chevron_left
search
Laboratorio clínico e imagenología
0
Creadores
license
Ver creadores
arrow_forward
Todo
Apuntes
chevron_left
chevron_right
@Anónimo
#Laboratorio clínico e imagenología
·
7º Médico Cirujano (UAEH)
more_vert
apuntes
-
RADIOGRAFIA-DE-TORAX.pdf
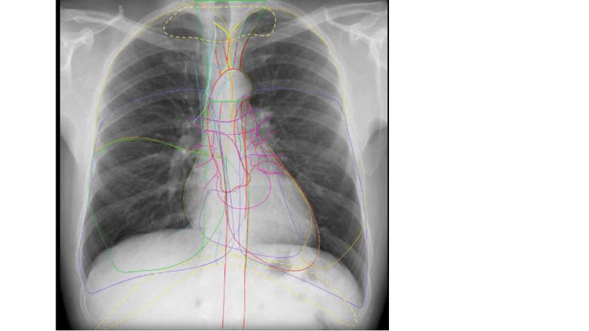
parte de la anatomía
Abrir
17 páginas
thumb_up
0
chat
0
leaderboard
1
personal_bag
0
download
Descargar
Iniciar sesión
Regístrate