PATOLOGÍA MEDICA BUCAL II

Todo
Apuntes
Ejercicios
Exámenes
Trabajos
chevron_left
chevron_right
Anónimo

@Anónimo

apuntes

-

seminarios - fotos

curso 2024-35

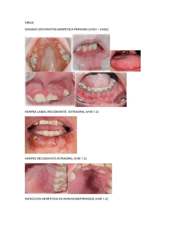
VIRUS-fotos.pdf
SEMINARIO-1-ulceras.pdf
SEMINARIO-3-4.pdf
Anónimo

@Anónimo

fotos buenas de examen micosis

2 páginas
Anónimo

@Anónimo

trabajo de fin de cuarto.

14 páginas

examenes

-

Médicas II EXÁMENES

He publicado nuevos examenes de 4º PATOLOGÍA MEDICA BUCAL II: Médicas II EXÁMENES

EXAMEN-MEDICAS-2.pdf
Examen-2020.pdf
Examen-P.M.B-II.pdf
PMB-II-2023.pdf

ejercicios

-

Fotos Libro Bagan- Patologías Orales

Para Prácticas y Examen Final

1. Lengua.pdf
2.-Paladar.pdf
3.-Reborde-Alveolar.pdf
4.-Mucosa-Bucal.pdf

He publicado nuevos apuntes de 4º PATOLOGÍA MEDICA BUCAL II: Glandulas-Salivares-TODO.pdf

3 páginas

apuntes

-

TODO Médicas II

Vademécum y resúmenes por temas

Yeili-Penin-Vademecum.pdf
Micosis-Profundas.pdf
Micosis.pdf
Tumores-PMB-II.pdf
Tumores.-Glandulares.pdf
Sialoadenitis-y-Otras-patologias.pdf

apuntes

-

PATOLOGÍA MÉDICA BUCAL II

He publicado nuevos apuntes de 4º PATOLOGÍA MEDICA BUCAL II: PATOLOGÍA MÉDICA BUCAL II

Tema-3-Medica-Parte-II.pdf
Tema-5-Medicas-II.pdf
Tema-7-Medicas-II.pdf
Tema-10-Medicas-II.pdf
Tema-8-Medicas-II.pdf
Tema-2-Medicas-.pdf
¡Estás al día!

¡Estás al día!

Has visto todos los archivos