PROCEDIMIENTOS DIAGNÓSTICOS I: MÉDICINA FÍSICA Y RADIODIAGNÓSTICO

chevron_left
chevron_right
Todo
Apuntes
chevron_left
chevron_right

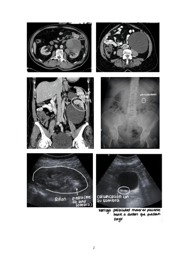
Es la parte final del tema 10.q creo que es nueva. Son prácticamente todo fotos, pero por si alguien lo quiere para imprimirlo y meterlo en sus apuntes

3 páginas

He publicado nuevos apuntes de 3º PROCEDIMIENTOS DIAGNÓSTICOS I: MÉDICINA FÍSICA Y RADIODIAGNÓSTICO: RAYOS-TEMA-14.pdf

10 páginas

He publicado nuevos apuntes de 3º PROCEDIMIENTOS DIAGNÓSTICOS I: MÉDICINA FÍSICA Y RADIODIAGNÓSTICO: RAYOS-TEMA-13.pdf

8 páginas

He publicado nuevos apuntes de 3º PROCEDIMIENTOS DIAGNÓSTICOS I: MÉDICINA FÍSICA Y RADIODIAGNÓSTICO: RAYOS-TEMA-13-PARTE-2.pdf

12 páginas

He publicado nuevos apuntes de 3º PROCEDIMIENTOS DIAGNÓSTICOS I: MÉDICINA FÍSICA Y RADIODIAGNÓSTICO: RAYOS-TEMA-12.pdf

31 páginas

He publicado nuevos apuntes de 3º PROCEDIMIENTOS DIAGNÓSTICOS I: MÉDICINA FÍSICA Y RADIODIAGNÓSTICO: RAYOS-TEMA-10.pdf

21 páginas

He publicado nuevos apuntes de 3º PROCEDIMIENTOS DIAGNÓSTICOS I: MÉDICINA FÍSICA Y RADIODIAGNÓSTICO: RAYOS-TEMA-11.pdf

22 páginas

He publicado nuevos apuntes de 3º PROCEDIMIENTOS DIAGNÓSTICOS I: MÉDICINA FÍSICA Y RADIODIAGNÓSTICO: RAYOS-TEMA-9.pdf

40 páginas

He publicado nuevos apuntes de 3º PROCEDIMIENTOS DIAGNÓSTICOS I: MÉDICINA FÍSICA Y RADIODIAGNÓSTICO: RAYOS-TEMA-8.pdf

26 páginas

He publicado nuevos apuntes de 3º PROCEDIMIENTOS DIAGNÓSTICOS I: MÉDICINA FÍSICA Y RADIODIAGNÓSTICO: RAYOS-TEMA-7.pdf

11 páginas

He publicado nuevos apuntes de 3º PROCEDIMIENTOS DIAGNÓSTICOS I: MÉDICINA FÍSICA Y RADIODIAGNÓSTICO: RAYOS-TEMA-6.pdf

18 páginas

He publicado nuevos apuntes de 3º PROCEDIMIENTOS DIAGNÓSTICOS I: MÉDICINA FÍSICA Y RADIODIAGNÓSTICO: RAYOS-TEMA-5.pdf

8 páginas

He publicado nuevos apuntes de 3º PROCEDIMIENTOS DIAGNÓSTICOS I: MÉDICINA FÍSICA Y RADIODIAGNÓSTICO: RAYOS-TEMA-4.pdf

24 páginas

He publicado nuevos apuntes de 3º PROCEDIMIENTOS DIAGNÓSTICOS I: MÉDICINA FÍSICA Y RADIODIAGNÓSTICO: RAYOS-TEMA-3.pdf

16 páginas

He publicado nuevos apuntes de 3º PROCEDIMIENTOS DIAGNÓSTICOS I: MÉDICINA FÍSICA Y RADIODIAGNÓSTICO: RAYOS-TEMA-1.pdf

8 páginas

He publicado nuevos apuntes de 3º PROCEDIMIENTOS DIAGNÓSTICOS I: MÉDICINA FÍSICA Y RADIODIAGNÓSTICO: RAYOS-TEMA-2.pdf

14 páginas

introducción, radiaciones ionizantes y radioprotección

9 páginas

apuntes

-

RAYOS Y CENTELLAS

Están CASI todos los temas, pero los he colocado de ``arriba a abajo´´ anatómicamente pq me parece más intuitivo.

1.-RX.-Introduccion-a-la-radiologia.-Radioproteccion.pdf
2.-RX.-FUNDAMENTOS-TECNICOS-RADIOLOGICOS.pdf
3.-RX.-MEDICINA-NUCLEAR-y-CONTRASTES.pdf
4.-RX.-RADIOTERAPIA-2.pdf
5.-RX.-RADIOLOGIA-INTERVENCIONISTA.pdf
6.-RX.-NEURO.pdf

He publicado nuevos apuntes de 3º PROCEDIMIENTOS DIAGNÓSTICOS I: MÉDICINA FÍSICA Y RADIODIAGNÓSTICO: Tema 6 - Imagen de la mama.pdf

3 páginas

He publicado nuevos apuntes de 3º PROCEDIMIENTOS DIAGNÓSTICOS I: MÉDICINA FÍSICA Y RADIODIAGNÓSTICO: TEMA 4 - Medios de contraste.pdf

3 páginas

He publicado nuevos apuntes de 3º PROCEDIMIENTOS DIAGNÓSTICOS I: MÉDICINA FÍSICA Y RADIODIAGNÓSTICO: TEMA 3 - Medicina nuclear.pdf

8 páginas

He publicado nuevos apuntes de 3º PROCEDIMIENTOS DIAGNÓSTICOS I: MÉDICINA FÍSICA Y RADIODIAGNÓSTICO: TEMA 2 - Fundamentos técnicas radiológicas.pdf

7 páginas

He publicado nuevos apuntes de 3º PROCEDIMIENTOS DIAGNÓSTICOS I: MÉDICINA FÍSICA Y RADIODIAGNÓSTICO: TEMA 1 - Introducción a la radiología.pdf

3 páginas

He publicado nuevos apuntes de 3º PROCEDIMIENTOS DIAGNÓSTICOS I: MÉDICINA FÍSICA Y RADIODIAGNÓSTICO: Radio-Mama.pdf

8 páginas

apuntes

-

Radiología

He publicado nuevos apuntes de 3º PROCEDIMIENTOS DIAGNÓSTICOS I: MÉDICINA FÍSICA Y RADIODIAGNÓSTICO: Radiología

Tema-8.pdf
Tema-7.pdf
Tema-10.pdf
Tema-9.pdf
Tema-13.pdf
Tema-7.pdf

He publicado nuevos apuntes de 3º PROCEDIMIENTOS DIAGNÓSTICOS I: MÉDICINA FÍSICA Y RADIODIAGNÓSTICO: Procedimientos.pdf

88 páginas

He publicado nuevos apuntes de 3º PROCEDIMIENTOS DIAGNÓSTICOS I: MÉDICINA FÍSICA Y RADIODIAGNÓSTICO: RADIODIAGNOSTICO.pdf

10 páginas

He publicado nuevos apuntes de 3º PROCEDIMIENTOS DIAGNÓSTICOS I: MÉDICINA FÍSICA Y RADIODIAGNÓSTICO: MAMOGRAFIA.pdf

18 páginas

apuntes

-

Apuntes Columna Vertebral y Musculoesquelético

He publicado nuevos apuntes de 3º PROCEDIMIENTOS DIAGNÓSTICOS I: MÉDICINA FÍSICA Y RADIODIAGNÓSTICO: Apuntes Columna Vertebral y Musculoesquelético

Columna vertebral.pdf
Musculoesquelético.pdf
¡Estás al día!

¡Estás al día!

Has visto todos los archivos