Biologia Cel·lular i Histologia

chevron_left
chevron_right
Todo
Apuntes
Ejercicios
chevron_left
chevron_right

apuntes

-

Histologia

He publicado nuevos apuntes de 1º Biologia Cel·lular i Histologia: Histologia

TEMA-1-INTRODUCCIO.pdf
TEMA-2-TEIXIT-EPITELIAL.pdf
TEMA-3-TEIXIT-CONJUNTIU.pdf
TEMA-4-TEIXI-ADIPOS.pdf
TEMA-5-TEIXIT-CARTILAGINOS.pdf
TEMA-6-TEIXIT-OSSI.pdf

apuntes

-

2n parcial biocel

He publicado nuevos apuntes de 1º Biologia Cel·lular i Histologia: 2n parcial biocel

T9-MITOCONDRIS.pdf
T10-PEROXISOMES.pdf
T11-NUCLI.pdf
T12-CITOESQUELET-I-MICROFILAMENTS.pdf
T14-FILAMENTS-INTERMEDIS.pdf

apuntes

-

1er parcial biocel

He publicado nuevos apuntes de 1º Biologia Cel·lular i Histologia: 1er parcial biocel

TEMA-1-LA-CELLULA.pdf
TEMA-2-ESTRUCTURA-I-FUNCIO-DE-LA-MEMBRANA.pdf
TEMA-3-TRANSPORT-A-TRAVES-DE-LA-MEMBRANA.pdf
TEMA-4-EL-CITOSOL-I-ELS-COMPARTIMENTS-CELLULARS.pdf
TEMA-5-RETICLE-ENDOPLASMATIC.pdf
TEMA-6-BASES-DEL-TRANSPORT-VESICULAR.pdf

apuntes

-

Histologia (cat)

He publicado nuevos apuntes de 1º Biologia Cel·lular i Histologia: Histologia (cat)

TEMA-1-INTRODUCCIO.pdf
TEMA-2-TEIXIT-EPITELIAL.pdf
TEMA-3-TEIXIT-CONJUNTIU.pdf
TEMA-4-TEIXIT-ADIPOS.pdf
TEMA-5-TEIXIT-CARTILAGINOS.pdf
TEMA-6-TEIXIT-OSSI.pdf

apuntes

-

HISTO CASTELLANO

He publicado nuevos apuntes de 1º Biologia Cel·lular i Histologia: HISTO CASTELLANO

HISTO-0-Introducción.pdf
HISTO-1-Tejido-epitelial.pdf
HISTO-2-Tejido-conjuntivo.pdf
HISTO-3-Tejido-adiposo.pdf
HISTO-4-Tejido-cartilaginoso.pdf
HISTO-5-Tejido-óseo.pdf

apuntes

-

BC PARCIAL 1 CASTELLANO

He publicado nuevos apuntes de 1º Biologia Cel·lular i Histologia: BC PARCIAL 1 CASTELLANO

BC-8-Rutas-endocíticas.pdf
BC-7-Complejo-de-golgi.pdf
BC-6-Bases-del-transporte-vesicular.pdf
BC-4-El-citosol-y-los-compartimentos-celulares.pdf
BC-3-Transporte-a-través-de-membranas.pdf
BC-2-Estructura-y-funciÓn-de-la-membrana-plasmática.pdf

apuntes

-

BC PARCIAL 2 CASTELLANO

He publicado nuevos apuntes de 1º Biologia Cel·lular i Histologia: BC PARCIAL 2 CASTELLANO

BC-9-Mitocondrias.pdf
BC-10-Peroxisomas.pdf
BC-11-Núcleo.pdf
BC-12-Citoesqueleto-y-microfilamentos-de-actina.pdf
BC-13-Microtúbulos.pdf
BC-14-Filamentos-intermedios.pdf

apuntes

-

histologia

He publicado nuevos apuntes de 1º Biologia Cel·lular i Histologia: histologia

1.-Introduccio-histologia.pdf
2.-Teixit-epitelial.pdf
3.-Teixit-conjuntiu.pdf
4.-Teixt-adipos.pdf
5.-Teixit-cartilaginos.pdf
6.-Teixit-ossi.pdf

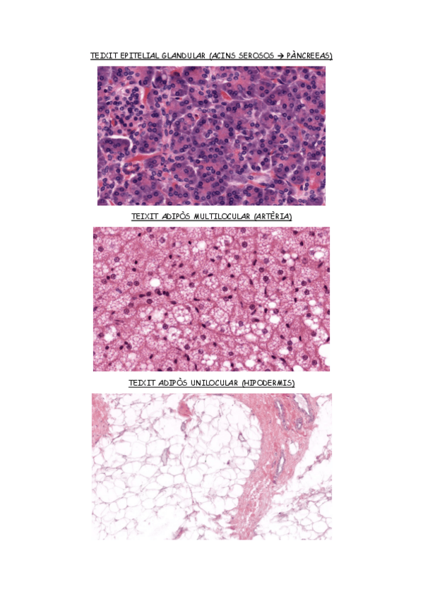
Es el documento de prácticas con fotos del microscopio.

16 páginas

apuntes

-

Apuntes BC (Castellano)

He publicado nuevos apuntes de 1º Biologia Cel·lular i Histologia: Apuntes BC (Castellano)

TEMA-1-LA-CELULA.pdf
TEMA-2-ESTRUCTURA-Y-FUNCION-DE-LA-MEMBRANA-PLASMATICA.pdf
TEMA-3-TRANSPORTE-A-TRAVES-DE-MEMBRANAS.pdf
TEMA-4-INTRODUCCION-DEL-CITOSOL-Y-LOS-COMPARTIMENTOS-CELULARES.pdf
TEMA-5-RETICULO-ENDOPLASMATICO.pdf
TEMA-6-BASES-DEL-TRANSPORTE-VESICULAR.pdf

apuntes

-

Apuntes Histología (Castellano)

He publicado nuevos apuntes de 1º Biologia Cel·lular i Histologia: Apuntes Histología (Castellano)

TEMA-1-INTRODUCCION.pdf
TEMA-2-TEJIDO-EPITELIAL.pdf
TEMA-3-TEJIDO-CONJUNTIVO.pdf
TEMA-4-TEJIDO-ADIPOSO.pdf
TEMA-5-TEJIDO-CARTILAGINOSO.pdf
TEMA-6-TEJIDO-OSEO.pdf

apuntes

-

Apunts histiologia

He publicado nuevos apuntes de 1º Biologia Cel·lular i Histologia: Apunts histiologia

Que-es-la-Histologia.pdf
T1.-Teixit-Epitelial.pdf
T2.-Teixit-Conjuntiu.pdf
T3.-Teixit-Adipos.pdf
T4.-Teixit-Cartilaginos.pdf
T5.-Teixit-Ossi.pdf

apuntes

-

Biocel apunts 2n parcial

He publicado nuevos apuntes de 1º Biologia Cel·lular i Histologia: Biocel apunts 2n parcial

T9.Mitocondri.pdf
T10.Peroxisomes.pdf
T11.Nucli.pdf
T12.Citoesquelet-i-Microfilaments-dActina.pdf
T13.Microtubuls.pdf
T14.Filaments-Intermedis.pdf

He publicado nuevos apuntes de 1º Biologia Cel·lular i Histologia: 1.-La-cellula.pdf

3 páginas

apuntes

-

Problems Biologia Cel.lular

He publicado nuevos apuntes de 1º Biologia Cel·lular i Histologia: Problems Biologia Cel.lular

problemas-castellano.pdf

apuntes

-

histologia

He publicado nuevos apuntes de 1º Biologia Cel·lular i Histologia: histologia

tema-1-Teixit-Epitelial.pdf
tema-2-Teixit-Conjuntiu.pdf
tema-3-Teixit-Adipos.pdf
tema-4-Teixit-Cartilaginos.pdf
tema-5-Teixit-Ossi.pdf
tema-6-Sang.pdf

apuntes

-

biocel

He publicado nuevos apuntes de 1º Biologia Cel·lular i Histologia: biocel

tema-1-La-Cellula.pdf
tema-2-Superficie-Cellular.pdf
tema-3-Transport-a-traves-de-la-Membrana.pdf
tema-4-Citosol-i-compartiments-cellulars.pdf
tema-5-Reticle-Endoplasmatic-i-Transport.pdf
tema-6-Transport-vesicular.pdf

apuntes

-

Histologia

He publicado nuevos apuntes de 1º Biologia Cel·lular i Histologia: Histologia

Visum-histologia-resolt.pdf
Visum-histologia.pdf
Tema-2-Teixit-Epitelial.pdf
Tema-3-Teixit-Conjuntiu.pdf
Tema-4-Teixit-Adipos.pdf
Tema-5-Teixit-Cartilaginos.pdf

apuntes

-

Apuntes Histología (cat)

He publicado nuevos apuntes de 1º Biologia Cel·lular i Histologia: Apuntes Histología (cat)

RESUM-TOTS-ELS-TEMES.pdf
VISUM-IMEGENES.pdf

He publicado nuevos apuntes de 1º Biologia Cel·lular i Histologia: 2n-SEMESTRE-Biologia-Celular-cat.pdf

77 páginas

apuntes

-

1r SEMESTRE Biología Celular (cat)

He publicado nuevos apuntes de 1º Biologia Cel·lular i Histologia: 1r SEMESTRE Biología Celular (cat)

RESUM-I.pdf
RESUM-II.pdf
RESUM-III.pdf

apuntes

-

APUNTES HISTOLOGÍA

He publicado nuevos apuntes de 1º Biologia Cel·lular i Histologia: APUNTES HISTOLOGÍA

INTRODUCCION-HISTOLOGIA.docx
TEJIDO-ADIPOSO.docx
TEJIDO-CARTILAGINOSO.docx
TEJIDO-CONJUNTIVO.docx
TEJIDO-EPITELIAL.docx
TEJIDO-NERVIOSO.docx

apuntes

-

APUNTES BIOCEL

He publicado nuevos apuntes de 1º Biologia Cel·lular i Histologia: APUNTES BIOCEL

LA-MITOSIS-Y-EL-CICLO-CELULAR.docx
MEIOSIS.docx
PEROXISOMAS.docx
TEMA-1-LA-CELULA.docx
TEMA-2-LA-MEMBRANA.docx
TEMA-3.docx
Anónimo

@Anónimo

ejercicios

-

Problemes biocel

He publicado nuevos ejercicios de 1º Biologia Cel·lular i Histologia: Problemes biocel

Problemes-0a-i-0b.pdf
Problemes-1-4.pdf
Problemes-5-8.pdf
Problemes-9-12.pdf
Problemes-13-16.pdf
Problemes-17-20.pdf

He publicado nuevos ejercicios de 1º Biologia Cel·lular i Histologia: problemas-biocel.pdf

24 páginas