@Inesrf

64 Publicaciones

1.94k Interacciones

2 Seguidores

2 Siguiendo

Lista de publicaciones de Inesrf

He publicado nuevos apuntes de 4º Integración en équidos: QUINIELAS-RESUELTAS-2o-CUATRI.pdf

21 páginas

He publicado nuevos apuntes de 4º Integración en rumiantes: PIEL-Y-MUSCULAR.pdf

2 páginas

He publicado nuevos apuntes de 4º Integración en rumiantes: INFECCIOSAS-URINARIO-pdf.pdf

2 páginas

He publicado nuevos apuntes de 4º Integración en rumiantes: INFECCIOSAS-NERVIOSO.pdf

2 páginas

He publicado nuevos apuntes de 4º Integración en rumiantes: PARASITOSIS-HEMATICAS.pdf

1 página

He publicado nuevos apuntes de 4º Integración en rumiantes: TABLAS-RESPIRATORIO.pdf

3 páginas

He publicado nuevos apuntes de 4º Integración en rumiantes: PARASITOSIS-DIGESTIVAS.pdf

5 páginas

He publicado nuevos apuntes de 4º Integración en rumiantes: TABLAS-ENF.-SISTEMICAS.pdf

4 páginas

apuntes

-

RESÚMENES REPRODUCCIÓN

He publicado nuevos apuntes de 3º Reproducción y Obstetricia: RESÚMENES REPRODUCCIÓN

BLOQUE-I.pdf
BLOQUE-II.pdf

He publicado nuevos apuntes de 3º Patología general y propedeutica I: SISTEMA-LEUCOCITARIO.pdf

4 páginas

He publicado nuevos apuntes de 3º Patología general y propedeutica I: SISTEMA-ERITROCITARIO.pdf

9 páginas

He publicado nuevos apuntes de 3º Farmacología y Farmacoterapia: TABLAS-ANESTESIA.pdf

6 páginas

apuntes

-

TABLAS 1º CUATRI farma

Resúmenes y tablas de antibióticos, antifúngicos y antiparasitarias

ANTIBIOTICOS.pdf
DEFINICIONES.pdf
ANTIPARASITARIOS.pdf
ANTIFUNGICOS.pdf

apuntes

-

ÉQUIDOS dx imagen

He publicado nuevos apuntes de 3º Diagnóstico Por Imagen: ÉQUIDOS dx imagen

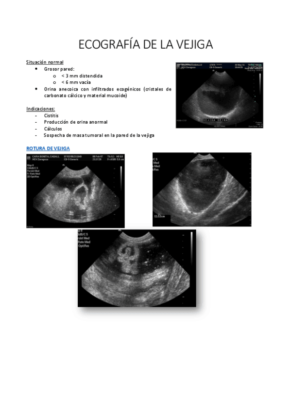
ECOGRAFIA-DE-LA-VEJIGA.pdf
ENDOSCOPIA-VIAS-RESPIRATORIAS-EQUIDOS.pdf
ECOGRAFIA-TORAX.pdf
ECOGRAFIA-EXTREMIDADES-EQUIDOS.pdf
RADIOLOGIA-EXTREMIDADES-EQUIDOS.pdf
RADIOLOGIA-VIAS-RESP.-EQUIDOS.pdf

He publicado nuevos apuntes de 3º Patología quirúrgica general, cirugía y anestesiología: TABLAS-ANESTESIA.pdf

3 páginas

He publicado nuevos apuntes de 3º Anatomía Patológica General: INFLAMACION.pdf

5 páginas

He publicado nuevos apuntes de 3º Anatomía Patológica General: LESIONES-DIGESTIVO-Y-SNC.pdf

12 páginas

He publicado nuevos apuntes de 3º Anatomía Patológica General: DEPOSITOS-PATOLOGICOS.pdf

22 páginas

He publicado nuevos apuntes de 3º Anatomía Patológica General: TRASTORNOS-CIRCULATORIOS-Y-LINFATICOS.pdf

13 páginas

apuntes

-

TABLAS 1º CUATRI équidos

He publicado nuevos apuntes de 4º Integración en équidos: TABLAS 1º CUATRI équidos

NEURO-PARASITARIO.pdf
NEURO-INFECCIOSA.pdf
DERMA-INFECCIOSAS.pdf
DERMA-NO-INFECCIOSA.pdf
EDO-INFECCIOSAS.pdf
EDO-PARASITARIAS.pdf