Biología molecular y citogenética

chevron_left
chevron_right
Todo
Apuntes
chevron_left
chevron_right

He publicado nuevos apuntes de Biología molecular y citogenética: Equip-electrof.docx

word
Anónimo

@Anónimo

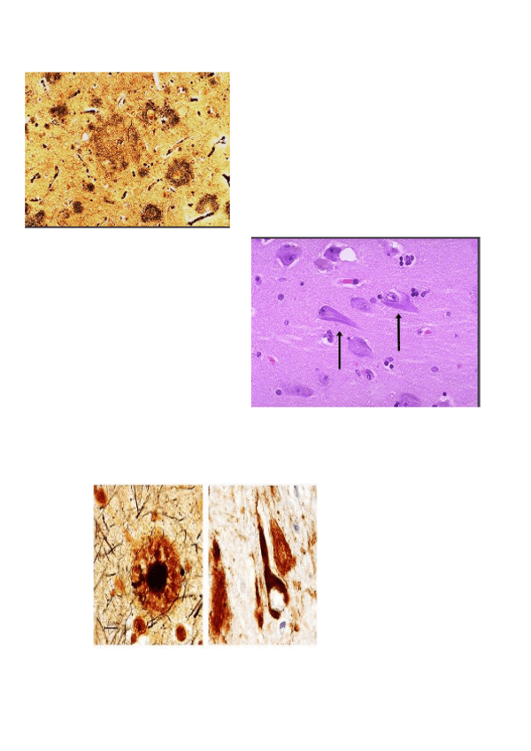
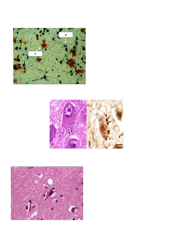
He publicado nuevos apuntes de Biología molecular y citogenética: imprimir-fotos-nervioso-.pdf

3 páginas

He publicado nuevos apuntes de Biología molecular y citogenética: bloque-2-bio-sara.pdf

21 páginas
¡Estás al día!

¡Estás al día!

Has visto todos los archivos