Todo
Apuntes
Exámenes
Prácticas
Trabajos
chevron_left
chevron_right
Anónimo

@Anónimo

He publicado nuevos practicas de 3º Técnicas de diagnóstico clínico II (Diagnóstico por imagen): IMAGENES-ECO-CABALLO.pdf

5 páginas

He publicado nuevos examenes de 3º Técnicas de diagnóstico clínico II (Diagnóstico por imagen): EXAMEN-DE-IMAGENES-TD2-2026.pdf

3 páginas

He publicado nuevos examenes de 3º Técnicas de diagnóstico clínico II (Diagnóstico por imagen): CASO-CLINICO-CABALLOS-TD2-2026.pdf

2 páginas

apuntes

-

Pequeños - TD2

He publicado nuevos apuntes de 3º Técnicas de diagnóstico clínico II (Diagnóstico por imagen): Pequeños - TD2

T1-pequenos-TD2.pdf
T2-pequenos-TD2.pdf
T3-pequenos-TD2.pdf
T4-pequenos-TD2.pdf
T5-pequenos-TD2.pdf
T6-pequenos-TD2.pdf

Práctica 5 y 6 de TDII caballos, radiografías y eco locomotor

5 páginas

apuntes

-

Apuntes Equinos TD2

He publicado nuevos apuntes de 3º Técnicas de diagnóstico clínico II (Diagnóstico por imagen): Apuntes Equinos TD2

T1-equinos-TD2.pdf
T2-equinos-TD2.pdf
T3-equinos-TD2.pdf
T4-equinos-TD2.pdf
T5-equinos-TD2.pdf
T6-equinos-TD2.pdf

He publicado nuevos practicas de 3º Técnicas de diagnóstico clínico II (Diagnóstico por imagen): PRACTICA-DE-RAYOS.pdf

23 páginas

apuntes

-

Física - TD2

He publicado nuevos apuntes de 3º Técnicas de diagnóstico clínico II (Diagnóstico por imagen): Física - TD2

T5-Fisica-TD2.pdf
T4-Fisica-TD2.pdf
T1-Fisica-TD2.pdf
T2-Fisica-TD2.pdf
T3-Fisica-TD2.pdf

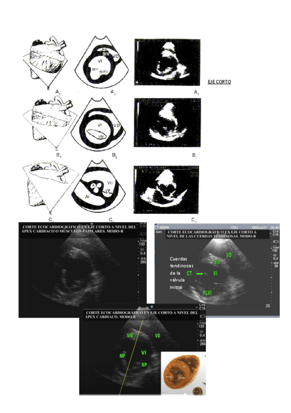
He publicado nuevos apuntes de 3º Técnicas de diagnóstico clínico II (Diagnóstico por imagen): ECOCARDIOGRAFIA.pdf

14 páginas

He publicado nuevos apuntes de 3º Técnicas de diagnóstico clínico II (Diagnóstico por imagen): INTERPRETACION-RADIOLOGICA-E-INTRODUCCION-TORAX.pdf

10 páginas

He publicado nuevos examenes de 3º Técnicas de diagnóstico clínico II (Diagnóstico por imagen): TDC-2-ENERO-2022.pdf

7 páginas

He publicado nuevos examenes de 3º Técnicas de diagnóstico clínico II (Diagnóstico por imagen): TD2-FEB-2022.pdf

7 páginas

He publicado nuevos apuntes de 3º Técnicas de diagnóstico clínico II (Diagnóstico por imagen): TDII-fisica.pdf

68 páginas

He publicado nuevos apuntes de 3º Técnicas de diagnóstico clínico II (Diagnóstico por imagen): Practicas-TD2.pdf

30 páginas

He publicado nuevos apuntes de 3º Técnicas de diagnóstico clínico II (Diagnóstico por imagen): apuntes-TD2.pdf

191 páginas
Anónimo

@Anónimo

He publicado nuevos apuntes de 3º Técnicas de diagnóstico clínico II (Diagnóstico por imagen): PRACTICAS-CABALLOS.pdf

4 páginas

He publicado nuevos apuntes de 3º Técnicas de diagnóstico clínico II (Diagnóstico por imagen): TD2-practico.pdf

15 páginas

apuntes

-

APUNTES TDII

He publicado nuevos apuntes de 3º Técnicas de diagnóstico clínico II (Diagnóstico por imagen): APUNTES TDII

1.-Introduccion-a-la-radiologia.pdf
2.-anatomia-e-interpretacion-radiografica-de-la-cavidad-toracica.pdf
3.-Introduccion-a-la-radiografia-musculoesqueletica-y-columna.pdf
4.-Princicpios-de-interpretacion-de-TC-y-RM.pdf
5.-Patologias-abdominales-I.pdf
6.-Patologias-abdominales-II.pdf

practicas

-

Practicas TD2

He publicado nuevos practicas de 3º Técnicas de diagnóstico clínico II (Diagnóstico por imagen): Practicas TD2

Practicas-TD2-Eco-Pq-animales.pdf
Practicas-TD2-Eco-y-cardio-equino.pdf
Practicas-TD2-Rayos-equino.pdf
Practicas-TD2-rayos-pq-animales.pdf

apuntes

-

TD2 DIAGNOSTICO POR IMAGEN

He publicado nuevos apuntes de 3º Técnicas de diagnóstico clínico II (Diagnóstico por imagen): TD2 DIAGNOSTICO POR IMAGEN

TD2-UD2-T1.pdf

He publicado nuevos practicas de 3º Técnicas de diagnóstico clínico II (Diagnóstico por imagen): PRACTICA-4-TD2-ECOGRAFIA-2.pdf

3 páginas

He publicado nuevos apuntes de 3º Técnicas de diagnóstico clínico II (Diagnóstico por imagen): Posicionamiento-radiografico-1.pdf

6 páginas

He publicado nuevos apuntes de 3º Técnicas de diagnóstico clínico II (Diagnóstico por imagen): Posicionamiento-radiografico-2.pdf

3 páginas

He publicado nuevos apuntes de 3º Técnicas de diagnóstico clínico II (Diagnóstico por imagen): Temario-completo-TDII.pdf

191 páginas

apuntes

-

Temario según exámenes

Estos apuntes son dos resúmenes según las cosas que suelen preguntar en todos los exámenes. Yo estudié esto y aprobé :)

RESUMEN-CABALLOS-TD2-CON-EXAMENES.pdf
RESUMEN-PEQUENOS-TD2-SEGUN-PREGUNTAS-EXAMENES.pdf

apuntes

-

Protocolos prácticas con imágenes

He publicado nuevos apuntes de 3º Técnicas de diagnóstico clínico II (Diagnóstico por imagen): Protocolos prácticas con imágenes

PRACTICA-1.-Protocolo.pdf
PRACTICA-2.-Protocolo.pdf
PRACTICA-6-rx-caballos.pdf

He publicado nuevos apuntes de 3º Técnicas de diagnóstico clínico II (Diagnóstico por imagen): resumenTD2.pdf

25 páginas

apuntes

-

Apuntes TDII

He publicado nuevos apuntes de 3º Técnicas de diagnóstico clínico II (Diagnóstico por imagen): Apuntes TDII

Unidad-1.pdf
Ecografia-del-aparato-locomotor-equino.pdf
Ecografia-abdominal.pdf
Radiografia-del-aparato-locomotor-equino.pdf
Endoscopia-en-equinos.pdf
Radiografia-de-vias-respiratorias-de-equinos.pdf

practicas

-

Prácticas TD2

He publicado nuevos practicas de 3º Técnicas de diagnóstico clínico II (Diagnóstico por imagen): Prácticas TD2

2.pdf
1.pdf
Practica-caballos-2.pdf

apuntes

-

Prácticas

He publicado nuevos apuntes de 3º Técnicas de diagnóstico clínico II (Diagnóstico por imagen): Prácticas

6.pdf
7.pdf
4.pdf
3.pdf
8.pdf
2.pdf

apuntes

-

PARTE CABALLOS COMPLETO

He publicado nuevos apuntes de 3º Técnicas de diagnóstico clínico II (Diagnóstico por imagen): PARTE CABALLOS COMPLETO

UD3.pdf
UD3.pdf
UD3.pdf
UD3.pdf
UD3.pdf
UD3.pdf

apuntes

-

PARTE PEQUEÑOS MAMIFEROS COMPLETO

He publicado nuevos apuntes de 3º Técnicas de diagnóstico clínico II (Diagnóstico por imagen): PARTE PEQUEÑOS MAMIFEROS COMPLETO

UD2.pdf
UD2.pdf
UD2.pdf
UD2.pdf
UD2.pdf
UD2.pdf

apuntes

-

PARTE FISICA COMPLETO

He publicado nuevos apuntes de 3º Técnicas de diagnóstico clínico II (Diagnóstico por imagen): PARTE FISICA COMPLETO

UD1.pdf
UD1.pdf
UD1.pdf
UD1.pdf
UD1.pdf
UD1.pdf

apuntes

-

Apuntes Equino TDII

He publicado nuevos apuntes de 3º Técnicas de diagnóstico clínico II (Diagnóstico por imagen): Apuntes Equino TDII

3.pdf
2.pdf
7.pdf
6.pdf
1.pdf
4.pdf

apuntes

-

TDII - Noemí (pequeños animales)

He publicado nuevos apuntes de 3º Técnicas de diagnóstico clínico II (Diagnóstico por imagen): TDII - Noemí (pequeños animales)

10.pdf
4.pdf
2.pdf
9.pdf
6.pdf
8.pdf

He publicado nuevos apuntes de 3º Técnicas de diagnóstico clínico II (Diagnóstico por imagen): TD2.pdf

pdf

examenes

-

EXÁMENES TD2

He publicado nuevos examenes de 3º Técnicas de diagnóstico clínico II (Diagnóstico por imagen): EXÁMENES TD2

examen-TD2.pdf
TD2-CABALLOS-2018.pdf
TD2-solo-caballos.pdf
TEORICO-fisica.docx
Examen-TD2-Enero-201819.pdf
Examen-TD2-Febrero-201819.pdf

He publicado nuevos apuntes de 3º Técnicas de diagnóstico clínico II (Diagnóstico por imagen): Practicas-TD2.pdf

30 páginas