Enfermería en alteraciones de la salud I

Todo
Apuntes
Ejercicios
Exámenes
Prácticas
chevron_left
chevron_right

He publicado nuevos apuntes de 2º Enfermería en alteraciones de la salud I: Apuntes-Alteraciones-Completos.pdf

367 páginas

apuntes

-

Alteraciones de la salud I

Apuntes por bloques

fluidoterapia.pdf
hematologia.pdf
heridas.pdf
perioperatorio--infeccion.pdf
endocrino.pdf
respiratorio--oxigenoterapia.pdf

apuntes

-

Apuntes

He publicado nuevos apuntes de 2º Enfermería en alteraciones de la salud I: Apuntes

Bloque-atencion-de-enfermeria-al-paciente-con-infeccion.pdf
Bloque-atencion-de-enfermeria-al-paciente-quirurgico.pdf
Bloque-cardiologia.pdf
Bloque-fluidoterapia.pdf
bloque-hematologia.pdf
bloque-oxigenoterapia.pdf

apuntes

-

Alteraciones I

He publicado nuevos apuntes de 2º Enfermería en alteraciones de la salud I: Alteraciones I

1.-FLUIDOTERAPIA.pdf
2.-PACIENTE-QUIRURGICO.pdf
3.-PACIENTE-CON-INFECCION.pdf
4.-CARDIO.pdf
5.-OXIGENOTERAPIA.pdf
6.-APNEA-DEL-SUENO.pdf

apuntes

-

Apuntes completos Alteraciones I

He publicado nuevos apuntes de 2º Enfermería en alteraciones de la salud I: Apuntes completos Alteraciones I

Fluidoterapia.pdf
Cuidados-de-Enfermeria-al-Paciente-con-Infeccion.pdf
Oxigenoterapia.pdf
Atencion-de-Enfermeria-al-Paciente-Quirurgico-y-Lavado-Quirurgico.pdf
Hematologia.pdf
Cardiovascular-y-Respiratorio.pdf

apuntes

-

Alteraciones de la salud I

Apuntes alteraciones de la salud I - Curso 2025/2026

Bloque-Fluidoterapia.pdf
Bloque-Perioperatorio-y-paciente-con-infección.pdf
Bloque-Enfermeria-Respiratoria-Incluye-todo-respiratorio-oxigenoterapia-AOS-y-enfermedades-pleurales.pdf
Bloque-Hematologia.pdf
Bloque-Curas.pdf
Bloque-Endocrino.pdf

apuntes

-

Alteraciones de la Salud I

He publicado nuevos apuntes de 2º Enfermería en alteraciones de la salud I: Alteraciones de la Salud I

TEMA-1.-HERIDAS-CONTUSIONES-UPP-Y-REALIZACION-DE-CURAS.pdf
TEMA-2.-HERIDAS-CONTUSIONES-UPP-Y-REALIZACION-DE-CURAS.pdf.pdf
TEMA.-3-HERIDAS-CONTUSIONES-UPP-Y-REALIZACION-DE-CURAS.pdf
TEMAS-4-Y-5.-HERIDAS-CONTUSIONES-UPP-Y-REALIZACION-DE-CURAS.pdf

apuntes

-

Prácticas casos clínicos

He publicado nuevos apuntes de 2º Enfermería en alteraciones de la salud I: Prácticas casos clínicos

Caso-clinico-1.-Exacerbaciones-de-EPOC.pdf
caso-clinico-2.-dolor-isquemico.pdf
teoria-casos-clinicos.pdf

apuntes

-

Alteraciones de la Salud I

He publicado nuevos apuntes de 2º Enfermería en alteraciones de la salud I: Alteraciones de la Salud I

TEMA-1.-ENFERMERIA-CARDIOLOGICA.pdf
TEMA-2.-SEPSIS.pdf
TEMA 3. ARRITMIAS CARDIACAS.pdf
TEMA 4. MARCAPASOS.pdf
TEMA 5. CARDIOPATIA-ISQUEMICA.pdf
TEMA-6.-VALVULOPATIAS.pdf

apuntes

-

Alteraciones de la Salud I

He publicado nuevos apuntes de 2º Enfermería en alteraciones de la salud I: Alteraciones de la Salud I

TEMA-1.-HEMATOLOGIA.pdf
TEMA-2.-SERIE-ROJA.pdf
TEMA-3.-SERIE-BLANCA.pdf
TEMA-4.-ALTERACIONES-DE-LA-HEMOSTASIA.pdf

Alteraciones curso 2, primer cuatri, solo la parte de apnea del sueño

13 páginas

Apuntes alteraciones curso 2 primer cuatrimestre, la parte de oxigenoterapia

14 páginas

Parte de atencion de enfermeria al paciente quirurjico, toda la parte de Amanda.

45 páginas

apuntes

-

Alteraciones de la Salud I

He publicado nuevos apuntes de 2º Enfermería en alteraciones de la salud I: Alteraciones de la Salud I

TEMA-1.-OXIGENOTERAPIA.pdf
TEMA-2.-APNEA-DEL-SUENO.pdf

He publicado nuevos ejercicios de 2º Enfermería en alteraciones de la salud I: Ejercicios-evaluacion-continua-alteraciones-trabajo-individual.pdf

1 página

ejercicios

-

Ejercicios alteraciones de la Salud I

Ejercicios fluidoterapia - Alt. de la salud I

Ejercicios Fluidoterapia I.pdf
Ejercicios-Fluidoterapia-II.pdf
Ejercicios-Fluidoterapia-III.pdf

He publicado nuevos ejercicios de 2º Enfermería en alteraciones de la salud I: Ejercicios-Fluidoterapia-resueltos.pdf

3 páginas

apuntes

-

Alteraciones de la Salud I

He publicado nuevos apuntes de 2º Enfermería en alteraciones de la salud I: Alteraciones de la Salud I

TEMA-1.-ATENCION-DE-ENFERMERIA-AL-PACIENTE-QUIRUGICO.pdf
TEMA-2.-CUIDADOS-DE-ENFERMERIA-AL-PACIENTE-CON-INFECCION.pdf

He publicado nuevos practicas de 2º Enfermería en alteraciones de la salud I: APUNTES-PRACTICAS-FLUIDOTERAPIA.pdf

9 páginas

apuntes

-

Alteraciones de la Salud I

He publicado nuevos apuntes de 2º Enfermería en alteraciones de la salud I: Alteraciones de la Salud I

FLUIDOTERAPIA.pdf

He publicado nuevos apuntes de 2º Enfermería en alteraciones de la salud I: MARCAPASOS.pdf

3 páginas

apuntes

-

Alteraciones 25/26

He publicado nuevos apuntes de 2º Enfermería en alteraciones de la salud I: Alteraciones 25/26

Enfermeria-cardiologica.pdf
ARRITMIAS-CARDIACAS.pdf

apuntes

-

Alteraciones I

He publicado nuevos apuntes de 2º Enfermería en alteraciones de la salud I: Alteraciones I

portada.pdf
1.Fluidoterapia.pdf
2.-UPAC.pdf
3.-sepsis.pdf
4.-enfermeria-cardiologica.pdf
5.-arritmias-cardiacas.pdf

apuntes

-

Apuntes completos por temas 2024-2025

He publicado nuevos apuntes de 2º Enfermería en alteraciones de la salud I: Apuntes completos por temas 2024-2025

T.1-AS1.pdf
T.2-AS1.pdf
T.3-AS1.pdf
T.4-AS1.pdf
T.5-AS1.pdf
T.7-AS1.pdf
Anónimo

@Anónimo

He publicado nuevos examenes de 2º Enfermería en alteraciones de la salud I: EXTRAORDINARIA-2025.pdf

3 páginas
Anónimo

@Anónimo

He publicado nuevos examenes de 2º Enfermería en alteraciones de la salud I: ORDINARIA-2025.pdf

4 páginas

He publicado nuevos apuntes de 2º Enfermería en alteraciones de la salud I: Alteraciones-I.-Bloque-RESP.OXIGENOTERAPIAAPNEA-SUENO.pdf

9 páginas

He publicado nuevos apuntes de 2º Enfermería en alteraciones de la salud I: Alteraciones-I.-Bloque-PERIOPERATORIOPCTE-CON-INFECCIONSEPSIS.pdf

7 páginas

He publicado nuevos apuntes de 2º Enfermería en alteraciones de la salud I: Alteraciones-I.-Bloque-FLUIDOTERAPIACHARLA.pdf

4 páginas

He publicado nuevos apuntes de 2º Enfermería en alteraciones de la salud I: Alteraciones-I.-Bloque-HEMATOLOGIA.pdf

8 páginas

He publicado nuevos apuntes de 2º Enfermería en alteraciones de la salud I: Alteraciones-I.-Bloque-ENDOCRINO.pdf

4 páginas

He publicado nuevos apuntes de 2º Enfermería en alteraciones de la salud I: Alteraciones-I.-Bloque-CURAS-Y-HERIDAS.pdf

8 páginas

He publicado nuevos apuntes de 2º Enfermería en alteraciones de la salud I: Alteraciones-I.-Bloque-CARDIOVASCULARENF.-VASC.-PERIFERICAS.pdf

8 páginas

He publicado nuevos examenes de 2º Enfermería en alteraciones de la salud I: EXAMEN-ALTERACIONES-I-2025.pdf

4 páginas

He publicado nuevos apuntes de 2º Enfermería en alteraciones de la salud I: TIMO-HIPOFISIS.pdf

11 páginas

He publicado nuevos apuntes de 2º Enfermería en alteraciones de la salud I: PARATIROIDES.pdf

4 páginas

He publicado nuevos apuntes de 2º Enfermería en alteraciones de la salud I: TIROIDES.pdf

7 páginas

He publicado nuevos apuntes de 2º Enfermería en alteraciones de la salud I: SUPRARRENALES.pdf

5 páginas

He publicado nuevos apuntes de 2º Enfermería en alteraciones de la salud I: ENDOCRINO-generalidades.pdf

4 páginas

He publicado nuevos apuntes de 2º Enfermería en alteraciones de la salud I: VALORACION-DE-HERIDAS.pdf

10 páginas

He publicado nuevos apuntes de 2º Enfermería en alteraciones de la salud I: CLASIFICACION-DE-HERIDAS.pdf

17 páginas

He publicado nuevos apuntes de 2º Enfermería en alteraciones de la salud I: HERIDAS-CURAS-Y-ULCERAS.pdf

53 páginas

He publicado nuevos apuntes de 2º Enfermería en alteraciones de la salud I: INSUFICIENCIA-RESPIRATORIA.pdf

5 páginas

He publicado nuevos apuntes de 2º Enfermería en alteraciones de la salud I: HIPERTENSION-ARTERIAL.pdf

4 páginas

He publicado nuevos apuntes de 2º Enfermería en alteraciones de la salud I: VALVULOPATIAS.pdf

8 páginas

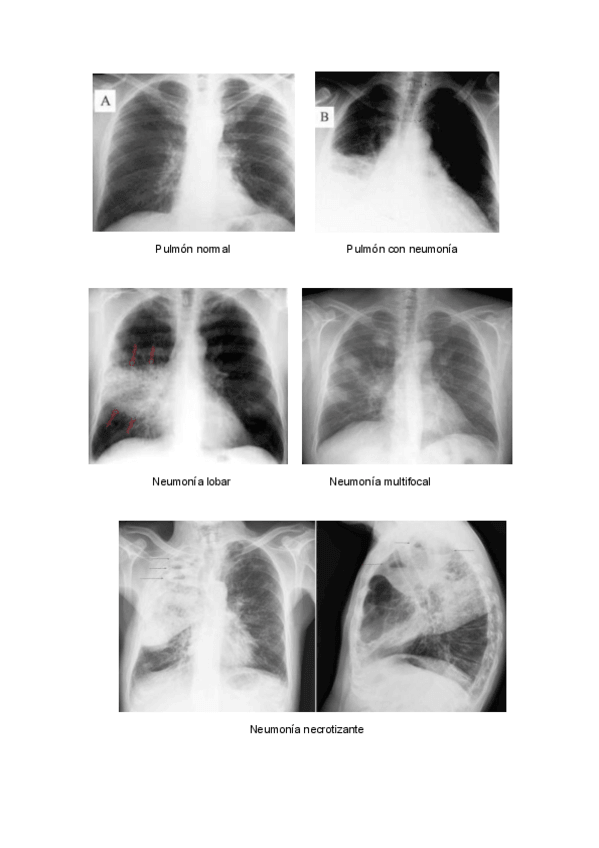
He publicado nuevos apuntes de 2º Enfermería en alteraciones de la salud I: NEUMONIA.pdf

4 páginas

He publicado nuevos apuntes de 2º Enfermería en alteraciones de la salud I: NEOPLASIAS-PULMONARES.pdf

5 páginas

He publicado nuevos apuntes de 2º Enfermería en alteraciones de la salud I: ASMA-BRONQUIAL.pdf

3 páginas

He publicado nuevos apuntes de 2º Enfermería en alteraciones de la salud I: INSUFICIENCIA-CARDIACA.pdf

4 páginas

He publicado nuevos apuntes de 2º Enfermería en alteraciones de la salud I: TRASTORNOS-VASCULARES-PERIFERICOS.pdf

9 páginas

He publicado nuevos apuntes de 2º Enfermería en alteraciones de la salud I: TROMBOEMBOLISMO-PULMONAR.pdf

4 páginas

He publicado nuevos apuntes de 2º Enfermería en alteraciones de la salud I: CUIDADOS-DE-ENFERMERIA-AL-PACIENTE-CON-INFECCION-ENCUENTRAS-casi-de-todiencuen.pdf

7 páginas

He publicado nuevos apuntes de 2º Enfermería en alteraciones de la salud I: ATENCION-DE-ENFERMERIA-AL-PACIENTE-QUIRURGICO.pdf

39 páginas

He publicado nuevos apuntes de 2º Enfermería en alteraciones de la salud I: ALTERACIONES-SERIE-BLANCA.pdf

13 páginas