Organografía animal y vegetal

chevron_left
chevron_right
Todo
Apuntes
Exámenes
Prácticas
Test
chevron_left
chevron_right

Cuadro resumen general del sistema digestivo

1 página

Imágenes de las prácticas de la segunda parte de la asignatura, incluye el sistema urinario y el sistema reproductor femenino

4 páginas

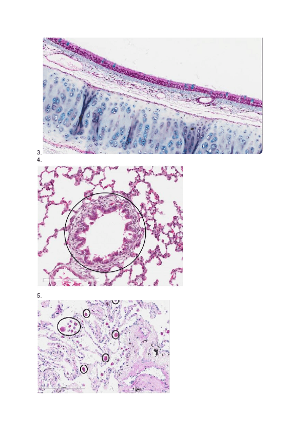
Imágenes de las prácticas de la segunda parte de la asignatura, incluye el aparato respiratorio, el endocrino, el reproductor masculino ,y el reproductor femenino

10 páginas

Woopclaps hechos durante la parte de inmunología en la primera parte de la asignatura

6 páginas

He publicado nuevos apuntes de 1º Organografía animal y vegetal: Sistema-reproductor-masculino.pdf

8 páginas

He publicado nuevos apuntes de 1º Organografía animal y vegetal: UNIT-12.-skin.pdf

12 páginas

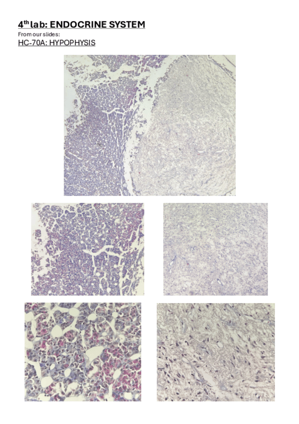
He publicado nuevos apuntes de 1º Organografía animal y vegetal: 4.-LAB-endocrine-system.pdf

12 páginas

He publicado nuevos apuntes de 1º Organografía animal y vegetal: 3.-LAB-digestive-system-II.pdf

18 páginas

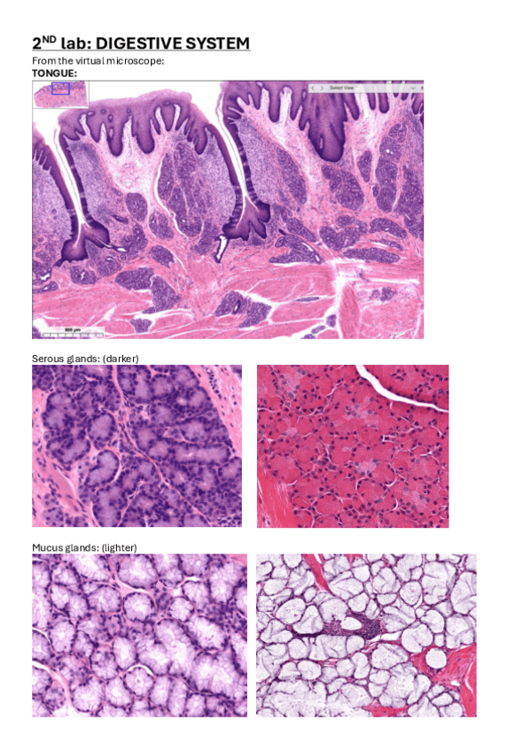
He publicado nuevos apuntes de 1º Organografía animal y vegetal: 2.-LAB-digestive-system-I.pdf

26 páginas

He publicado nuevos apuntes de 1º Organografía animal y vegetal: 1.-LAB-immune-system.pdf

8 páginas

He publicado nuevos examenes de 1º Organografía animal y vegetal: Parcial-Practico.pdf

5 páginas

He publicado nuevos examenes de 1º Organografía animal y vegetal: Rubrica-Examen-Parcial-Practico-1.pdf

16 páginas

He publicado nuevos examenes de 1º Organografía animal y vegetal: Examen-Parcial-Teorico.pdf

6 páginas

He publicado nuevos apuntes de 1º Organografía animal y vegetal: Aparato-reproductor-masculinp..pdf

4 páginas

He publicado nuevos apuntes de 1º Organografía animal y vegetal: Celula-vegetal..pdf

3 páginas

He publicado nuevos apuntes de 1º Organografía animal y vegetal: Histologia-vegetal.pdf

6 páginas

He publicado nuevos apuntes de 1º Organografía animal y vegetal: TEGUMENTO.pdf

3 páginas

He publicado nuevos examenes de 1º Organografía animal y vegetal: electronografia-pregunta-examen-organografia.pdf

20 páginas

He publicado nuevos examenes de 1º Organografía animal y vegetal: Preguntas-desarrollo-examen-organografia.pdf

2 páginas

He publicado nuevos examenes de 1º Organografía animal y vegetal: Examen-parcial-organografia-2020.pdf

3 páginas

He publicado nuevos examenes de 1º Organografía animal y vegetal: Examen-identificacion-fotos.pdf

16 páginas

He publicado nuevos examenes de 1º Organografía animal y vegetal: Examen-test-organografia.pdf

10 páginas

He publicado nuevos examenes de 1º Organografía animal y vegetal: Examen-organografia-2014.pdf

4 páginas

He publicado nuevos examenes de 1º Organografía animal y vegetal: Examen-online-organografia-2020.pdf

9 páginas

He publicado nuevos apuntes de 1º Organografía animal y vegetal: Examen-practico-organografia.pdf

6 páginas

He publicado nuevos examenes de 1º Organografía animal y vegetal: Preguntas-desarrollo-final-organografia.pdf

2 páginas

He publicado nuevos examenes de 1º Organografía animal y vegetal: Examen-final-test-organografia.pdf

8 páginas

He publicado nuevos apuntes de 1º Organografía animal y vegetal: APARATO-URINARIO.pdf

7 páginas

He publicado nuevos apuntes de 1º Organografía animal y vegetal: APARATO-DIGESTIVO.pdf

20 páginas

He publicado nuevos apuntes de 1º Organografía animal y vegetal: SISTEMA-ENDOCRINO..pdf

10 páginas

He publicado nuevos apuntes de 1º Organografía animal y vegetal: APARATO-REPRODUCTOR-MASCULINO.pdf

7 páginas

He publicado nuevos apuntes de 1º Organografía animal y vegetal: APARATO-REPRODUCTOR-FEMENINO.pdf

17 páginas

He publicado nuevos apuntes de 1º Organografía animal y vegetal: VEGETAL.pdf

25 páginas

He publicado nuevos apuntes de 1º Organografía animal y vegetal: EL-CORAZON.pdf

4 páginas

He publicado nuevos apuntes de 1º Organografía animal y vegetal: EL-OJO.pdf

9 páginas

He publicado nuevos apuntes de 1º Organografía animal y vegetal: SISTEMA-CARDIOVASCULAR.pdf

14 páginas

He publicado nuevos apuntes de 1º Organografía animal y vegetal: SISTEMA-LINFOIDE..pdf

26 páginas

He publicado nuevos apuntes de 1º Organografía animal y vegetal: SISTEMA-RESPIRATORIO.pdf

8 páginas

He publicado nuevos apuntes de 1º Organografía animal y vegetal: TEGUMENTO.pdf

7 páginas

He publicado nuevos apuntes de 1º Organografía animal y vegetal: Histologia-y-ultraestructuras-PARTE-2.pdf

24 páginas

He publicado nuevos apuntes de 1º Organografía animal y vegetal: Histologia-y-ultraestructuras-PARTE-1.pdf

25 páginas

practicas

-

Apuntes organografía 1º biología

He publicado nuevos practicas de 1º Organografía animal y vegetal: Apuntes organografía 1º biología

Venas-y-arterias-diferencias.pdf
PRACTICA-3-organografia.pdf

He publicado nuevos apuntes de 1º Organografía animal y vegetal: 2.pdf

5 páginas

He publicado nuevos apuntes de 1º Organografía animal y vegetal: 1.pdf

5 páginas
¡Estás al día!

¡Estás al día!

Has visto todos los archivos