Citología general

chevron_left
chevron_right
Todo
Apuntes
Ejercicios
Prácticas
chevron_left
chevron_right

He publicado nuevos apuntes de Citología general: Unidad-5.-Glandulas-anejas.pdf

18 páginas

He publicado nuevos apuntes de Citología general: Unidad-3.-Aparato-urinario.pdf

12 páginas

He publicado nuevos apuntes de Citología general: Unidad-4.-Aparato-digestivo.pdf

14 páginas

He publicado nuevos apuntes de Citología general: Unidad-1.-Introduccion-a-la-citologia-general.pdf

20 páginas

He publicado nuevos apuntes de Citología general: UD-2.-Aparato-Respiratorio.pdf

28 páginas

He publicado nuevos apuntes de Citología general: Generalidades-en-Anatomia-Patologica-y-Citologia.pdf

25 páginas

apuntes

-

Actividades y practicas

He publicado nuevos apuntes de Citología general: Actividades y practicas

act-histologia-urinario.pdf
Act-histopatologia-URINARIO.pdf
act-higado.pdf
act-histopatologia-digestivo.pdf
Descripcion-de-frotis.pdf
act-histologia-digestivo.pdf
Anónimo

@Anónimo

apuntes

-

UD 0 - Práctica 1

He publicado nuevos apuntes de Citología general: UD 0 - Práctica 1

UD-0-Practica-1-20-21-Bohiguez-Torres-Francisco.pdf
U.pdf

He publicado nuevos apuntes de Citología general: TEMA 4 - APARATO GENITOURINARIO.pdf

10 páginas

He publicado nuevos apuntes de Citología general: TEMA 3 - TIROIDES, PARATIROIDES Y SUPRARRENALES.pdf

14 páginas

ejercicios

-

Ejercicios citología general

He publicado nuevos ejercicios de Citología general: Ejercicios citología general

Actividades-tema-1-2.pdf
Actividades-tema-1.pdf

He publicado nuevos apuntes de Citología general: TEMA 2 (2) - PIEL, TEJIDOS BLANDOS, HUESO, SISTEMA NERVIOSO CENTRAL Y GLOBO OCULAR.pdf

9 páginas

He publicado nuevos apuntes de Citología general: TEMA 2 (1) - GANGLIOS LINFÁTICOS, BAZO Y TIMO.pdf

9 páginas

He publicado nuevos apuntes de Citología general: TEMA 1 - APARATO RESPIRATORIO.pdf

15 páginas

He publicado nuevos apuntes de Citología general: TEMA 0 - CITOLOGÍA Y ALTERACIONES CELULARES.pdf

17 páginas

He publicado nuevos apuntes de Citología general: LOS TEJIDOS ANIMALES.pdf

5 páginas

apuntes

-

Citología general

He publicado nuevos apuntes de Citología general: Citología general

Tema-2-Anatomia-Jose-Ignacio-.pdf
Tema-1-anatomia-Jose-Ignacio-.pdf

apuntes

-

Citología general (PROFESORA PAQUI DÍAZ)

He publicado nuevos apuntes de Citología general: Citología general (PROFESORA PAQUI DÍAZ)

Tema-1-Citologia-del-Aparato-Digestivo.pdf
Tema-2-Citopatologia-de-las-glandulas-anejas-del-aparato-digestivo.docx
Tema-0-Generalidades-en-AP-y-C.pdf
Tema-4-Aparato-respiratorio.docx
Tema-3-Aparato-Urinario.docx
Anónimo

@Anónimo

ejercicios

-

UD 4. Actividades

He publicado nuevos ejercicios de Citología general: UD 4. Actividades

UD-4.pdf
UD-4.pdf
Anónimo

@Anónimo

ejercicios

-

UD 3. Actividades

He publicado nuevos ejercicios de Citología general: UD 3. Actividades

UD-3.pdf
UD-3.pdf
UD-3.pdf
Anónimo

@Anónimo

He publicado nuevos ejercicios de Citología general: UD-2.pdf

1 página
Anónimo

@Anónimo

ejercicios

-

UD 1. Actividades

He publicado nuevos ejercicios de Citología general: UD 1. Actividades

UD-1.pdf
UD-1.pdf
Anónimo

@Anónimo

ejercicios

-

UD 0. Actividades

He publicado nuevos ejercicios de Citología general: UD 0. Actividades

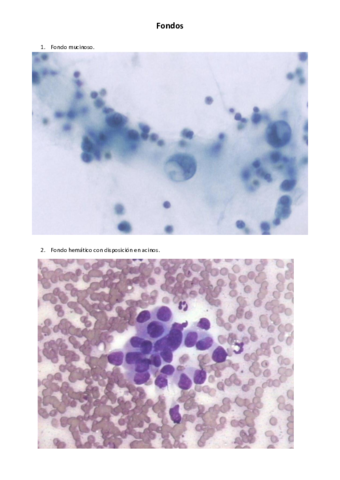
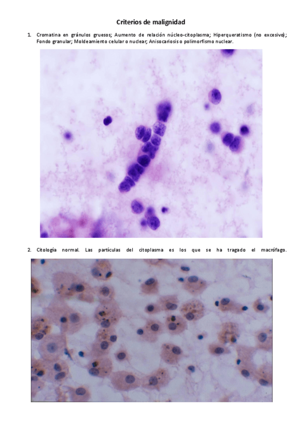
Criterios-de-malignidad.pdf
Fondos.pdf

He publicado nuevos apuntes de Citología general: CITOLOGIA-GENERAL-tema-0.docx

word

He publicado nuevos apuntes de Citología general: TEMA-4.docx

word

He publicado nuevos apuntes de Citología general: TEMA-3-urinario.docx

word

apuntes

-

tema 2 higado

He publicado nuevos apuntes de Citología general: tema 2 higado

tema-2-higado.docx

He publicado nuevos apuntes de Citología general: tema-1.pdf

12 páginas

He publicado nuevos practicas de Citología general: citologia-respirstorio.pdf

2 páginas

He publicado nuevos practicas de Citología general: histopatologia-urinario.pdf

1 página

He publicado nuevos practicas de Citología general: histologia-urinario.pdf

2 páginas

He publicado nuevos practicas de Citología general: histologia-respiratorio.pdf

1 página

He publicado nuevos practicas de Citología general: practica-higado.pdf

2 páginas

He publicado nuevos practicas de Citología general: histopatologia-digestivo.pdf

2 páginas

He publicado nuevos practicas de Citología general: generalidades-apyc.pdf

2 páginas

He publicado nuevos apuntes de Citología general: UD-2-CG.docx

word

apuntes

-

ACTIVIDADES Y PRACTICA 1

He publicado nuevos apuntes de Citología general: ACTIVIDADES Y PRACTICA 1

Practica-1.pdf
U.pdf
U.pdf
ACT.pdf
UD-3-Actividades-de-anatomia-patologica-del-aparato-urinario.pdf
U.pdf

He publicado nuevos apuntes de Citología general: Tema-1-Aparato-digestivo.pdf

23 páginas
¡Estás al día!

¡Estás al día!

Has visto todos los archivos