chevron_left
chevron_right
Todo
Apuntes
Exámenes
Prácticas
chevron_left
chevron_right

apuntes

-

Rayos

He publicado nuevos apuntes de 2º Radiologia General: Rayos

Ecografia.pdf
Resonanciamagnetica.pdf

He publicado nuevos apuntes de 2º Radiologia General: Apuntes-Resonancia-Magnetica-Marcos-Hernandez-Parraga.pdf

18 páginas

He publicado nuevos apuntes de 2º Radiologia General: ECOGRAFIA-FISICA-Y-APLICACIONES.pdf

9 páginas

Soluciones de la 2ª práctica de musculoesquelético del curso 25-26

2 páginas

He publicado nuevos apuntes de 2º Radiologia General: PORTADA-RADIOLOGIA.jpeg

Imagen
Anónimo

@Anónimo

He publicado nuevos examenes de 2º Radiologia General: PREGUNTAS-TEORICAS-DE-LOS-EXAMENES-DE-RADIOLOGIA.pdf

30 páginas
Anónimo

@Anónimo

He publicado nuevos examenes de 2º Radiologia General: EXAMEN-FINAL-RADIOLOGIA-2025.pdf

2 páginas

apuntes

-

T.1_Introduccion_radiologia

Resumen del primer tema de radilogía.

T.1Introduccionradiologia.pdf

He publicado nuevos apuntes de 2º Radiologia General: Portada-Radio.pdf

1 página

apuntes

-

Enfermedades

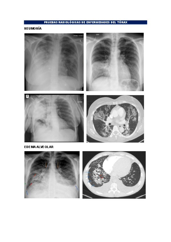
Ejemplos de RX, TC, RM de las enfermedades que hemos visto en clase o en prácticas. NO son fotos de clase ni de prácticas

BLOQUE-ABDOMEN.pdf
BLOQUE-MUSCULO-ESQUELETICO.pdf
BLOQUE-TORAX.pdf

He publicado nuevos apuntes de 2º Radiologia General: RADIOTERAPIA-EN-ONCOLOGIA.pdf

3 páginas

He publicado nuevos apuntes de 2º Radiologia General: Resumen-radiobiologia-y-radioproteccion.pdf

3 páginas

He publicado nuevos apuntes de 2º Radiologia General: Todo-Torax-Esquemas.pdf

10 páginas

apuntes

-

Resúmenes 1º PARCIAL

He publicado nuevos apuntes de 2º Radiologia General: Resúmenes 1º PARCIAL

TOMOGRAFIA-COMPUTARIZADA.pdf
ULTRASONIDOS.pdf
INTRODUCCION-A-LA-RADIOLOGIA.pdf
LESIONES-TRAUMATICAS-FRACTURAS-LUXACIONES-Y-ROTURAS-MUSCULARES.pdf
LESION-FOCAL-Y-GENERALIZADA-AP.-LOCOMOTOR.pdf
ALTERACIONES-DEL-ESPACIO-ARTICULAR-ARTROPATIAS.pdf

He publicado nuevos apuntes de 2º Radiologia General: Semiologia-aparato-genitourinario.-Abdomen.pdf

1 página

He publicado nuevos apuntes de 2º Radiologia General: Imagen-del-SNC-II.pdf

19 páginas

He publicado nuevos apuntes de 2º Radiologia General: Musculoesqueletico-23-24.pdf

40 páginas

He publicado nuevos practicas de 2º Radiologia General: Practicas-Radiologia.-MSK.pdf

11 páginas

He publicado nuevos apuntes de 2º Radiologia General: RADIO-T1-T5-2324.pdf

48 páginas

He publicado nuevos apuntes de 2º Radiologia General: Resumen-Patologias-MSK.pdf

1 página

He publicado nuevos apuntes de 2º Radiologia General: Super-Resumen-Tecnicas-Radiologicas.pdf

2 páginas

He publicado nuevos apuntes de 2º Radiologia General: Indice-Radiologia.pdf

2 páginas

He publicado nuevos apuntes de 2º Radiologia General: RADIOBIOLOGIA-MEDICINA-NUCLEAR-e-IA.pdf

7 páginas

He publicado nuevos apuntes de 2º Radiologia General: TEMAS-FINALES-2023-2024.pdf

10 páginas

He publicado nuevos apuntes de 2º Radiologia General: Dx CUELLO, CARA Y CABEZA 2023/2024.pdf

14 páginas

He publicado nuevos apuntes de 2º Radiologia General: RADIOLOGIA-TECNICAS.pdf

31 páginas
Anónimo

@Anónimo

examenes

-

EXAMEN RAYOS ORDINARIA 2023

Dos archivos, uno con las preguntas y soluciones al final y otro con las imágenes que se han podido conseguir

EXAMEN-RAYOS-MAYO-2023-IMAGENES.pdf
EXAMEN-RAYOS-MAYO-2023.pdf

apuntes

-

Esquemas Radiología

He publicado nuevos apuntes de 2º Radiologia General: Esquemas Radiología

Esquemas-Radio-Neuro.pdf
Esquemas-Radio-Musculo-esqueletico.pdf

He publicado nuevos apuntes de 2º Radiologia General: TODO-RADIO-APUNTES.pdf

32 páginas

He publicado nuevos apuntes de 2º Radiologia General: RADIO-1.pdf

21 páginas

He publicado nuevos apuntes de 2º Radiologia General: RADIO-TEORIA-SNC.pdf

14 páginas

examenes

-

preguntas radio por bloques

He publicado nuevos examenes de 2º Radiologia General: preguntas radio por bloques

preguntas-de-abdomen.pdf
preguntas-principio.pdf
preguntas-torax.pdf
preguntas-locomotor.pdf
preguntas-neuro.pdf

He publicado nuevos apuntes de 2º Radiologia General: RADIO-TEORIA-OSEA.pdf

7 páginas

apuntes

-

2º Parcial radio

He publicado nuevos apuntes de 2º Radiologia General: 2º Parcial radio

TEMA-16.pdf
TEMA-22-SNC-II.pdf
TEMA-15.pdf
TEMA-23-NEURO.pdf
TEMA-17-TORAX.pdf
TEMA-20.pdf

apuntes

-

1º Parcial radio

He publicado nuevos apuntes de 2º Radiologia General: 1º Parcial radio

TEMA-1.pdf
TEMA-8.pdf
TEMA-3-ULTRASONIDOS.pdf
TEMA-2-RADIO.pdf
TEMA-4-RADIO.pdf
TEMA-6-ABDOMEN-1.pdf

He publicado nuevos apuntes de 2º Radiologia General: SEGUNDO-PARCIAL-RADIOLOGIA-2021.pdf

19 páginas

examenes

-

Radiología exámenes resueltos

He publicado nuevos examenes de 2º Radiologia General: Radiología exámenes resueltos

Examen-de-Radiologia-extraordinaria-2019-2020.pdf
Examen-Radiologia-General-en-Medicina-abril-2012-2013.pdf
Examen-ordinario-de-Radiologia-2019-2020.pdf
Examen-Radiologia-en-Medicina-marzo-2015-2016.pdf
1er-examen-parcial-de-Radiologia-General-2020-2021.pdf
Examen-ordinario-de-Radiologia-General-2012-2013.pdf

apuntes

-

Prácticas de Radiología

He publicado nuevos apuntes de 2º Radiologia General: Prácticas de Radiología

Practica-SNC-I.pdf
Practica-musculoesqueletico.pdf
practicas-de-columna-vertebral.pdf
practicas-de-Rx-simple-craneo-ycara.pdf
Practicas-SNC-I-ACVA-Hematomas.pdf
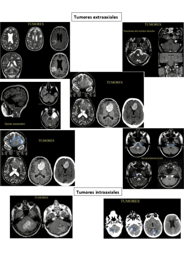
Practicas-SNC-II-Tumores-Infeccion.pdf
Anónimo

@Anónimo

He publicado nuevos apuntes de 2º Radiologia General: RESUMEN-RAYOS.pdf

5 páginas
Anónimo

@Anónimo

He publicado nuevos practicas de 2º Radiologia General: PRACTICA-SNC-HEMATOMS.pdf

35 páginas

He publicado nuevos practicas de 2º Radiologia General: PRACTICA-RAYO-APARATO-LOCOMOTOR-1.pdf

42 páginas
Anónimo

@Anónimo

He publicado nuevos practicas de 2º Radiologia General: PRACTICA-RAYO-APARATO-LOCOMOTOR-.pdf

42 páginas

apuntes

-

Apuntes y prácticas

He publicado nuevos apuntes de 2º Radiologia General: Apuntes y prácticas

ANAtomia-SNC-practicas.pdf
SNC-Hematomas-ACV.pdf
radiobiologia.pdf
tumores-espinales.pdf
practicas-snc.pdf
Practicas-Aparato-Locomotor.pdf

apuntes

-

Apuntes RADIOLOGÍA TODO

He publicado nuevos apuntes de 2º Radiologia General: Apuntes RADIOLOGÍA TODO

Radio-T13-18.pdf
Radio-T20-final.pdf
Radio-T1-6.pdf
Radio-T7-12.pdf

He publicado nuevos apuntes de 2º Radiologia General: primer-parcial-2020.pdf

24 páginas
Anónimo

@Anónimo

He publicado nuevos apuntes de 2º Radiologia General: 2o-Parcial-Radiologia.pdf

9 páginas

apuntes

-

TEMARIO RADIOLOGÍA

Teneis todos los temas del primer parcial (1-16). Del segundo parcial teneis 17-18-19 (os faltarian 20-24). Mi recomendación es que os estudies las radiografias de memoria porque son las que os entran en el examen.

Tema-1--Introduccion-.pdf
Tema-2-y-4.pdf
Tema-5-IRM.pdf
Tema-3-Ultrasonidos.pdf
Tema-8-Torax-2.pdf
Tema-17-Aparato-locomotor.pdf

practicas

-

Prácticas tórax y abdomen

He publicado nuevos practicas de 2º Radiologia General: Prácticas tórax y abdomen

Practica-1-abdomen.pdf
Practica-abdomen-2.pdf
Practica-1-torax.pdf
Practica-2-torax.pdf

apuntes

-

2º Parcial completo

He publicado nuevos apuntes de 2º Radiologia General: 2º Parcial completo

Tema-18.pdf
Tema-19.pdf
Tema-24.pdf
Tema-17.pdf
Tema-20.pdf
Tema-22.pdf

apuntes

-

1er parcial completo

He publicado nuevos apuntes de 2º Radiologia General: 1er parcial completo

Tema-8.pdf
Tema-9.pdf
Tema-1.pdf
Tema-10.pdf
Tema-4.pdf
Tema-7.pdf

apuntes

-

PRÁCTICAS RADIOLOGÍA

He publicado nuevos apuntes de 2º Radiologia General: PRÁCTICAS RADIOLOGÍA

PRACTICA-RADIO-CRANEO.pdf
PRACTICA-COLUMNA-VERTEBRAL.pdf
PRACTICA-LOCOMOTOR.pdf
PRACTICAS-IMAGEN-SNC.pdf

He publicado nuevos apuntes de 2º Radiologia General: PRACTICAS-RADIOLOGIA-GENERAL.pdf

75 páginas

apuntes

-

apuntes radio

He publicado nuevos apuntes de 2º Radiologia General: apuntes radio

tema-1-radio.pdf
tema-4-radio.pdf
tema-3-radio.pdf
Tema-7-radio.pdf
Practica-1-torax.pdf
tema-2-radio.pdf
Anónimo

@Anónimo

He publicado nuevos practicas de 2º Radiologia General: PRACTICA-RAYOS-VERTEBRAS-.pdf

16 páginas
Anónimo

@Anónimo

He publicado nuevos apuntes de 2º Radiologia General: PRACTICA-RAYOS-SNC-2.pdf

17 páginas
Anónimo

@Anónimo

He publicado nuevos apuntes de 2º Radiologia General: PRACTICA-RAYOS-RX-SIMPLE-CRANEAL-Y-FACIAL-1.pdf

23 páginas
Anónimo

@Anónimo

He publicado nuevos apuntes de 2º Radiologia General: PRACTICA-RAYOS-SNC-1-.pdf

17 páginas

apuntes

-

Fotos prácticas segundo parcial

He publicado nuevos apuntes de 2º Radiologia General: Fotos prácticas segundo parcial

PracticaCraneo-y-Cara.pdf
practica-no-finalizada-SNC-CABEZA.pdf
Practica-musculoesqueletica.pdf
Practicas-SNC-II-Tumores-Infeccion.pdf