@anonim12_

6.36 € • 3k EXP

24 Publicaciones

785 Interacciones

1 Seguidores

2 Siguiendo

Lista de publicaciones de anonim12_

He publicado nuevos examenes de 4º Aspectos Éticos y Legales de la Biotecnología: Preguntas-preparacion-examen-Legal.pdf

14 páginas

ejercicios

-

Ejercicios resueltos

He publicado nuevos ejercicios de 4º Organización y Gestión de Proyectos: Ejercicios resueltos

Problemas-Economia.pdf
Pert-Costes.pdf

examenes

-

preguntas_teoria

He publicado nuevos examenes de 4º Organización y Gestión de Proyectos: preguntas_teoria

preguntasteoria.pdf

examenes

-

Preguntas_examen_inmuno

He publicado nuevos examenes de 4º Inmunología: Preguntas_examen_inmuno

Preguntasexameninmuno.pdf

examenes

-

Examen final

He publicado nuevos examenes de 4º Biotecnología Animal: Examen final

EXAMEN-BIOTEC-ANIMAL.pdf

apuntes

-

Temario - problemas

He publicado nuevos apuntes de 1º Apuntes Variados: Temario - problemas

resumen-temas.pdf
unit-2.pdf
unit-7.pdf
unit-6.pdf
unit-9.pdf
unit-10.pdf

apuntes

-

TEMA 13 HORMONAS

He publicado nuevos apuntes de 2º Fisiología Vegetal: TEMA 13 HORMONAS

TEMA-13-HORMONAS.pdf

apuntes

-

Resumen grupos funcionales

He publicado nuevos apuntes de 1º Química Orgánica: Resumen grupos funcionales

QUIMICA-ORGANICA.pdf

apuntes

-

CONCEPTOS QO

He publicado nuevos apuntes de 1º Química Orgánica: CONCEPTOS QO

CONCEPTOS-QO.pdf

ejercicios

-

PROBLEMAS CINEMÁTICA

He publicado nuevos ejercicios de 1º Bioquímica: Biomoléculas: PROBLEMAS CINEMÁTICA

PROBLEMAS-CINEMATICA.pdf

examenes

-

PREGUNTAS EXAMEN FINAL

He publicado nuevos examenes de 1º Bioquímica: Biomoléculas: PREGUNTAS EXAMEN FINAL

BANCO-PREGUNTAS-EXAMEN.pdf

He publicado nuevos apuntes de 1º Bioquímica: Biomoléculas: CONCEPTOS.pdf

5 páginas

apuntes

-

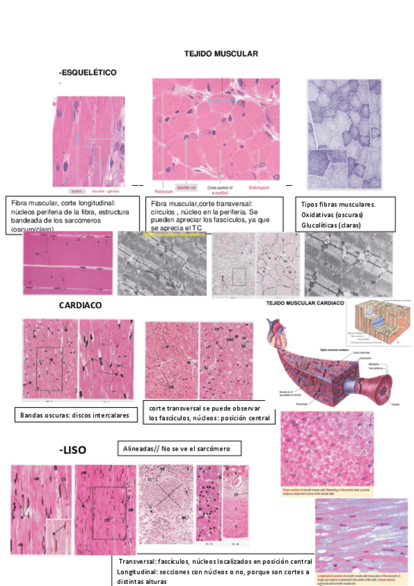
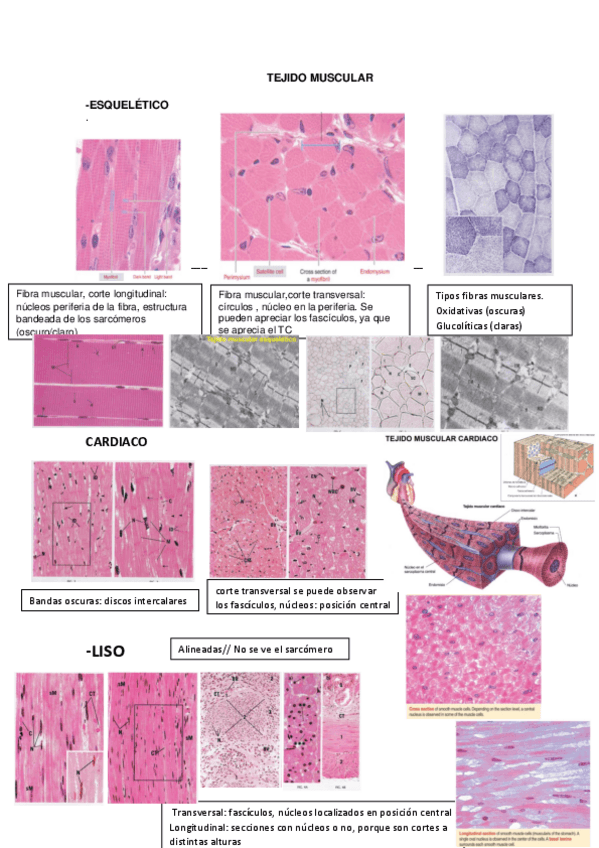
Identificación tejidos (Bio animal)

He publicado nuevos apuntes de 1º Biología Animal y Vegetal: Identificación tejidos (Bio animal)

Identificacion-tejidos-2.pdf
Identificacion-tejidos-1.pdf