@guayaba16

Estudios: Grado en Veterinaria (ULPGC) ...Mostrar más

11 Publicaciones

1.34k Interacciones

0 Seguidores

1 Siguiendo

Lista de publicaciones de guayaba16

Exámen resuelto

7 páginas

He publicado nuevos practicas de 2º Genética cuantitativa, genética molecular y mejora: Practicas-1-7-RESUELTAS-genetica.pdf

13 páginas

He publicado nuevos examenes de 2º Nutrición Animal: Examen1-y-2-Mayo2024-Nutricion.pdf

4 páginas

He publicado nuevos examenes de 2º Parasitología: Examen-Mayo2024-Parasitologia.pdf

3 páginas

He publicado nuevos apuntes de 2º Fisiología Animal: Quinielas-Fisio-por-temas.pdf

4 páginas

He publicado nuevos practicas de 2º Agronomia: Examen-AGRO-2.pdf

7 páginas

He publicado nuevos practicas de 1º Biología y Bioquímica: PRACTICO-BIOLOGIA-2023.pdf

5 páginas

verdadero/falso

1 página

Apuntes de todo lo que entra en el examen de enero de biología

30 páginas

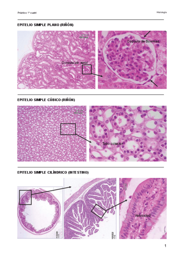
He publicado nuevos apuntes de 1º Citología e Histología: Examen-imagenes-histologia-1o-cuatri.pdf

14 páginas