Organografía Microscópica

chevron_left
chevron_right
Todo
Apuntes
Ejercicios
Exámenes
Prácticas
publication
Trabajos
chevron_left
chevron_right

apuntes

-

Esquemas 2parcial

He publicado nuevos apuntes de 2º Organografía Microscópica: Esquemas 2parcial

Tema-10-Mecanorreceptores-Esquema.pdf
Tema-12-Sistema-Cardiovascular.pdf
Tema-13.-Organos-Hematopoyeticos-Esquema.pdf
Tema-15-Aparato-digestivo-Esquema.pdf
Tema-16-Glandulas-asociadas-Esquema.pdf
Examen-preguntas-y-respuestas-2024-2025.pdf

Holaa !! Tengo apuntes completos y a ordenador en mi perfil. Con fotos. :)

Todos los dibujos/imágenes importantes que podrían entrar en el examen según YO. Luego que cada uno complete o retire lo que quiera, adelante.

9 páginas

Son todas las fotos/dibujos que a mi parecer podrían caer en el examen (de hecho en el parcial acerté) Incluye: mecanorreceptores, cardiovascular, hematopoyetico, digestivo, respìratorio y excretor (FALTA EL REPRODUCTOR!!!) Recomiendo completar con apun

7 páginas

apuntes organo

ya están subidos todos los temas completos en mi perfil!! :)

apuntes

-

2 PARCIAL ORGANOGRAFÍA

He publicado nuevos apuntes de 2º Organografía Microscópica: 2 PARCIAL ORGANOGRAFÍA

TEMAS-11-Y-12-ORGANO.pdf
TEMA-13-Y-14-ORGANO.pdf
TEMA-15-ORGANO.pdf
TEMA-16-ORGANO.pdf
TEMA-17-ORGANO.pdf
TEMA-18-ORGANO.pdf

apuntes

-

Apuntes segundo parcial organo

Aquí están todos los temas del segundo parcial de organografía microscópica. Del 10-18 incluidos.

TEMA-10-ORGANO.pdf
TEMA-11-ORGANO.pdf
TEMA-12-ORGANO.pdf
TEMA-13-Y-14-ORGANO.pdf
TEMA-15-ORGANO.pdf
TEMA-16-ORGANO.pdf

He publicado nuevos apuntes de 2º Organografía Microscópica: Resumen-Tema-14.-Organos-hematopoyeticos.pdf

2 páginas

He publicado nuevos apuntes de 2º Organografía Microscópica: Resumen-Tema-13.-Organos-hematopoyeticos-en-invertebrados.pdf

1 página

apuntes

-

Temas completos organografía

apuntes completos a ordenador. siempre es recomendable contrastar información :)

tema-1-tegumento-de-invertebrados.pdf
tema-2-tegumento-de-vertebrados.pdf
tema3-sistema-nervioso-de-invertebrados.pdf
tema-4-sistema-nervioso-de-vertebrados.pdf
tema-5-organizacion-general-del-encefalo.pdf
tema-6-sistema-endocrino-de-invertebrados.pdf

apuntes

-

Apuntes 2do Parcial

He publicado nuevos apuntes de 2º Organografía Microscópica: Apuntes 2do Parcial

TEMA-9-ORGANOS-DE-LOS-SENTIDOS-FOTORRECEPTORES--ORGANOGRAFIA-MICROSCOPICA.pdf
TEMA-10-ORGANOS-DE-LOS-SENTIDOS-MECANORRECEPTORES--ORGANOGRAFIA-MICROSCOPICA.pdf
TEMA-12-SISTEMA-LINFATICO--ORGANOGRAFIA-MICROSCOPICA.pdf
TEMA-11-SISTEMA-CIRCULATORIO--ORGANOGRAFIA-MICROSCOPICA.pdf
TEMA-15-APARATO-DIGESTIVO--ORGANOGRAFIA-MICROSCOPICA.pdf
TEMA-16-GLANDULAS-ASOCIADAS-AL-APARATO-DIGESTIVO--ORGANOGRAFIA-MICROSCOPICA.pdf

Desde el tema 1 hasta el 19, ambos incluidos.

141 páginas

He publicado nuevos apuntes de 2º Organografía Microscópica: Resumen-Tema-12.-Sistema-linfatico.pdf

1 página

He publicado nuevos apuntes de 2º Organografía Microscópica: Resumen-Tema-11.-Sistema-circulatorio.pdf

2 páginas

He publicado nuevos apuntes de 2º Organografía Microscópica: Resumen-Tema-9.-Fotorreceptores-de-vertebrados.pdf

2 páginas

apuntes

-

apuntes primer parcial organo

He publicado nuevos apuntes de 2º Organografía Microscópica: apuntes primer parcial organo

TEMA-1-ORGANO.pdf
TEMA-2-ORGANO.pdf
TEMA-3-ORGANO.pdf
TEMA-4-ORGANO.pdf
TEMA-5-ORGANO.pdf
TEMA-6-ORGANO.pdf

imagenes prácticas organo

63 páginas

diferentes órganos organo

11 páginas

apuntes

-

Apuntes Organografía microscópica

He publicado nuevos apuntes de 2º Organografía Microscópica: Apuntes Organografía microscópica

TEMA-10.-MECANORRECEPTORES.pdf
TEMA-9.-FOTORRECEPTORES.pdf
TEMA-8.-QUIMIORRECEPTORES.pdf
TEMA-7.-SISTEMA-ENDOCRINO-EN-VERTEBRADOS.pdf
TEMA-6.-SISTEMA-ENDOCRINO-EN-INVERTEBRADOS.pdf
TEMA-5.-ORGANIZACION-GENERAL-DEL-ENCEFALO.pdf

Apuntes de Organografía microscópica completos

9 páginas

He publicado nuevos apuntes de 2º Organografía Microscópica: Resumen-Tema-4.a.-Sistema-nervioso-vertebrados.pdf

3 páginas

He publicado nuevos apuntes de 2º Organografía Microscópica: TEMAS-6-7.-SISTEMA-ENDOCRINO.pdf

11 páginas

He publicado nuevos apuntes de 2º Organografía Microscópica: Resumen-Tema-3.-Sistema-nervioso-invertebrados.pdf

1 página

He publicado nuevos apuntes de 2º Organografía Microscópica: Resumen-Tema-2.-Tegumento-de-vertebrados-sin-faneras.pdf

3 páginas

apuntes

-

Apuntes 1er parcial

He publicado nuevos apuntes de 2º Organografía Microscópica: Apuntes 1er parcial

TEMA-2-TEGUMENTOS-DE-VERTEBRADOS--ORGANOGRAFIA-MICROSCOPICA.pdf
TEMA-1-TEGUMENTOS-DE-INVERTEBRADOS--ORGANOGRAFIA-MICROSCOPICA.pdf
TEMA-3-TIPOS-DE-SISTEMAS-NERVIOSOS-EN-INVERTEBRADOS--ORGANOGRAFIA-MICROSCOPICA.pdf
TEMA-4-SISTEMA-NERVIOSO-DE-VERTEBRADOS--ORGANOGRAFIA-MICROSCOPICA.pdf
TEMA-5-ORGANIZACION-GENERAL-DEL-ENCEFALO--ORGANOGRAFIA-MICROSCOPICA.pdf
TEMA-6-SISTEMA-ENDOCRINO--ORGANOGRAFIA-MICROSCOPICA.pdf

Resumen con dibujos y con estrellas de lo que es importante.

4 páginas

He publicado nuevos apuntes de 2º Organografía Microscópica: TEMA-4.-SISTEMA-NERVIOSO-VERTEBRADOS.pdf

9 páginas

He publicado nuevos apuntes de 2º Organografía Microscópica: TEMA-3.-SISTEMA-NERVIOSO-INVERTEBRADOS.pdf

7 páginas

apuntes

-

PRÁCTICAS

He publicado nuevos apuntes de 2º Organografía Microscópica: PRÁCTICAS

PRACTICA-7-SISTEMA-EXCRETOR-Y-REPRODUCTOR.pdf
PRACTICA-6-SISTEMA-RESPIRATORIO.pdf
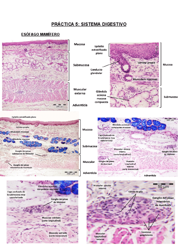
PRACTICA-5-SISTEMA-DIGESTIVO.pdf
PRACTICA-3-ORGANOS-DE-LOS-SENTIDOS.pdf
PRACTICA-1-TEGUMENTO.pdf
PRACTICA-4-SISTEMA-HEMATOPOYETICO-Y-LINFOIDE.pdf

Tegumento invertebrados y vertebrados.

20 páginas

apuntes

-

APUNTES TODOS TEMAS ORGANOGRAFÍA

He publicado nuevos apuntes de 2º Organografía Microscópica: APUNTES TODOS TEMAS ORGANOGRAFÍA

BLOQUE-I-TEGUMENTO-Y-ANEJOS-TEMA-1-Y-2.pdf
BLOQUE-II-EL-SISTEMA-NERVIOSO-tema-3-4-y-5.pdf
BLOQUE-III-SISTEMA-ENDOCRINO-tema-6-y-7.pdf
BLOQUE-IV-II-PARTE-I-tema-9-y-10.pdf
BLOQUE-IV-ORGANOS-DE-LOS-SENTIDOS-tema-8.pdf
BLOQUE-V-SISTEMA-CARDIOVASCULAR-tema-11-y-12.pdf

apuntes

-

Segundo parcial Ruth

He publicado nuevos apuntes de 2º Organografía Microscópica: Segundo parcial Ruth

TEMA-8-QUIMIORRECEPTORES.pdf
TEMA-9-FOTORRECEPTORES.pdf
TEMA-10-MECANORRECEPTORES.pdf
TEMA-11-12-SISTEMA-CARDIOVASCULAR.pdf
TEMA-13-14-ORGANOS-HEMATOPOYETICOS-Y-LINFOIDES.pdf
TEMA-15-APARATO-DIGESTIVO.pdf

apuntes

-

Primer parcial Ruth

He publicado nuevos apuntes de 2º Organografía Microscópica: Primer parcial Ruth

TEMA-1-TEGUMENTO-Y-ANEJOS.pdf
TEMA-2-TEGUMENTO-DE-VERTEBRADOS.pdf
TEMA-3-EL-SISTEMA-NERVIOSO.pdf
TEMA-4-SISTEMA-NERVIOSO-DE-VERTEBRADOS.pdf
TEMA-5-ORGANIZACION-GENERAL-DEL-ENCEFALO.pdf
TEMA-6-SISTEMA-ENDOCRINO.pdf

apuntes

-

Apuntes Organografía Microscópica

He publicado nuevos apuntes de 2º Organografía Microscópica: Apuntes Organografía Microscópica

Tema-1-Estructura-general-del-Tegumento-de-Invertebrados.pdf
Tema-2-Organizacion-del-tegumento-de-los-Vertebrados.pdf
Tema-3-El-Sistema-Nervioso-en-Invertebrados.pdf
Tema-4-El-Sistema-Nervioso-de-Vertebrados.pdf
Tema-5-Organizacion-General-del-Encefalo.pdf
Tema-6-Comunicacion-intercelular-a-distancia.pdf

He publicado nuevos apuntes de 2º Organografía Microscópica: Sistema-reproductor.pdf

12 páginas

He publicado nuevos apuntes de 2º Organografía Microscópica: tejido-linfoide.pdf

5 páginas

He publicado nuevos apuntes de 2º Organografía Microscópica: sistema-excretor.pdf

9 páginas

He publicado nuevos apuntes de 2º Organografía Microscópica: sistema-digestivo.pdf

10 páginas

He publicado nuevos apuntes de 2º Organografía Microscópica: sistema-respiratorio.pdf

7 páginas

He publicado nuevos apuntes de 2º Organografía Microscópica: fotorreceptores.pdf

7 páginas

He publicado nuevos apuntes de 2º Organografía Microscópica: MECANORRECEPTORES-listo-1.pdf

6 páginas

He publicado nuevos apuntes de 2º Organografía Microscópica: SISTEMA-CIRCULATORIO.pdf

6 páginas

He publicado nuevos apuntes de 2º Organografía Microscópica: organos-de-los-sentidos.pdf

4 páginas

He publicado nuevos apuntes de 2º Organografía Microscópica: conceptos-sistema-nervioso.pdf

3 páginas

He publicado nuevos apuntes de 2º Organografía Microscópica: tegumento-y-SN.pdf

8 páginas

apuntes

-

Apuntes organografía

He publicado nuevos apuntes de 2º Organografía Microscópica: Apuntes organografía

Tema-9-Organografia.pdf

He publicado nuevos apuntes de 2º Organografía Microscópica: Tema-1-hasta-aves.pdf

7 páginas

apuntes

-

1er parcial

He publicado nuevos apuntes de 2º Organografía Microscópica: 1er parcial

Tegumento.pdf
Sistema-nervioso.pdf

He publicado nuevos apuntes de 2º Organografía Microscópica: Apuntes-Organografia-Animal-1o-Parcial.pdf

65 páginas

Son los dibujitos de las prácticas con los mismos colores que en las diapositivas de la profe :)

37 páginas

con espacios para realizar los dibujos y esquemas

36 páginas

apuntes

-

Tablas y esquemas comparativos (Organo)

He publicado nuevos apuntes de 2º Organografía Microscópica: Tablas y esquemas comparativos (Organo)

Niveles-de-Organizacion-Evolutivos.pdf
Comparacion-del-Sistema-Nervioso-Central-y-sus-componentes.pdf

apuntes

-

ORGANOGRAFÍA

He publicado nuevos apuntes de 2º Organografía Microscópica: ORGANOGRAFÍA

ORGANOGRAFIA.pdf

He publicado nuevos apuntes de 2º Organografía Microscópica: TEMAS-1-y-2-TEGUMENTO.pdf

10 páginas

He publicado nuevos apuntes de 2º Organografía Microscópica: CamScanner-13-11-2023-11.47.pdf

10 páginas

He publicado nuevos apuntes de 2º Organografía Microscópica: CamScanner-13-11-2023-11.54.pdf

13 páginas

He publicado nuevos apuntes de 2º Organografía Microscópica: TODO-ORGANOGRAFIA.pdf

231 páginas

apuntes

-

APUNTES - TODO

He publicado nuevos apuntes de 2º Organografía Microscópica: APUNTES - TODO

TEMA-1-tegumentos.pdf
TEMA-2-tegumento-de-vertebrados.pdf
TEMA-3-sistema-nervioso.pdf
TEMA-4-sistema-nervioso-de-vertebrados.pdf
TEMA-5-organizacion-general-del-encefalo.pdf
TEMA-6-sistema-endocrino.pdf