Todo
Apuntes
Preguntas
Exámenes
Otros
Prácticas
publication
chevron_left
chevron_right

Apuntes tema nervioso actualizado con clases 2025

17 páginas

He publicado nuevos practicas de 2º Histología Humana: PRACTICAS-HISTOLOGIA-primer-mini-examen-202526.pdf

10 páginas

He publicado nuevos apuntes de 2º Histología Humana: TEJIDO-CONJUNTIVO-25-26.pdf

1 página

He publicado nuevos apuntes de 2º Histología Humana: Practicas-histo-introduccion.pdf

6 páginas

He publicado nuevos apuntes de 2º Histología Humana: Apuntes-con-imagenes-3oParcial.pdf

8 páginas

He publicado nuevos apuntes de 2º Histología Humana: Apuntes-con-imagenes-2oParcial.pdf

10 páginas

He publicado nuevos apuntes de 2º Histología Humana: Apuntes-Hisotlogia2oParcial.pdf

82 páginas

He publicado nuevos apuntes de 2º Histología Humana: Apuntes-Hisotlogia1oParcial.pdf

122 páginas

He publicado nuevos apuntes de 2º Histología Humana: Portada-HISTOLOGIA.pdf

1 página

apuntes

-

Portadas

He publicado nuevos apuntes de 2º Histología Humana: Portadas

Portada-2a-parte-histo.pdf
Portada-1a-parte-histo.pdf

apuntes

-

1ER PARCIAL HISTO (Félix y Sol)

He publicado nuevos apuntes de 2º Histología Humana: 1ER PARCIAL HISTO (Félix y Sol)

T14.-SANGRE.pdf
T13.-MEDULA-ESPINAL.pdf
T12.-OLFATO.pdf
T11.-GUSTO.pdf
T10.-AUDICION.pdf
T9.-VISION.pdf

apuntes

-

Prácticas Microscopio para Sacar Matrícula

Aqui tenéis todas las muestras vistas en las prácticas de microscopio con las cosas más importantes de cada una

Practicas-Sistema-Digestivo.pdf
Practicas-sistema-Endocrino.pdf
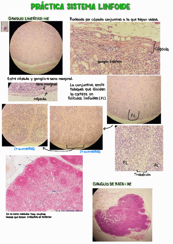
Practicas-Sistema-Linfatico.pdf
Practicas-Sistema-Respiratorio.pdf
Practicas-TODO-Conjuntivo.pdf
Practicas-Cardiovascular.pdf

He publicado nuevos apuntes de 2º Histología Humana: APARATO-GENITAL-FEMENINO-HISTOLOGIA.pdf

8 páginas

He publicado nuevos apuntes de 2º Histología Humana: TODOS-los-portas-practicas.pdf

2 páginas

apuntes

-

URINARIO Y GENITAL MASCULINO (Félix)

He publicado nuevos apuntes de 2º Histología Humana: URINARIO Y GENITAL MASCULINO (Félix)

APARATO-GENITAL-MASCULINO-I.-HISTOLOGIA.pdf
APARATO-GENITAL-MASCULINO-II.-HISTOLOGIA.pdf
APARATO-URINARIO-I.-HISTOLOGIA.pdf
APARATO-URINARIO-II.-HISTOLOGIA.pdf

He publicado nuevos practicas de 2º Histología Humana: Todas-las-practicas-completo.pdf

106 páginas

He publicado nuevos apuntes de 2º Histología Humana: SISTEMA-ENDOCRINO-HISTOLOGIA.pdf

6 páginas

He publicado nuevos apuntes de 2º Histología Humana: Tabla-Celulas-sanguineas.pdf

2 páginas

apuntes

-

3º PARCIAL (2024/2025)

Para el tema de reproductor femenino os recomiendo los apuntes de @ali_dh

TEMA-23-SISTEMA-ENDOCRINO.pdf
TEMA-24-ESTRUCTURA-DEL-RINON-APARATO-URINARIO-I.pdf
TEMA-25-VASCULARIZACION-RENAL-HISTOFISIOLOGIA-DEL-RINON-Y-VIAS-URINARIAS-APARATO-URINARIO-II.pdf
TEMA-26-TESTICULOS-Y-TUBULOS-SEMINIFEROS-APARATO-GENITAL-MASCULINO-I.pdf
TEMA-27-VIAS-ESPERMATICAS-Y-GLANDULAS-SEXUALES-ANEJAS-APARATO-GENITAL-MASCULINO-II.pdf

apuntes

-

Teoría histología

He publicado nuevos apuntes de 2º Histología Humana: Teoría histología

Introduccion-y-tejido-epitelial.pdf
Tejido-conjuntivo-o-conectivo.pdf
Derivados-del-tejido-conjuntivo-adiposo-y-cartilago.pdf
Tejido-muscular.pdf
Tejido-oseo.pdf
Tejido-nervioso.pdf

He publicado nuevos apuntes de 2º Histología Humana: Apuntes-Soledad-SEGUNDO-PARCIAL.pdf

36 páginas

apuntes

-

2ndo parcial RESPIRATORIO (parte Félix)

He publicado nuevos apuntes de 2º Histología Humana: 2ndo parcial RESPIRATORIO (parte Félix)

SISTEMA-RESPIRATORIO-I.-VIAS-RESPIRATORIAS-EXTRAPULMONARES-SUPERIORES-HISTOLOGIA.pdf
SISTEMA-RESPIRATORIO-II.-VIAS-RESPIRATORIAS-EXTRAPULMONARES-INFERIORES-HISTOLOGIA.pdf
SISTEMA-RESPIRATORIO-III.-VIAS-RESPIRATORIAS-INTRAPULMONARES-HISTOLOGIA.pdf

apuntes

-

2º PARCIAL (2024/2025)

2º parcial (en el examen también entra el temario del 1º parcial)

MEDULA-OSEA.pdf
TEMA-13-SISTEMA-CARDIOVASCULAR.pdf
TEMA-14-PIEL.pdf
TEMA-15-DERIVADOS-EPIDERMICOS.pdf
TEMA-16-SISTEMA-LINFOIDE.pdf
TEMA-17-CAVIDAD-BUCAL.pdf

apuntes

-

2ndo parcial HISTOLOGÍA (parte de Sol)

He publicado nuevos apuntes de 2º Histología Humana: 2ndo parcial HISTOLOGÍA (parte de Sol)

MEDULA-OSEA-HISTOLOGIA.pdf
PIEL-Y-DERIVADOS-EPIDERMICOS-HISTOLOGIA.pdf
SISTEMA-CARDIOVASCULAR-HISTOLOGIA.pdf
SISTEMA-INMUNITARIO-HISTOLOGIA.pdf

apuntes

-

2ndo parcial HISTOLOGÍA (PARTE DE URANGA)

He publicado nuevos apuntes de 2º Histología Humana: 2ndo parcial HISTOLOGÍA (PARTE DE URANGA)

SISTEMA-DIGESTIVO-I.-HISTOLOGIA.pdf
SISTEMA-DIGESTIVO-II.-HISTOLOGIA.pdf
SISTEMA-DIGESTIVO-III.-HISTOLOGIA.pdf

He publicado nuevos apuntes de 2º Histología Humana: RESUMEN-DE-LA-PIEL.pdf

1 página

apuntes

-

1º PARCIAL (2024/2025)

He publicado nuevos apuntes de 2º Histología Humana: 1º PARCIAL (2024/2025)

PortadaTema-1-Histologia.pdf
TEMA-2-TEJIDO-EPITELIAL.pdf
TEMA-3-EPITELIO-GLANDULAR.pdf
TEMA-4-TEJIDO-CONJUNTIVO.pdf
TEMA-6-TEJIDO-MUSCULAR.pdf
TEMA-5.1-TEJIDO-CONJ-ESPECIALIZADO-ADIPOSO.pdf
Anónimo

@Anónimo

Las respuestas están al final

8 páginas
Anónimo

@Anónimo

He publicado nuevos examenes de 2º Histología Humana: PREGUNTAS-DE-EXAMENES-SOBRE-LOS-SENTIDOS.pdf

3 páginas

apuntes

-

Apuntes prácticas histo

He publicado nuevos apuntes de 2º Histología Humana: Apuntes prácticas histo

1.-Epitelio.pdf
2.-Glandular.pdf
3.-Conjuntivo.pdf
4.-Osificacion.pdf
5.-Tejido-muscular.pdf
6.-Tejido-nervioso.pdf

He publicado nuevos apuntes de 2º Histología Humana: APUNTES-SANGRE-Soledad.pdf

9 páginas

apuntes

-

Tema 7. Sistema nervioso

He publicado nuevos apuntes de 2º Histología Humana: Tema 7. Sistema nervioso

T7-anexos-sistema-nervioso.pdf
T7.Tejido-y-sistema-nervioso.pdf

He publicado nuevos apuntes de 2º Histología Humana: APUNTES-OLFATO-Y-GUSTO-Soledad.pdf

4 páginas

He publicado nuevos apuntes de 2º Histología Humana: APUNTES-OIDO-Soledad.pdf

6 páginas

He publicado nuevos apuntes de 2º Histología Humana: APUNTES-OJO-Soledad.pdf

10 páginas

He publicado nuevos apuntes de 2º Histología Humana: APUNTES-TEJIDO-NERVIOSO-Soledad.pdf

17 páginas
Anónimo

@Anónimo

He publicado nuevos examenes de 2º Histología Humana: Recopilacion-1o-parcial-HISTOLOGIA.pdf

66 páginas

He publicado nuevos apuntes de 2º Histología Humana: T5.-Tejido-Oseo.-2425.pdf

6 páginas

He publicado nuevos apuntes de 2º Histología Humana: APUNTES-TEJIDO-OSEO-SOLEDAD.pdf

5 páginas

He publicado nuevos apuntes de 2º Histología Humana: T4.-Tejido-cartilaginoso.pdf

4 páginas
Anónimo

@Anónimo

practicas

-

1º TEST PRÁCTICAS

He publicado nuevos practicas de 2º Histología Humana: 1º TEST PRÁCTICAS

PRACTICA-4-DE-HISTOLOGIA.pdf
PRACTICA-6-TEJIDO-MUSCULAR.pdf
PRACTICA-5-HISTOLOGIA.pdf
PRACTICA-7.pdf

He publicado nuevos otros de 2º Histología Humana: Seminario-la-histologia-medica-del-siglo-XXI.pdf

5 páginas

apuntes

-

Tablas resumen

He publicado nuevos apuntes de 2º Histología Humana: Tablas resumen

TEJIDO-ADIPOSO.pdf
TEJIDO-CARTILAGINOSO.pdf
TEJIDO-OSEO.pdf
SANGRE.pdf
VISION.pdf
GUSTO-Y-OLFATO.pdf

He publicado nuevos apuntes de 2º Histología Humana: Practicas-histologia.pdf

116 páginas

He publicado nuevos apuntes de 2º Histología Humana: Tema-0.-Introduccion.pdf

11 páginas

He publicado nuevos apuntes de 2º Histología Humana: TODO-PRACTICAS-UNIDO.pdf

75 páginas

apuntes

-

Apuntes TODO histo

Apuntes esquematizados y con muchas imágenes para buena nota en histo

Primera-parte-epitelio-hasta-medula-osea.pdf
Segunda-parte-piel-hasta-respiratorio.pdf
Tercera-parte-renal-hasta-genitourinario.pdf

practicas

-

Prácticas Histología

He publicado nuevos practicas de 2º Histología Humana: Prácticas Histología

APUNTES-PRACTICAS-1-14.pdf
APUNTES-PRACTICAS-15-28.pdf

He publicado nuevos examenes de 2º Histología Humana: Examen-histologia.pdf

12 páginas

practicas

-

Prácticas 23-24

He publicado nuevos practicas de 2º Histología Humana: Prácticas 23-24

Practica-1.-Tejido-epitelial-de-revestimiento-I.pdf
Practica-2.-Tejido-epitelial-de-revestimiento-II.pdf
Practica-4.-Tejido-conjuntivo-I.pdf
Practica-5.-Tejido-conjuntivo-II.pdf
Practica-6.-Tejido-conjuntivo-especializado.pdf
Practica-8.-Tejido-muscular.pdf

He publicado nuevos practicas de 2º Histología Humana: MUESTRAS-PRACTICAS-HISTOLOGIA.pdf

26 páginas

apuntes

-

TEMAS SUELTOS 2023-2024

He publicado nuevos apuntes de 2º Histología Humana: TEMAS SUELTOS 2023-2024

TEMA-31.-APARATO-GENITAL-MASCULINO.pdf
VESICULA-BILIAR-PANCREAS-E-HIGADO.pdf
TEMA-21.-SISTEMA-LINFOIDE.pdf
TEMA-28.-SISTEMA-ENDOCRINO.pdf
TEMA-32.-APARATO-GENITAL-FEMENINO.pdf
TEMA-33.-INVESTIGACION-EN-HISTOLOGIA.-TERAPIAS-AVANZADAS.pdf

He publicado nuevos practicas de 2º Histología Humana: TODO-PRACTICAS-HISTO.pdf

37 páginas

Últimos tema de histo

6 páginas

He publicado nuevos apuntes de 2º Histología Humana: terapias-avanzadas.pdf

8 páginas

He publicado nuevos apuntes de 2º Histología Humana: TODO-HISTO-UNIDO-PARA-EXAMEN-FINAL.pdf

239 páginas

practicas

-

Prácticas Histología

He publicado nuevos practicas de 2º Histología Humana: Prácticas Histología

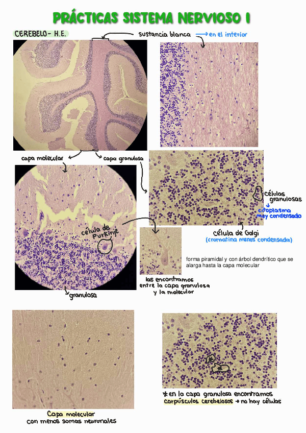
5.-Sistema-y-tejido-nervioso.pdf
7.-Vasos-sanguineos.pdf
10.-Sistema-Endocrino.pdf
8.-Sistema-linfoide.pdf
2.-Epitelio-glandular.pdf
3.-Tejido-conjuntivo.pdf

apuntes

-

Teoría Histología

He publicado nuevos apuntes de 2º Histología Humana: Teoría Histología

Tema-11-Tema-18.pdf
Primer-Parcial.pdf
SISTEMA-CARDIOVASCULAR.pdf
19.-SISTEMA-LINFOIDE.pdf
20.-SISTEMA-DIGESTIVO-I.pdf
Aparato-Digestivo-II.pdf