publicado nuevos apuntes de Aparatos de ortodoncia y férulas oclusales: TECNICA-SAL-Y-PIMINETA-ORTODONCIA.pdf

4 páginas

He publicado nuevos apuntes de Aparatos de ortodoncia y férulas oclusales: GANCHO-BOLA-ORTODONCIA.pdf

4 páginas

He publicado nuevos apuntes de Aparatos de ortodoncia y férulas oclusales: ganchos-ortodoncia.pdf

4 páginas

He publicado nuevos apuntes de Aparatos de ortodoncia y férulas oclusales: ud-5-OROTODNICA.pdf

7 páginas

He publicado nuevos apuntes de Aparatos de ortodoncia y férulas oclusales: unidad-8-ortodoncia.pdf

10 páginas

He publicado nuevos apuntes de Aparatos de ortodoncia y férulas oclusales: Alicates.pdf

10 páginas

He publicado nuevos apuntes de Aparatos de ortodoncia y férulas oclusales: tema-6-ortodoncia-pdf.pdf

5 páginas

He publicado nuevos apuntes de Aparatos de ortodoncia y férulas oclusales: TEMA-7-ORTODONCIA-pdf.pdf

10 páginas

He publicado nuevos apuntes de Aparatos de ortodoncia y férulas oclusales: ALAMBRES-Y-SOLDADURAS.pdf

3 páginas

He publicado nuevos apuntes de Aparatos de ortodoncia y férulas oclusales: DCB3ED92-C06E-4A77-9814-D2772046389B.pdf

6 páginas

He publicado nuevos apuntes de Aparatos de ortodoncia y férulas oclusales: patologias-fisiologicas-de-los-dientes.pdf

6 páginas

He publicado nuevos apuntes de Aparatos de ortodoncia y férulas oclusales: APARATOS-ORTODONCIAS-Y-FERULAS-2.pdf

2 páginas

He publicado nuevos ejercicios de Aparatos de ortodoncia y férulas oclusales: EJERCICIOS-UT6.pdf

6 páginas

UT4. EQUIPOS, MATERIAL E INSTRUMENTAL

37 páginas

SIMULACIÓN EN EL MODELO DE ESTUDIO

5 páginas

UT3. - SIMULACIÓN EN EL MODELO DE ESTUDIO

4 páginas

TIPOS DE ANCLAJE INTRAORAL

5 páginas

ANCLAJES CONCEPTOS Y USOS

2 páginas

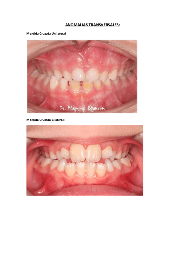
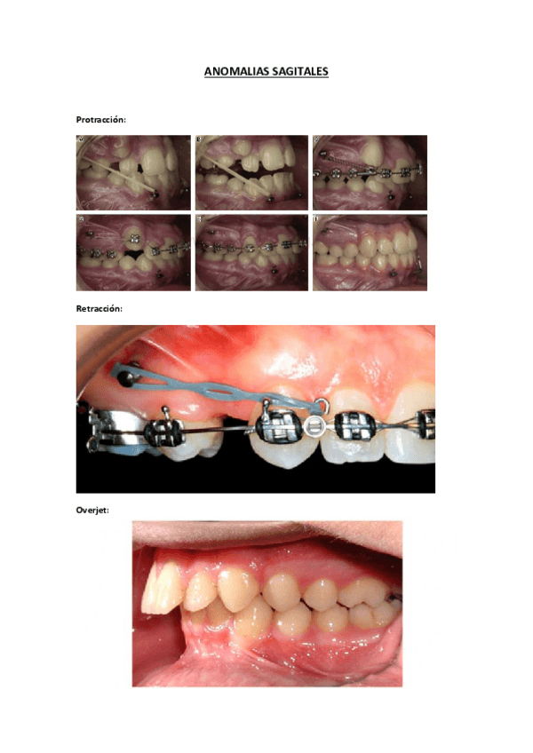
TIPOS DE MORDIDAS

3 páginas

He publicado nuevos apuntes de Aparatos de ortodoncia y férulas oclusales: Tema-O.-Historia-de-la-odontologia.pdf

6 páginas

He publicado nuevos apuntes de Aparatos de ortodoncia y férulas oclusales: trimestral-ortodoncia.pdf

7 páginas

He publicado nuevos apuntes de Aparatos de ortodoncia y férulas oclusales: PNT-Ferulas.pdf

2 páginas

He publicado nuevos apuntes de Aparatos de ortodoncia y férulas oclusales: glosario.pdf

2 páginas

He publicado nuevos apuntes de Aparatos de ortodoncia y férulas oclusales: ferulas-oclusales.pdf

10 páginas

He publicado nuevos apuntes de Aparatos de ortodoncia y férulas oclusales: glosario.pages

Miniatura no disponible
word

He publicado nuevos apuntes de Aparatos de ortodoncia y férulas oclusales: tema-4.pdf

19 páginas

He publicado nuevos apuntes de Aparatos de ortodoncia y férulas oclusales: ORTODONCIA-1o-TRIMESTRE.pdf

49 páginas

He publicado nuevos apuntes de Aparatos de ortodoncia y férulas oclusales: Infografia-Los-Brackets.-Ana-Blanquer.pdf

4 páginas

He publicado nuevos apuntes de Aparatos de ortodoncia y férulas oclusales: normoclusion.-ana-balnquer.pdf

2 páginas

He publicado nuevos apuntes de Aparatos de ortodoncia y férulas oclusales: APARATOS-FUNCIONALES-ORTODONCIA.pdf

2 páginas

He publicado nuevos apuntes de Aparatos de ortodoncia y férulas oclusales: APARATOS-REMOVIBLES-ORTODONCIA-1.pdf

6 páginas