Técnicas de Tomografía Computarizada y Ecografía

chevron_left
chevron_right
Todo
Apuntes
Ejercicios
Exámenes
Otros
Prácticas
Trabajos
chevron_left
chevron_right

La tomografía computarizada (TC) es una técnica de diagnóstico por imagen que utiliza rayos X y procesamiento informático para obtener cortes del interior del cuerpo. Permite diagnosticar múltiples patologías con gran precisión. El equipo incluye gantry,

6 páginas

He publicado nuevos apuntes de Técnicas de Tomografía Computarizada y Ecografía: RADIOLOGIA-TORACICA-Y-CARDIACA.-IMAGEN-CARDIOVASCULAR-AVANZADA.pdf

160 páginas

Artefactos.

powerpoint

El ecógrafo, modos de ecografía, nomenclatura, etc.

powerpoint

Fundamentos físicos de los ultrasonidos.

powerpoint

Unidades Hounsfield, ventanas, parámetros de calidad de la imagen, artefactos y reconstrucciones.

31 páginas

Protocolos de TAC vasculares.

22 páginas

Protocolos de body.

30 páginas

Técnicas y estudios de TAC, preparación del equipo, parámetros de estudio, protocolos de TAC.

31 páginas

Medios de contraste, efectos adversos, administración de medios de contraste y fases de un estudio con contraste.

20 páginas

Riesgos del TC, efectos de las radiaciones sobre el individuo, pautas de preparación para los estudios de TC, documentación necesaria, tipos de pacientes, etc.

13 páginas

Introducción, generaciones del TC, componentes del equipo, material de una sala de TC, etc.

14 páginas

Apuntes a modo resumen de las cosas más importantes de la ecografía.

7 páginas
Anónimo

@Anónimo

apuntes

-

TC y Ecografía

He publicado nuevos apuntes de Técnicas de Tomografía Computarizada y Ecografía: TC y Ecografía

T3-TOMOGRAFIA-COMPUTARIZADA.pdf
T4-Medios-de-contraste-y-tecnicas-de-inyeccion.pdf
Tc-protocolos.pdf

apuntes

-

TC. Protocolos

He publicado nuevos apuntes de Técnicas de Tomografía Computarizada y Ecografía: TC. Protocolos

P1.-Protocolos-en-TC-Craneal.pdf
P2.Protocolos-en-TC-de-Abdomen.pdf
P3.-Protocolos-en-TC-Musculoesqueletica.pdf
P4.-Protocolos-en-TC-Toracica-y-Cardiaca.pdf
P5.-Protocolos-AngioTC.pdf

He publicado nuevos apuntes de Técnicas de Tomografía Computarizada y Ecografía: Tac-y-ecografia-tema-posicionamiento.pdf

5 páginas

ECOGRAFÍA TEMA 6: Realización de la exploración ecográfica.

6 páginas

He publicado nuevos apuntes de Técnicas de Tomografía Computarizada y Ecografía: Tema 6: Técnicas de Ecografía (realizar exploración).pdf

3 páginas

Ecografía. TEMA 5: Uso clínico de los ultrasonidos

8 páginas

He publicado nuevos apuntes de Técnicas de Tomografía Computarizada y Ecografía: UT5-ECOGRAFIA.pdf

6 páginas

He publicado nuevos apuntes de Técnicas de Tomografía Computarizada y Ecografía: Tema 5: Técnicas de Ecografía (uso de ultrasonidos).pdf.pdf

5 páginas

apuntes

-

TC y eco

He publicado nuevos apuntes de Técnicas de Tomografía Computarizada y Ecografía: TC y eco

TEMA-3-TC.pdf
TEMA-1-TC-Y-ECO.pdf
TEMA-2-TC.pdf
segundo-trimestre-eco-2.pdf
TEMA-4-TC.pdf
Anónimo

@Anónimo

apuntes

-

Apuntes TAC/ECO

He publicado nuevos apuntes de Técnicas de Tomografía Computarizada y Ecografía: Apuntes TAC/ECO

Apuntes-TC.-Tema-0.pdf
Apuntes-TC.-Tema-1.pdf
Apuntes-TC.-Tema-2.pdf
Apuntes-TC.-Tema-3.pdf
Apuntes-TC.-Tema-4.pdf
Tema-5-TC.pptx.pdf

He publicado nuevos apuntes de Técnicas de Tomografía Computarizada y Ecografía: proyecto-educativo.pdf

12 páginas

He publicado nuevos apuntes de Técnicas de Tomografía Computarizada y Ecografía: Rastreo-coroporal-con-201Tl.pdf

11 páginas

He publicado nuevos apuntes de Técnicas de Tomografía Computarizada y Ecografía: Protocolos-TC.pdf

9 páginas

He publicado nuevos apuntes de Técnicas de Tomografía Computarizada y Ecografía: Presentacion-de-Proyecto-Psicologia-Infantil-Retro-Verde.pdf

9 páginas

He publicado nuevos trabajos de Técnicas de Tomografía Computarizada y Ecografía: Infografia-Los-generos-literarios-cajas-de-texto-rosa.pdf

2 páginas

He publicado nuevos trabajos de Técnicas de Tomografía Computarizada y Ecografía: Estudios-gammagrafico-gastrico-para-la-deteccion-de-mucosa-gastrica-ectopica.pdf

10 páginas

apuntes

-

Trabajos

He publicado nuevos apuntes de Técnicas de Tomografía Computarizada y Ecografía: Trabajos

trabajo-Tac-Andalucia-2.pdf
TAC-Andalucia-6d2538b3bd5e2408aedc3a26201dd145.pdf
TAC.pdf

apuntes

-

CURSO ENTERO TC Y ECOGRAFÍA

Os dejo todos los temas, del 1 al 15, hechos por mi. Son de los apuntes de MEDAC.

CURSO-ENTERO-TC-Y-ECOGRAFIA.pdf

apuntes

-

TC.Escaner

He publicado nuevos apuntes de Técnicas de Tomografía Computarizada y Ecografía: TC.Escaner

1.-Principios-tecnicos-y-fisicos-de-la-tomografia-computarizada.pdf
2.-Parametros-y-protocolos..pdf
3.-Caracteristicas-de-imagen-artefactos-y-calidad..pdf
4.-Dosis-de-radiaciones.-Medidas-de-control-de-dosis..pdf

He publicado nuevos apuntes de Técnicas de Tomografía Computarizada y Ecografía: Tema-15.-Protocolo-de-las-exploraciones-ecograficas.-Verificacion-de-las-imagene.pdf

6 páginas

He publicado nuevos apuntes de Técnicas de Tomografía Computarizada y Ecografía: Tema-13.-Ecopotenciadores-artefactos-y-nuevas-perspectivas-en-ecografia.pdf

6 páginas

He publicado nuevos apuntes de Técnicas de Tomografía Computarizada y Ecografía: Tema-14.-Aplicacion-de-las-tecnicas-de-la-exploracion-ecografica.pdf

5 páginas

He publicado nuevos apuntes de Técnicas de Tomografía Computarizada y Ecografía: Tema-12.-Ecogenicidad.-Tecnicas-para-la-obtencion-de-la-imagen-ecografica.pdf

5 páginas

He publicado nuevos apuntes de Técnicas de Tomografía Computarizada y Ecografía: Tema-11.-IDENTIFICACION-DEL-USO-CLINICO-DE-LOS-ULTRASONIDOS.pdf

5 páginas

He publicado nuevos apuntes de Técnicas de Tomografía Computarizada y Ecografía: UNIDAD-4-TECNICAS-DE-ADMINISTRACION-DE-CONTRASTES-EN-TOMOGRAFIA-COMPUTARIZADA.pdf

14 páginas

He publicado nuevos apuntes de Técnicas de Tomografía Computarizada y Ecografía: UNIDAD-2-PREPARACION-DE-LA-EXPLORACION-TOMOGRAFICA.pdf

10 páginas

He publicado nuevos apuntes de Técnicas de Tomografía Computarizada y Ecografía: UNIDAD-1-INTRODUCCION-A-LA-TECNICA-DE-TOMOGRAFIA-COMPUTERIZADA.pdf

9 páginas

He publicado nuevos apuntes de Técnicas de Tomografía Computarizada y Ecografía: Tema-10.-Artefactos-y-postprocesado-de-la-imagen-en-TC.pdf

5 páginas

He publicado nuevos apuntes de Técnicas de Tomografía Computarizada y Ecografía: Tema-9.-Obtencion-de-la-imagen-en-las-exploraciones-tomograficas.pdf

5 páginas

He publicado nuevos apuntes de Técnicas de Tomografía Computarizada y Ecografía: UT3-TC.pdf

5 páginas

Protocolos sobre: cráneo, senos paranasales, órbitas, peñascos, cuello, tórax, abdomen, uro-tac, etc

3 páginas

PAUTAS PARA LA ADMINISTRACIÓN DE UN CONTRASTE POR VÍA RECTAL E INDICACIONES PARA EL TÉCNICO

5 páginas

Actividades UNIDAD 1, redactadas y tipo test sobre: componentes del tac, riesgos laborales, administración contraste

2 páginas

apuntes

-

TC Y ECOGRAFÍA

He publicado nuevos apuntes de Técnicas de Tomografía Computarizada y Ecografía: TC Y ECOGRAFÍA

TC-TEMA-1.-PREPARACION-DE-LA-EXPLORACION.pdf
PROTOCOLO-TORAX-SOSPECHA-TEP--HEMOPTISIS.pdf
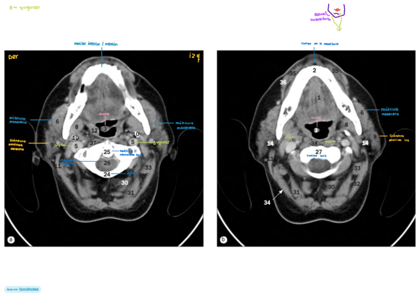
IMAGENES-AXIALES-DE-CUELLO-con-anatomia.pdf
IMAGENES-AXIALES-DE-TORAX-con-anatomia.pdf
IMAGENES-TORAX-CORONAL-con-antomia.pdf

TC TEMA 3: Obtención de la imagen en las exploraciones tomográficas.

8 páginas

Tema 1. Preparación de la exploración de TC Tema 2. Medios de contraste en TC Tema 3. Protocolos de aplicación en TC

33 páginas

He publicado nuevos apuntes de Técnicas de Tomografía Computarizada y Ecografía: Trimestral-TC-1-8-1.pdf

14 páginas

He publicado nuevos apuntes de Técnicas de Tomografía Computarizada y Ecografía: Tema 3: Técnicas de Tomografía Computarizada (obtención de imágenes).pdf

4 páginas

He publicado nuevos apuntes de Técnicas de Tomografía Computarizada y Ecografía: tema-3-TAC.pdf

9 páginas

He publicado nuevos apuntes de Técnicas de Tomografía Computarizada y Ecografía: tema-2-TAC.pdf

12 páginas

He publicado nuevos apuntes de Técnicas de Tomografía Computarizada y Ecografía: Apuntes-TC-tema-1.pdf

12 páginas

He publicado nuevos apuntes de Técnicas de Tomografía Computarizada y Ecografía: TEMA-4.-PROTOCOLOS.pdf

85 páginas

He publicado nuevos apuntes de Técnicas de Tomografía Computarizada y Ecografía: TEMA-3-LA-EXPLORACION-ECOGRAFICA.pdf

110 páginas

He publicado nuevos apuntes de Técnicas de Tomografía Computarizada y Ecografía: MP-MODOS-DE-TRABAJO-T2.pdf

1 página

He publicado nuevos apuntes de Técnicas de Tomografía Computarizada y Ecografía: MP-Artefactos-T2.pdf

1 página

He publicado nuevos apuntes de Técnicas de Tomografía Computarizada y Ecografía: TEMA-2.3-ECOGRAFIA-CON-CONTRASTE..pdf

59 páginas

He publicado nuevos apuntes de Técnicas de Tomografía Computarizada y Ecografía: TEMA-2.-2.MODOS-DE-TRABAJO-EN-ECO-1.pdf

75 páginas