Portada
Asignatura
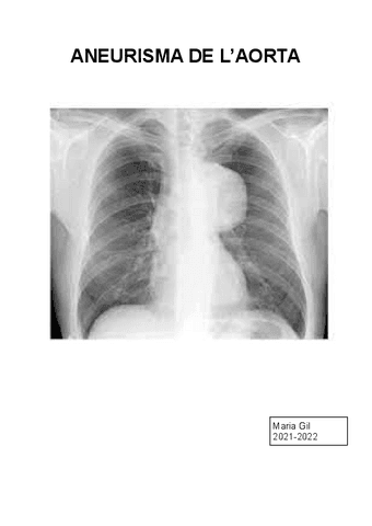
Torrevicens - Imagen para el Diagnóstico y Medicina Nuclear
Anatomía por la imagen
Fecha de subida
23 feb 2023
Categoría
apuntes
Etiquetas
Trabajos - ANEURISMA-DE-LAORTA.pdf
pdf
12 páginas
16
0
Apuntes - QUIST-TIMIC.pdf
1 página
10
Apuntes - COR.pdf
Apuntes - SANG.pdf
11