Portada
Asignatura
Grado en Medicina (UVIC)
Estructura i Funció del Cos Humà I
Fecha de subida
20 nov 2025
Categoría
apuntes
Etiquetas
Exámenes - Examen-Parcial-PEM-EFCH-I-23-24.pdf
pdf
24 páginas
165
8
Apuntes - wuolah-free-AAMagistrals-de-EFCH-I.docx
docx
4
Exámenes - Examen-PEM-Final-EFCH-I-23-24.pdf
36 páginas
155
Exámenes - Final-2022-23-Estructura-1.pdf
121 páginas
159
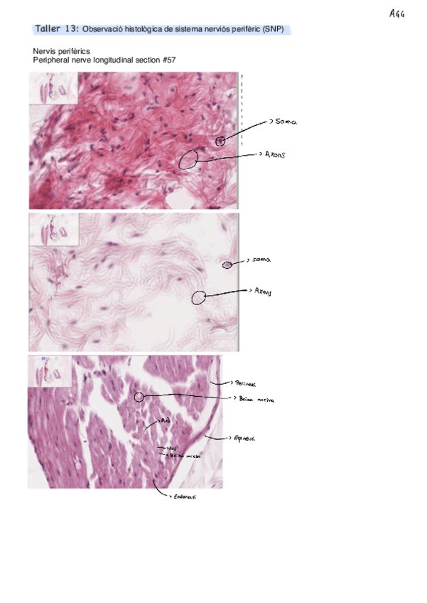
Apuntes - TALLERS-ESTRUCTURA-I-FUNCIO-DEL-COS-HUMA.docx
Exámenes - Parcial-2022-23-Estructura-1.pdf
77 páginas
166
7
Apuntes - Apuntes-EFCI.docx
3
Exámenes - Examen-Parcial-PEM-EFCH-I-24-25-Versio-A--Aules-Virtuals-UVic-UCC.pdf
20 páginas
83
1
Apuntes - Apunts-fisiologia-II-M39-M.docx
13
0
Apuntes - DOSSIER-ANATOMIA-I-2022-23.pdf
227 páginas
46
6
Exámenes - PORC-EFCH-I-2022-23-parcial.pdf
1 página
79
Apuntes - Apunts-fisiologia-I-M1-M38.docx
41
Apuntes - INDEX.docx
Apuntes - HISTO-I-FISIO-DEL-OS.pdf
22 páginas
37
Apuntes - Estructura-I.pdf
19 páginas
Apuntes - FINAL-2020-I.docx
2
Exámenes - PACC-EFCH-I-2017-2018.pdf
4 páginas
54
Apuntes - dollarller-HistologyGuide.docx
Apuntes - Apunts-anatomia-I-MMSS.pdf
34 páginas
86
Exámenes - EFCH-IProvaFormativaautoevaluacio1.pdf
12 páginas
47