Anónimo
Portada
Asignatura
Grado en Óptica y Optometría (UPC)
Anatomía e Histología de la Cabeza
Fecha de subida
07 feb 2025
Categoría
examenes
Información
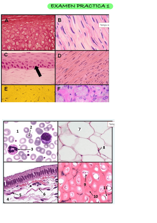
no está bien resuelto, pero el examen de la práctica fue así.
Etiquetas
Apuntes - TOT-2N-PARCIAL-ANATOCAP-T.pdf
pdf
84 páginas
147
6
Exámenes - 1er-parcial.pdf
5 páginas
94
1
Exámenes - MODEL-EXAMEN-2n-PARCIAL-ANATO.pdf
2 páginas
83
2
Apuntes - APUNTS-TOT-1R-PARCIAL-ANATO.pdf
66 páginas
81
3
Exámenes - MODEL-EXAMEN-1r-PARCIAL-ANATO.pdf
73
Prácticas - Practica-4-AG-vascularitzacio230122175530.pdf
4 páginas
45
0
Prácticas - Practica-3-AG-musculs-i-cor230123075754.pdf
51
Exámenes - 2on-parcial-FEBRER-cat-2021.pdf
53
Apuntes - 1 Introducció a lhistologia
6 páginas
54
Prácticas - Practica-5-AG-sistema-nervios230122110039.pdf
Apuntes - Tema-1.-Introduccio-a-la-histologia.pdf
12 páginas
30
Apuntes - 6 Sistema muscular PART 1
8 páginas
43
Apuntes - Tema-6.pdf
16 páginas
32
4
Apuntes - Tema-8-Sistema-linfatico.pdf
3 páginas
28
Apuntes - APUNTS-PARCIAL-1.pdf
27
Apuntes - Anato-Parcial-1-PDF.pdf
38 páginas
Apuntes - 2-parcial-final-Anatomia.pdf
73 páginas
20
Apuntes - 4 Sistema tegumentari PART 1
39
Apuntes - Tema-10.pdf
13 páginas
23
Apuntes - 3 Anatomia del cap i del coll
38
Información
no está bien resuelto, pero el examen de la práctica fue así.