@Antiiiia

14 Publicaciones

639 Interacciones

2 Seguidores

4 Siguiendo

Lista de publicaciones de Antiiiia

He publicado nuevos apuntes de 2º Fisiología Vegetal: FISIOLOGIA-VEGETAL-APUNTES COMPLETOS.pdf

142 páginas

apuntes

-

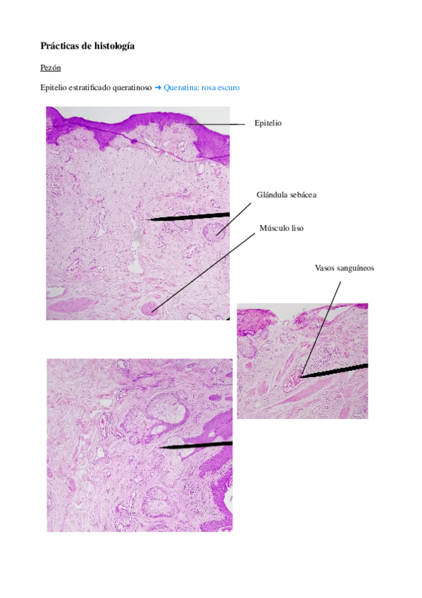
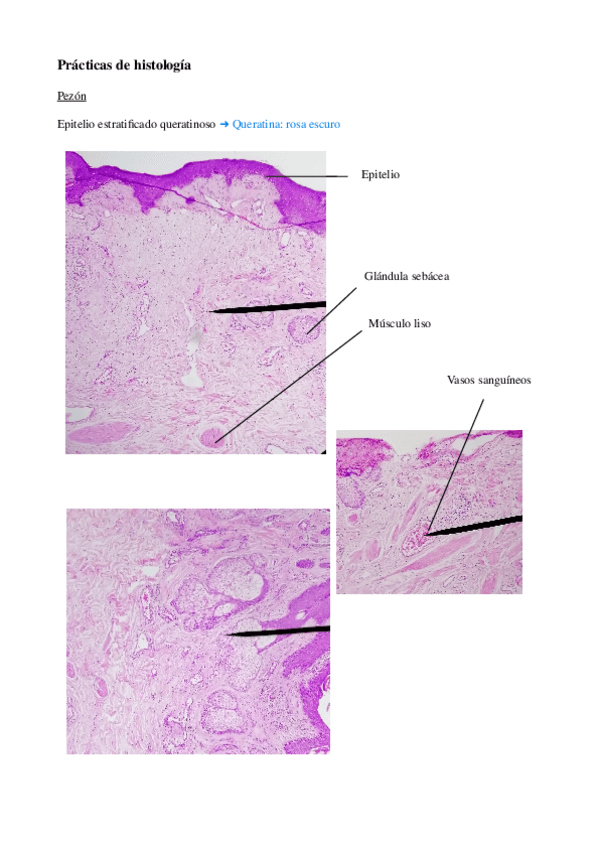
Prácticas

He publicado nuevos apuntes de 1º Anatomia, Histologia y Citologia: Prácticas

Practicas-de-citologia.odt
Practicas-de-histo.odt

He publicado nuevos apuntes de 2º Fisiología Humana II: Fisiologia-humana-I-día-a-día (hasta donde aguante).pdf

15 páginas

apuntes

-

Boletines resueltos 2021-2022

He publicado nuevos apuntes de 1º Técnicas Analíticas: Boletines resueltos 2021-2022

B1-tecnicas-escaneado.pdf
B2-tecnicas-analiticas-resuelto.pdf
B3-tecnicas-analiticas-resuelto.pdf
B4-tecnicas-analiticas-resuelto.pdf
B7-tecnicas-analiticas-resuelto.pdf
B6-tecnicas-analiticas-resuelto.pdf

apuntes

-

Repaso cálculos básicos

He publicado nuevos apuntes de Química: Repaso cálculos básicos

157616730275521812207633501912.jpg
15761672639462647740135965240950.jpg
15761672871041474503450007406271.jpg