Portada
Asignatura
Grado en Biotecnología (UAX)
Biología del desarrollo y de los tejidos
Fecha de subida
23 oct 2023
Categoría
apuntes
Etiquetas
Apuntes - T7.-Morfogenesis-cambios-en-la-formacion-del-embrion-temprano..pdf
pdf
4 páginas
27
0
Apuntes - T6.-Establecimiento-del-plan-corporal.pdf
8 páginas
28
Apuntes - T9.-Regeneracion-tisular.pdf
5 páginas
22
Apuntes - T8.-organogenesis.pdf
15 páginas
25
Apuntes - T4.-Gametogenesis.pdf
11 páginas
Apuntes - Seminarios-histologia-vegetal.pdf
18 páginas
18
Apuntes - T3.-senalizacion-molecular-en-el-desarrollo.pdf
20
Apuntes - T5.-fecundacion-y-blastogenesis.pdf
Apuntes - T2.-Herramientas-conceptuales.pdf
Apuntes - T10.-Desarrollo-de-plantas.pdf
19
Apuntes - SMA-Tejido-cartilaginoso.pdf
2 páginas
Apuntes - PAR2Tema-6-Establecimiento-del-plan-corporal-en-vertebrados.pdf
23
Apuntes - TEMA-1.pdf
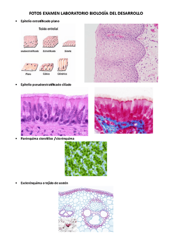
Apuntes - FOTOS-QUE-HAN-ENTRADO-EN-EXAMEN-LABORATORIO-BIOLOGIA-DEL-DESARROLLO.pdf
7 páginas
16
Apuntes - SMA-Tejido-oseo.pdf
3 páginas
Apuntes - PAR1Tema-2-Herramientas-conceptuales.pdf
Apuntes - HISTOATema-1-Tejido-epitelial.pdf
30
Apuntes - PAR2Tema-8-Organogenesis.pdf
9 páginas
29
Apuntes - SMA-Tejido-muscular.pdf
21
Apuntes - TEMA-2.pdf
17