Radiología I

chevron_left
chevron_right
Todo
Apuntes
Ejercicios
Exámenes
Prácticas
chevron_left
chevron_right

apuntes

-

Preguntas

Flashcards de Goodnotes con preguntas de exámenes desde 2020 hasta 2025. Hay más de 300 tarjetas pero suelen repetir así que algunas preguntas salen más de 1 vez.

Miniatura no disponible
Preguntas-Radiologia-I.goodnotes

He publicado nuevos examenes de 3º Radiología I: EXAMEN-2020-RAYOS.-Respuestas-al-final.pdf

9 páginas

He publicado nuevos examenes de 3º Radiología I: Examen-2023-Rayos-I.-Respuestas-al-final.pdf

13 páginas

He publicado nuevos examenes de 3º Radiología I: Examen-Radiologia-I-2022-Respuestas-al-final.pdf

13 páginas
Anónimo

@Anónimo

He publicado nuevos apuntes de 3º Radiología I: ULTRA-RESUMENES-RAYOS.pdf

26 páginas
Anónimo

@Anónimo

apuntes

-

Apuntes 24-25

Resumenes temas 1-16 Resumenes parte Souto. Mitad de los apuntes es teoria y la otra mitad son casos clinicos para contestar.

SOUTO-1.pdf
TEMA-1-16.pdf

He publicado nuevos examenes de 3º Radiología I: Recopilatorio-Preguntas-test-Radiologia.pdf

17 páginas

He publicado nuevos apuntes de 3º Radiología I: Examen-Rayos-2022-Corregido-2.docx

word

Esquemas escritos a mano 2021-2022

3 páginas

He publicado nuevos apuntes de 3º Radiología I: PRACTICO-RAYOS.pdf

20 páginas

He publicado nuevos apuntes de 3º Radiología I: Bloque-II.pdf

7 páginas
Anónimo

@Anónimo

He publicado nuevos apuntes de 3º Radiología I: Casos-clinicos-Souto.pdf

42 páginas
Anónimo

@Anónimo

He publicado nuevos apuntes de 3º Radiología I: Carreira-20242025.pdf

83 páginas
Anónimo

@Anónimo

He publicado nuevos apuntes de 3º Radiología I: Souto-20242025.pdf

78 páginas
Anónimo

@Anónimo

He publicado nuevos apuntes de 3º Radiología I: Libro-de-imagenes-Neuroradiologia.pdf

13 páginas
Anónimo

@Anónimo

He publicado nuevos apuntes de 3º Radiología I: Apuntes-Radiologia-Souto.pdf

46 páginas

He publicado nuevos apuntes de 3º Radiología I: Imagen-cardiaca.pdf

1 página

Algunas modificaciones en la corrección

13 páginas

Examen 2022 Radiología I; las soluciones se han marcado en base a los apuntes de la comisión pero podemos haber cometido algún fallo ;)) se aceptan sugerencias!!

12 páginas

He publicado nuevos examenes de 3º Radiología I: Examenes-rayos-recopilatorio.pdf

65 páginas

Examen 2023 Radiología I; las soluciones se han marcado en base a los apuntes de la comisión pero podemos haber cometido algún fallo ;)) se aceptan sugerencias!!

13 páginas

He publicado nuevos apuntes de 3º Radiología I: Tema-2-RadiodiagnAstico-2RadioloxAa-I-curso-20202021-Modif..pdf

52 páginas

He publicado nuevos apuntes de 3º Radiología I: Tema-1.-Radiodiagnostico-2..pdf

7 páginas

He publicado nuevos apuntes de 3º Radiología I: Tema-1.-Fundamentos-Fisicos-Radiodiagnostico..pdf

10 páginas

He publicado nuevos apuntes de 3º Radiología I: Tema-1-RadiodiagnAstico-1RadioloxAa-I-curso-20202021-Modif..pdf

57 páginas

He publicado nuevos examenes de 3º Radiología I: Preguntas-Radiologia..pdf

26 páginas

He publicado nuevos apuntes de 3º Radiología I: B1-triptico-iaea-rx.pdf

2 páginas

He publicado nuevos apuntes de 3º Radiología I: B2-BibliografAaDosis-Efectivas-en-exploraciones-de-RadiologAa-y-Medicina-Nuclear.pdf

12 páginas

He publicado nuevos apuntes de 3º Radiología I: B3-ICRP-84-Embarazo-e-irradiaciAn-mAcdica.pdf

66 páginas

He publicado nuevos apuntes de 3º Radiología I: B4-PR-118-GuAa-de-JustificaciAn-en-DiagnAstico-por-la-ImagenActualizaciAn-2008Xunta-2011.pdf

264 páginas

He publicado nuevos apuntes de 3º Radiología I: B5-recomendacionesseramnohacer.pdf

63 páginas

He publicado nuevos apuntes de 3º Radiología I: B6-consentimiento-informado-RXSERAMSEPR-2012.pdf

12 páginas

He publicado nuevos examenes de 3º Radiología I: Recopilatorio-Examenes-Radiologia-I..pdf

52 páginas

He publicado nuevos apuntes de 3º Radiología I: Rayos-I-Teoria..pdf

20 páginas

He publicado nuevos practicas de 3º Radiología I: Rayos-I-Practica.pdf

12 páginas

He publicado nuevos examenes de 3º Radiología I: Examen-Rayos-2022-Corregido-1.pdf

9 páginas

He publicado nuevos examenes de 3º Radiología I: Examen-20-21-1.pdf

6 páginas

He publicado nuevos apuntes de 3º Radiología I: Patologia-Rayos.pdf

4 páginas

He publicado nuevos apuntes de 3º Radiología I: Imagenes-Rayos-Souto.pdf

53 páginas

He publicado nuevos apuntes de 3º Radiología I: Ecografia.pdf

40 páginas

Resumen de las expositivas teóricas de Radiología I (23-24)

43 páginas

INCLUYE: las 7 primeras clases de souto con fotos y explicación y anotaciones de las clases de teoría con lo que va a ser importante para el examen.

31 páginas

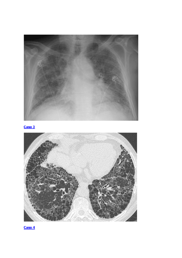
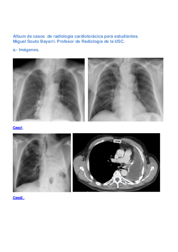
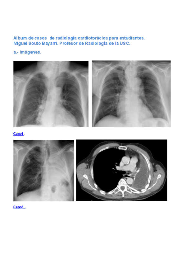
He publicado nuevos examenes de 3º Radiología I: Album-de-casos-de-radiologia-cardiotoracica-para-estudiantes.-Miguel-Souto-Bayarri.-Profesor-de-Radiologia-de-la-USC..pdf

42 páginas

He publicado nuevos apuntes de 3º Radiología I: E37-E34-A-INTRODUCCION-A-IMAGENES-DEL-CORAZON.pdf

16 páginas

He publicado nuevos ejercicios de 3º Radiología I: EX35-C-Casos-clinicos.pdf

8 páginas

He publicado nuevos examenes de 3º Radiología I: E36Consolidacionpulmonarrevisado.pdf

16 páginas

He publicado nuevos apuntes de 3º Radiología I: E40-SEMIOLOGIA-RADIOLOGICA-DEL-TORAX.pdf

13 páginas
¡Estás al día!

¡Estás al día!

Has visto todos los archivos