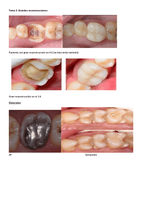
Patología y Terapéutica Dental III

Todo
Apuntes
Exámenes
chevron_left
chevron_right

He publicado nuevos apuntes de 4º Patología y Terapéutica Dental III: PTD III APUNTES TODOS LOS TEMAS UCV.pdf.pdf

79 páginas

He publicado nuevos examenes de 4º Patología y Terapéutica Dental III: Ptd-III-preguntas.pdf

19 páginas

He publicado nuevos examenes de 4º Patología y Terapéutica Dental III: Practico-PTD-lll-imagenes-para-repasar.pdf

25 páginas

He publicado nuevos examenes de 4º Patología y Terapéutica Dental III: examen-interesante-PTD-III.pdf

8 páginas

He publicado nuevos apuntes de 4º Patología y Terapéutica Dental III: Apuntes-de-todos-los-temas-PTD-III.pdf

96 páginas
¡Estás al día!

¡Estás al día!

Has visto todos los archivos