Todo
Apuntes
Ejercicios
Exámenes
Otros
Prácticas
publication
Test
Trabajos
chevron_left
chevron_right

He subido los apuntes completos de Citología General del segundo año del grado superior de Anatomía Patológica y Citodiagnóstico

109 páginas

Glosario del tema del sistema linfático de citología general de anatomía patológica y citodiagnóstico. Incluye un caso clínico de un corte histológico de piel.

3 páginas

Apuntes de Análisis imágenes citológicas del aparato respiratorio del módulo de citología general, para estudiantes de anatomía patológica. Son unos apuntes completos con imágenes histológicas, citológicas, definición de las patologías y tablas comparativ

21 páginas

He publicado nuevos otros de Citología General: Extracted-Cito-General.pdf

350 páginas

He publicado nuevos apuntes de Citología General: ESQUEMAS-TEMA-1-CGE.pdf

19 páginas

He publicado nuevos apuntes de Citología General: DESCRIPCION-DE-IMAGENES.pdf

13 páginas

Glosario con definiciones de citología general para comprender mejor el tema y el vocabulario que se utiliza, hay fotos también de las células sanguíneas para repasar :)

2 páginas

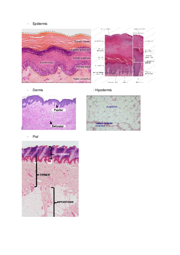
Apuntes de ganglios, timo, piel y tiroides de citología general de anatomía patológica. Vienen las histologías de los órganos normales y patológicas con la explicación de la patología, espero que os sirva :)

25 páginas

Apuntes sobre el tema del aparato digestivo de citología general

18 páginas

Tabla resumen diferencias entre apoptosis y necrosis celular

1 página

He publicado nuevos apuntes de Citología General: Papilas-gustativas.pdf

2 páginas

He publicado nuevos ejercicios de Citología General: Sentido-del-gusto.pdf

3 páginas

He publicado nuevos apuntes de Citología General: TEMA-10.pdf

2 páginas

SIMULACRO EXAMEN TEST CITOLOGÍA GENERAL TEMA 2

9 páginas

Apunts citologia referents a: - Aparell Respiratori - Aparell Digestiu - Histologia de la sang

18 páginas

He publicado nuevos apuntes de Citología General: TEMA-9.pdf

2 páginas

apuntes

-

Citología General Anatomía Patológica

Apuntes/resúmenes completos con fotos histo/citológicas de todos los temas.

Citologia-General-T1.-Respiratorio-y-2.-Urinario.pdf
Citologia-General-T3.-Aparato-Digestivo.pdf
Citologia-General-T4.-Liquidos-Organicos-y-Sistema-Nervioso-y-5.-Ganglios-linfaticos-Timo-y-Piel.pdf
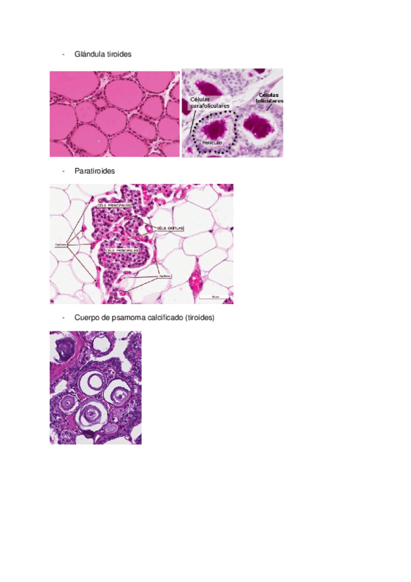
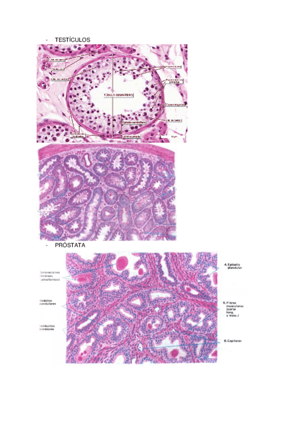
Citologia-General-T6.-Tiroides-y-Paratiroides-Prostata-y-Testiculo.pdf

He publicado nuevos apuntes de Citología General: INTESTINO.pdf

7 páginas

He publicado nuevos apuntes de Citología General: TEJIDOS-BLANDOS-Y-HUESO.pdf

6 páginas

He publicado nuevos apuntes de Citología General: LA-PIEL.pdf

9 páginas

He publicado nuevos apuntes de Citología General: GANGLIOS.pdf

10 páginas

He publicado nuevos apuntes de Citología General: BAZO-Y-TIMO.pdf

9 páginas

He publicado nuevos apuntes de Citología General: RESPIRATORIO.pdf

8 páginas

He publicado nuevos apuntes de Citología General: RESPIRATORIO.pdf

13 páginas

He publicado nuevos apuntes de Citología General: RESPIRATORIO.pdf

11 páginas

apuntes

-

Apuntes Citología General

He publicado nuevos apuntes de Citología General: Apuntes Citología General

TEMA-0.pdf
TEMA-1.pdf
TEMA-2.pdf
TEMA-3.pdf
TEMA-4.pdf
TEMA-5.pdf

He publicado nuevos apuntes de Citología General: Tema-3.pdf

4 páginas

Histologia citologia general

hola! Alguien tendría un atlas de fotos de histologia de citología general, de los temas del bazo, timo, ganglios linfáticos, piel y aparato respiratorio. Gracias!!

He publicado nuevos apuntes de Citología General: Cito-general-2.pdf

12 páginas

He publicado nuevos apuntes de Citología General: Cito-general-5.pdf

6 páginas

He publicado nuevos apuntes de Citología General: Cito-general-0.pdf

5 páginas

He publicado nuevos apuntes de Citología General: Cito-general-4.pdf

13 páginas

He publicado nuevos apuntes de Citología General: Cito-general-9.pdf

2 páginas

He publicado nuevos apuntes de Citología General: Cito-general-8.pdf

3 páginas

He publicado nuevos apuntes de Citología General: Cito-general-10.pdf

4 páginas

He publicado nuevos apuntes de Citología General: Cito-general-3.pdf

9 páginas

He publicado nuevos apuntes de Citología General: Cito-general-7.pdf

2 páginas

He publicado nuevos apuntes de Citología General: Cito-general-6.pdf

5 páginas

He publicado nuevos apuntes de Citología General: Cito-general-1.pdf

6 páginas

apuntes

-

APUNTES CITOLOGÍA GENERAL MEDAC

He publicado nuevos apuntes de Citología General: APUNTES CITOLOGÍA GENERAL MEDAC

Conceptos-basicos.pdf
Tema-1.-Conceptos-basicos.pdf
Aparato-respiratorio.pdf
Bazo-piel-y-tejidos-blandos.pdf
Citologia-aparato-respiratorio.pdf
Ganglios-linfaticos-y-timo.pdf

He publicado nuevos apuntes de Citología General: TABLAS-PARA-DIFERENCIAR-TEJIDOS.docx

word

He publicado nuevos apuntes de Citología General: TABLAS-DE-ENFERMEDADES-CGeneral.docx

word

He publicado nuevos apuntes de Citología General: IMAGENES-T.2-CG.docx

word

He publicado nuevos apuntes de Citología General: IMAGENES-T.-3-CG.docx

word

He publicado nuevos apuntes de Citología General: IMAGENES-T.5-CG.docx

word

He publicado nuevos apuntes de Citología General: IMAGENES-T.6-CG.docx

word

He publicado nuevos apuntes de Citología General: IMAGENES-T.7-CG.docx

word

He publicado nuevos apuntes de Citología General: IMAGENES-T.8-.docx

word

He publicado nuevos apuntes de Citología General: TEMA-3.-GANGLIOS-LINFATICOJ-BAZO-Y-TIMO.pdf

17 páginas

He publicado nuevos apuntes de Citología General: TEMA-2.-LA-PIEL.pdf

15 páginas

He publicado nuevos apuntes de Citología General: TEMA-1.-APARATO-RESPIRATORIO.pdf

10 páginas

apuntes

-

Citologia general

He publicado nuevos apuntes de Citología General: Citologia general

0.-Introduccion-a-la-Citologia.pdf
1.-Citopatologia-Del-Aparato-Respiratorio.pdf
1.-Citopatologia-Del-Aparato-Respiratorio-2.pdf
1.-Citopatologia-Del-Aparato-Respiratorio-3.pdf
1.-Citopatologia-Del-Aparato-Respiratorio-4.pdf
2.-Citologia-De-Ganglios-Linfaticos-Bazo-Y-Timo-Anatomia-e-histologia.pdf

apuntes

-

Oncología

Materia: Ampliación de citología general Resúmenes esenciales de temas y apuntes explicativos sobre las anomalías, estructuras y formaciones presentes en las imágenes histológicas.

Resumen-tema-2.pdf
Resumen-tema-1.pdf
Resumen-tema-4.pdf
Tema4Tumoresdelsistemanervioso.pdf
Resumen-tema-5.pdf
Tema5Cancerdepulmon.pdf

He publicado nuevos apuntes de Citología General: Tema-3-Gine.pdf

18 páginas

apuntes

-

Citología general

Temas completos, indispensables para diagnóstico citológico. Contiene estructuración celular, tipos de epitelios, tipos de tejido y patrones patológicos de los mismos. Tumores malignos/benignos tanto específicos como inespecíficos. Cada uno de ellos con s

Tema1Introduccinalacitologaehistologa.Conceptosbsicos..pdf
Tema2Tomademuestrasypatronesdenormalidadencitologa.pdf
Tema3Citopatologadelaparatorespiratorio-criterios-y-tumores-malignos-especificosinespecificos.pdf
Tema4Analisisdeimagenescitologicasdeganglioslinfaticosytimo.pdf
Tema5CitopatologiasBazoytejidoepitelial.pdf
Tema6Tejidooseonormalypatologico.pdf

He publicado nuevos apuntes de Citología General: INFORME-DE-IMAGENES-UD5-RELLENABLE.pdf

8 páginas

He publicado nuevos apuntes de Citología General: CELULAS-CITOLOGIA-NORMAL-Y-PATOLOGICA.pdf

1 página

He publicado nuevos trabajos de Citología General: Informe-de-imagenes-T5.pdf

3 páginas

He publicado nuevos apuntes de Citología General: Informe-de-imagenes-UD5.pdf

7 páginas

He publicado nuevos ejercicios de Citología General: ACTV-4-UD5.pdf

1 página