Todo
Apuntes
Ejercicios
Exámenes
Otros
Prácticas
publication
Test
Trabajos
chevron_left
chevron_right

He publicado nuevos otros de Citología General: Extracted-Cito-General.pdf

350 páginas

He publicado nuevos apuntes de Citología General: DESCRIPCION-DE-IMAGENES.pdf

13 páginas

He publicado nuevos apuntes de Citología General: ESQUEMAS-TEMA-1-CGE.pdf

19 páginas

Glosario con definiciones de citología general para comprender mejor el tema y el vocabulario que se utiliza, hay fotos también de las células sanguíneas para repasar :)

2 páginas

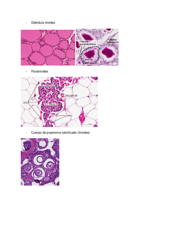
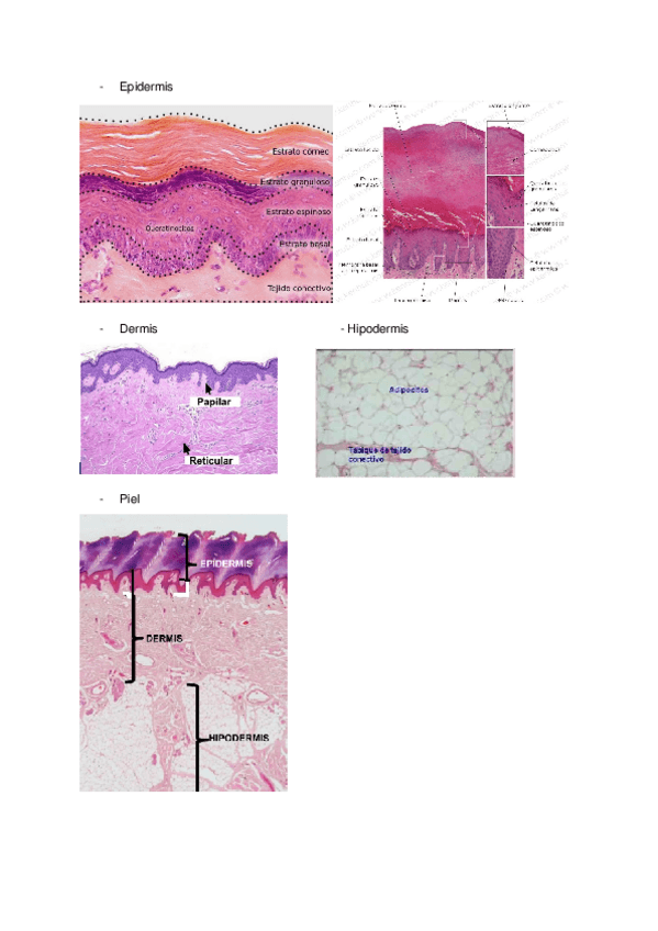
Apuntes de ganglios, timo, piel y tiroides de citología general de anatomía patológica. Vienen las histologías de los órganos normales y patológicas con la explicación de la patología, espero que os sirva :)

25 páginas

Apuntes sobre el tema del aparato digestivo de citología general

18 páginas

Tabla resumen diferencias entre apoptosis y necrosis celular

1 página

He publicado nuevos apuntes de Citología General: Papilas-gustativas.pdf

2 páginas

He publicado nuevos ejercicios de Citología General: Sentido-del-gusto.pdf

3 páginas

He publicado nuevos apuntes de Citología General: TEMA-10.pdf

2 páginas

SIMULACRO EXAMEN TEST CITOLOGÍA GENERAL TEMA 2

9 páginas

Apunts citologia referents a: - Aparell Respiratori - Aparell Digestiu - Histologia de la sang

18 páginas

He publicado nuevos apuntes de Citología General: TEMA-9.pdf

2 páginas

apuntes

-

Citología General Anatomía Patológica

Apuntes/resúmenes completos con fotos histo/citológicas de todos los temas.

Citologia-General-T1.-Respiratorio-y-2.-Urinario.pdf
Citologia-General-T3.-Aparato-Digestivo.pdf
Citologia-General-T4.-Liquidos-Organicos-y-Sistema-Nervioso-y-5.-Ganglios-linfaticos-Timo-y-Piel.pdf
Citologia-General-T6.-Tiroides-y-Paratiroides-Prostata-y-Testiculo.pdf

He publicado nuevos apuntes de Citología General: INTESTINO.pdf

7 páginas

He publicado nuevos apuntes de Citología General: TEJIDOS-BLANDOS-Y-HUESO.pdf

6 páginas

He publicado nuevos apuntes de Citología General: LA-PIEL.pdf

9 páginas

He publicado nuevos apuntes de Citología General: GANGLIOS.pdf

10 páginas

He publicado nuevos apuntes de Citología General: BAZO-Y-TIMO.pdf

9 páginas

He publicado nuevos apuntes de Citología General: RESPIRATORIO.pdf

8 páginas

He publicado nuevos apuntes de Citología General: RESPIRATORIO.pdf

13 páginas

He publicado nuevos apuntes de Citología General: RESPIRATORIO.pdf

11 páginas

apuntes

-

Apuntes Citología General

He publicado nuevos apuntes de Citología General: Apuntes Citología General

TEMA-0.pdf
TEMA-1.pdf
TEMA-2.pdf
TEMA-3.pdf
TEMA-4.pdf
TEMA-5.pdf

He publicado nuevos apuntes de Citología General: Tema-3.pdf

4 páginas

He publicado nuevos apuntes de Citología General: Cito-general-2.pdf

12 páginas

He publicado nuevos apuntes de Citología General: Cito-general-5.pdf

6 páginas

He publicado nuevos apuntes de Citología General: Cito-general-0.pdf

5 páginas

He publicado nuevos apuntes de Citología General: Cito-general-4.pdf

13 páginas

He publicado nuevos apuntes de Citología General: Cito-general-9.pdf

2 páginas

He publicado nuevos apuntes de Citología General: Cito-general-8.pdf

3 páginas

He publicado nuevos apuntes de Citología General: Cito-general-10.pdf

4 páginas

He publicado nuevos apuntes de Citología General: Cito-general-3.pdf

9 páginas

He publicado nuevos apuntes de Citología General: Cito-general-7.pdf

2 páginas

He publicado nuevos apuntes de Citología General: Cito-general-6.pdf

5 páginas

He publicado nuevos apuntes de Citología General: Cito-general-1.pdf

6 páginas

apuntes

-

APUNTES CITOLOGÍA GENERAL MEDAC

He publicado nuevos apuntes de Citología General: APUNTES CITOLOGÍA GENERAL MEDAC

Conceptos-basicos.pdf
Tema-1.-Conceptos-basicos.pdf
Aparato-respiratorio.pdf
Bazo-piel-y-tejidos-blandos.pdf
Citologia-aparato-respiratorio.pdf
Ganglios-linfaticos-y-timo.pdf

He publicado nuevos apuntes de Citología General: TABLAS-PARA-DIFERENCIAR-TEJIDOS.docx

word

He publicado nuevos apuntes de Citología General: TABLAS-DE-ENFERMEDADES-CGeneral.docx

word

He publicado nuevos apuntes de Citología General: IMAGENES-T.2-CG.docx

word

He publicado nuevos apuntes de Citología General: IMAGENES-T.-3-CG.docx

word

He publicado nuevos apuntes de Citología General: IMAGENES-T.5-CG.docx

word

He publicado nuevos apuntes de Citología General: IMAGENES-T.6-CG.docx

word

He publicado nuevos apuntes de Citología General: IMAGENES-T.7-CG.docx

word

He publicado nuevos apuntes de Citología General: IMAGENES-T.8-.docx

word

He publicado nuevos apuntes de Citología General: TEMA-3.-GANGLIOS-LINFATICOJ-BAZO-Y-TIMO.pdf

17 páginas

He publicado nuevos apuntes de Citología General: TEMA-1.-APARATO-RESPIRATORIO.pdf

10 páginas

He publicado nuevos apuntes de Citología General: TEMA-2.-LA-PIEL.pdf

15 páginas

apuntes

-

Citologia general

He publicado nuevos apuntes de Citología General: Citologia general

0.-Introduccion-a-la-Citologia.pdf
1.-Citopatologia-Del-Aparato-Respiratorio.pdf
1.-Citopatologia-Del-Aparato-Respiratorio-2.pdf
1.-Citopatologia-Del-Aparato-Respiratorio-3.pdf
1.-Citopatologia-Del-Aparato-Respiratorio-4.pdf
2.-Citologia-De-Ganglios-Linfaticos-Bazo-Y-Timo-Anatomia-e-histologia.pdf

apuntes

-

Oncología

Materia: Ampliación de citología general Resúmenes esenciales de temas y apuntes explicativos sobre las anomalías, estructuras y formaciones presentes en las imágenes histológicas.

Resumen-tema-2.pdf
Resumen-tema-1.pdf
Resumen-tema-4.pdf
Tema4Tumoresdelsistemanervioso.pdf
Resumen-tema-5.pdf
Tema5Cancerdepulmon.pdf

He publicado nuevos apuntes de Citología General: Tema-3-Gine.pdf

18 páginas

apuntes

-

Citología general

Temas completos, indispensables para diagnóstico citológico. Contiene estructuración celular, tipos de epitelios, tipos de tejido y patrones patológicos de los mismos. Tumores malignos/benignos tanto específicos como inespecíficos. Cada uno de ellos con s

Tema1Introduccinalacitologaehistologa.Conceptosbsicos..pdf
Tema2Tomademuestrasypatronesdenormalidadencitologa.pdf
Tema3Citopatologadelaparatorespiratorio-criterios-y-tumores-malignos-especificosinespecificos.pdf
Tema4Analisisdeimagenescitologicasdeganglioslinfaticosytimo.pdf
Tema5CitopatologiasBazoytejidoepitelial.pdf
Tema6Tejidooseonormalypatologico.pdf

He publicado nuevos apuntes de Citología General: INFORME-DE-IMAGENES-UD5-RELLENABLE.pdf

8 páginas

He publicado nuevos apuntes de Citología General: CELULAS-CITOLOGIA-NORMAL-Y-PATOLOGICA.pdf

1 página

He publicado nuevos trabajos de Citología General: Informe-de-imagenes-T5.pdf

3 páginas

He publicado nuevos apuntes de Citología General: Informe-de-imagenes-UD5.pdf

7 páginas

He publicado nuevos ejercicios de Citología General: ACTV-4-UD5.pdf

1 página

He publicado nuevos apuntes de Citología General: CITOLOGIA-GENERAL-RA2-ganglios-linfaticos-y-timo.pdf

18 páginas

He publicado nuevos ejercicios de Citología General: Caso-practico-UT.4.pdf

1 página

He publicado nuevos apuntes de Citología General: TEMA-8.pdf

2 páginas

He publicado nuevos apuntes de Citología General: Tema-7-ampliacion.pdf

32 páginas