chevron_left
chevron_right
Todo
Apuntes
Exámenes
chevron_left
chevron_right

Segundo cuatrimestre Patología quirúrgica

66 páginas

Primer cuatrimestre de Patología quirúrgica

107 páginas

89 preguntas examen segundo cuatri. respuestas al final del documento.

17 páginas

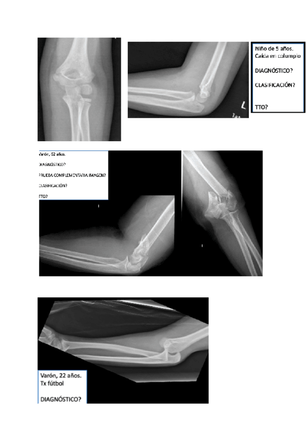
Repaso con radiografías del segundo cuatrimestre

23 páginas

apuntes

-

Apuntes Q2

Apuntes completos del 2º cuatri

Teoria-Patologia-Quirurgica-Q2.pdf

apuntes

-

Patología Quirúrgica

He publicado nuevos apuntes de 2º Patología Quirúrgica: Patología Quirúrgica

Pat.-Quirurgica-2o-Cuatri.pdf
Patologia-Quirurgica-1er-cuatri.pdf

He publicado nuevos apuntes de 2º Patología Quirúrgica: Teoria-Patologia-Quirurgica-Q1.pdf

86 páginas

He publicado nuevos apuntes de 2º Patología Quirúrgica: Seminarios-Patologia-Quirurgica-Q1.pdf

8 páginas

preguntas de otros años para repasar

7 páginas

preguntas de otros años para repasar

12 páginas

apuntes

-

Todo quirúrgica

He publicado nuevos apuntes de 2º Patología Quirúrgica: Todo quirúrgica

QUIRURGICA-cuatri-1.pdf
QUIRURGICA-cuatri-2.pdf

He publicado nuevos apuntes de 2º Patología Quirúrgica: APUNTES-COMPLETOS--SEMINARIO.pdf

162 páginas

apuntes

-

QUIRURGICA 2º CUATRI COMPLETO

He publicado nuevos apuntes de 2º Patología Quirúrgica: QUIRURGICA 2º CUATRI COMPLETO

T1-T13-QUIRURGICA-2o.pdf

apuntes

-

2Q

He publicado nuevos apuntes de 2º Patología Quirúrgica: 2Q

T3-FISIOPATOLOGIA-ARTICULAR.pdf
T5-AFECCIONES-DE-CINTURA-ESCAPULAR.pdf
T4-FISIOPATOLOGIA-MUSCULAR.pdf

apuntes

-

Temario Bloque I PQ General

Apuntes completos del primer parcial de patología quirúrgica.

Temario-primer-parcial.pdf

He publicado nuevos apuntes de 2º Patología Quirúrgica: Patologia-Quirurgica-1er-cuatri-faltan-temas.pdf

124 páginas

apuntes

-

RADIOGRAFIAS PAT.QUIRURGICA

He publicado nuevos apuntes de 2º Patología Quirúrgica: RADIOGRAFIAS PAT.QUIRURGICA

rx-2.pdf
rx-1.pdf

apuntes

-

QUIRURGICA COMPLETO 1º cuatri

He publicado nuevos apuntes de 2º Patología Quirúrgica: QUIRURGICA COMPLETO 1º cuatri

T26.pdf
T25.pdf
T24.-SNC.pdf
T23.pdf
T21.pdf
T20-1.pdf

He publicado nuevos apuntes de 2º Patología Quirúrgica: Patologia-Quirurgica-2o-cuatri-hasta-tema-36.pdf

89 páginas

He publicado nuevos apuntes de 2º Patología Quirúrgica: Fotos-fracturas-parte-trauma.pdf

20 páginas

apuntes

-

2º cuatri

He publicado nuevos apuntes de 2º Patología Quirúrgica: 2º cuatri

tema-1.-fisiopatologia-ap-locomotor.pdf
tema-2.-fracturas.pdf
tema-3.-fisiopatologia-articular.pdf
tema-4.-fisiopatologia-musculos-y-tendones.pdf
tema-5.-afecciones-cintura-escapular-y-hombro.pdf
tema-6.-patologia-trauma-brazo-codo-y-antebrazo.pdf

He publicado nuevos apuntes de 2º Patología Quirúrgica: IMPORTANTE-QUIRUGICA-2-CUATRIMESTRE.pdf

8 páginas

apuntes

-

Resúmenes parte trauma (nota: 8)

He publicado nuevos apuntes de 2º Patología Quirúrgica: Resúmenes parte trauma (nota: 8)

Tema-12.-Pie-infantil-y-de-adulto.pdf
Tema-11.-Patologia-PPBB-degenerativa-cadera-y-rodilla.pdf
Tema-10.-Fracturas-diafisarias-tibia-fracturas-tobillo-y-de-pie.pdf
Tema-9.-Fracturas-diafisarias-femur-femur-distal-y-tibia-proximal.pdf
Tema-8.-Fracturas-de-la-extremidad-superior-de-femur.pdf
Tema-7.-Traumatismos-pelvicos-y-acetabulo.pdf

apuntes

-

2C

He publicado nuevos apuntes de 2º Patología Quirúrgica: 2C

tema-1.pdf
tema-2.pdf
tema-3.pdf
tema-4.pdf
tema-5.pdf
tema-7.pdf

apuntes

-

RADIOGRAFIAS

He publicado nuevos apuntes de 2º Patología Quirúrgica: RADIOGRAFIAS

SEMINARIO-RADIOGRAFIAS.pdf
RADIOGRAFIAS.pdf

examenes

-

Exámenes parte trauma

He publicado nuevos examenes de 2º Patología Quirúrgica: Exámenes parte trauma

EXAMEN-TRAUMA-1.pdf
EXAMEN-TRAUMA-2.pdf
EXAMEN-TRAUMA-3.pdf
EXAMEN-TRAUMA-4.pdf
EXAMEN-TRAUMA-5.pdf

apuntes

-

1 C

He publicado nuevos apuntes de 2º Patología Quirúrgica: 1 C

tema-4.pdf
tema-5.pdf
tema-3.pdf
tema-7.pdf
tema-8.pdf
tema-1.pdf

apuntes

-

apuntes completos quirúrgica segundo cuatri

He publicado nuevos apuntes de 2º Patología Quirúrgica: apuntes completos quirúrgica segundo cuatri

TEMA-13.pdf
TEMA-12.pdf
TEMA-11.pdf
TEMA-10.pdf
TEMA-9.pdf
TEMA-8.pdf

apuntes

-

Patología qx 2º parcial

He publicado nuevos apuntes de 2º Patología Quirúrgica: Patología qx 2º parcial

Tema-26-Fisiologia-cartilago-hueso-y-musculo.pdf
Tema-27-Fracturas-diagnostico.pdf
Tema-28-Fisiopatologia-articular.pdf
Tema-29-Fisiopatologia-de-musculos-y-tendones.pdf
Tema-30-Patologia-qx-de-la-cintura-escapular-y-hombro.pdf
Tema-31-Trauma-brazo-codo-y-antebrazo.pdf

examenes

-

Exámenes 1º parcial

He publicado nuevos examenes de 2º Patología Quirúrgica: Exámenes 1º parcial

EXAMEN-1.pdf
EXAMEN-2.pdf
EXAMEN-3.pdf
EXAMEN-4.pdf
EXAMEN-5.pdf

apuntes

-

1º cuatri

He publicado nuevos apuntes de 2º Patología Quirúrgica: 1º cuatri

tema-9.pdf
tema-8.pdf
tema-2.pdf
tema-4.pdf
tema-1.pdf
tema-7.pdf

apuntes

-

apuntes quirúrgica primer cuatri

He publicado nuevos apuntes de 2º Patología Quirúrgica: apuntes quirúrgica primer cuatri

TEMA-4.pdf
TEMA-7-Y-8.pdf
PATOLOGIA-ARTERIAL.pdf
TEMA-6.pdf
TEMA-10.pdf
TEMA-9.pdf