Portada
Asignatura
Grado en Medicina (UNIZAR)
HISTOLOGIA II (HISTOLOGIA ESPECIAL)
Fecha de subida
04 mar 2021
Categoría
examenes
Etiquetas
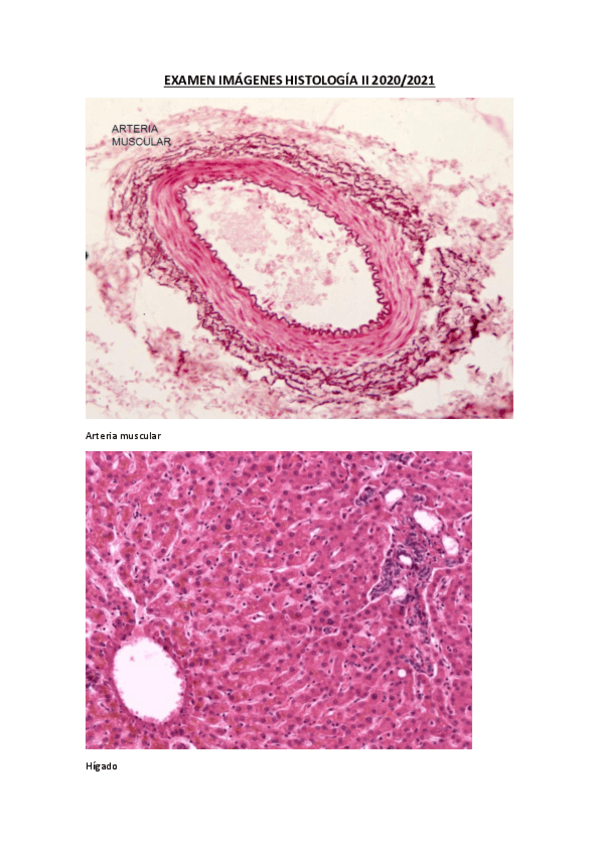
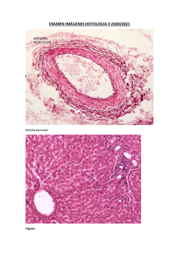
Exámenes - EXAMEN HISTOLOGÍA II_2023.pdf
pdf
3 páginas
308
4
Exámenes - EXAMEN-IMAGENES-HISTOLOGIA-II-2020.pdf
5 páginas
365
3
Exámenes - Examen-enero-23-24.pdf
288
9
Apuntes - vias-genitales-femeninas.pdf
30 páginas
296
1
Apuntes - 1.-Organos-de-los-sentidos.pdf
50 páginas
242
8
Apuntes - glandula-mamaria.pdf
13 páginas
281
Apuntes - 2.-Aparato-circulatorio.pdf
44 páginas
235
5
Apuntes - rinon.pdf
57 páginas
299
Apuntes - cavidad-bucal-y-orofaringe.pdf
64 páginas
276
2
Apuntes - intestino-delgado.pdf
34 páginas
261
Exámenes - 2020-bateria-preguntas-2o-parcial-histo.pdf
277
Exámenes - IMAGENES-EXAMEN-2021.pdf
278
Apuntes - vias-respiratorias.pdf
55 páginas
245
Apuntes - intestino-grueso.pdf
28 páginas
247
Apuntes - oido.pdf
24 páginas
250
Apuntes - 4.-Aparato-respiratorio.pdf
222
Apuntes - globo-ocular.pdf
264
13
Apuntes - ovario.pdf
37 páginas
241
Apuntes - vias-espermaticas-glandulas-pene.pdf
45 páginas
236
Apuntes - vias-urinarias.pdf
17 páginas