@annablanco_

Estudios: Grado en Odontología (URJC) ...Mostrar más

Bio: 2 Bachillerato Biosanitario

11 Publicaciones

226 Interacciones

2 Seguidores

2 Siguiendo

Lista de publicaciones de annablanco_

He publicado nuevos apuntes de 1º Citología e Histología Humana General y Bucal: CITO-PRACTICAS-CARTILAGO-HUESO-Y-MUSCULO.pdf

7 páginas

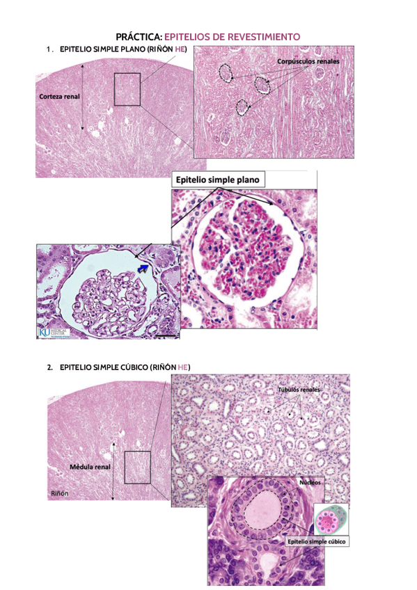
tiene fotos que hice en las prácticas también

11 páginas

He publicado nuevos apuntes de 1º Fisiología Humana: RESUMENES-PRACTICAS-FISIOLOGIA.pdf

16 páginas

He publicado nuevos apuntes de 1º Anatomía Humana: CANINOS-Y-MOLARES-TEMPORALES.pdf

14 páginas

He publicado nuevos apuntes de 1º Anatomía Humana: INCISIVOS-TEMPORALES.pdf

8 páginas

He publicado nuevos apuntes de 1º Anatomía Humana: TEMA-MOLARES.pdf

13 páginas

He publicado nuevos apuntes de 1º Anatomía Humana: TEMA-CANINOS-Y-PREMOLARES.pdf

10 páginas

He publicado nuevos apuntes de 1º Anatomía Humana: TEMA-INCISIVOS.pdf

7 páginas

He publicado nuevos apuntes de 1º Biología, Geología y Ciencias Ambientales: BIOLOGIA-BLOQUE-II-LA-CELULA--METABOLISMO.docx

word

He publicado nuevos apuntes de 1º Biología, Geología y Ciencias Ambientales: BIOLOGIA-BLOQUE-I-BIOMOLECULAS.docx

word

He publicado nuevos apuntes de 2º Historia de España: CUESTIONES-CORTAS-BLOQUE-1.pdf

2 páginas