@inwonder

35 Publicaciones

3.94k Interacciones

1 Seguidores

0 Siguiendo

Lista de publicaciones de inwonder

examenes

-

EXAMEN MFyC 2025 sin respuestas

He publicado nuevos examenes de 5º Obstetricia, Ginecología y Medicina de Familia: EXAMEN MFyC 2025 sin respuestas

EXAMEN-MFyC-2025-sin-respuestas.pdf
EXAMEN-MFyC-2025-con-respuestas.pdf

He publicado nuevos examenes de 3º Procedimientos diagnósticos y terapéuticos quirúrgicos: EXAMEN-CIRUGIA-MAYO-2024.pdf

8 páginas

He publicado nuevos examenes de 2º Fisiología III: Examen-fisio-III-2022-2023.pdf

4 páginas

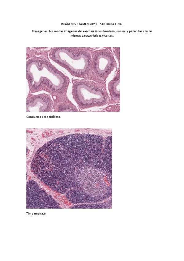
He publicado nuevos examenes de 2º HISTOLOGIA II (HISTOLOGIA ESPECIAL): EXAMEN-histologia-imagenes-2022-2023.pdf

4 páginas

examenes

-

Exámenes neuro 1 parcial

He publicado nuevos examenes de 2º Neuroanatomía: Exámenes neuro 1 parcial

EXAMEN-Medula-1-parcial.pdf
EXAMEN-Troncoencefalo-1-parcial.pdf
EXAMEN-Cerebelo-1-parcial.pdf

examenes

-

Kahoots neuro repaso 1 parcial

He publicado nuevos examenes de 2º Neuroanatomía: Kahoots neuro repaso 1 parcial

KAHOOT-vista.pdf
KAHOOT-OIDO.pdf

examenes

-

BATERÍA DE PREGUNTAS CON RESPUESTA histo 1

He publicado nuevos examenes de 1º HISTOLOGIA I (HISTOLOGIA GENERAL): BATERÍA DE PREGUNTAS CON RESPUESTA histo 1

BATERIA-DE-PREGUNTAS-CON-RESPUESTA-histo-1.pdf
BATERIA-DE-PREGUNTAS-histo-1.pdf

He publicado nuevos apuntes de 1º Fisiología I: Trabajo-complemento-.pdf

16 páginas

apuntes

-

DIETA FISIOLOGÍA I

He publicado nuevos apuntes de 1º Fisiología I: DIETA FISIOLOGÍA I

DIETA-FISIOLOGIA-I.pdf

He publicado nuevos apuntes de 1º Anatomía General y Embriología Humana: anatomia-pdf.pdf

71 páginas

He publicado nuevos apuntes de 1º HISTOLOGIA I (HISTOLOGIA GENERAL): Examenhisto2parcial.pdf

4 páginas

He publicado nuevos apuntes de 1º ANATOMIA HUMANA I (APARATO LOCOMOTOR): Examenanato2parcial-.pdf

4 páginas

He publicado nuevos apuntes de 1º Bioquímica Humana: TXA2-trabajo-lipidos.pdf

4 páginas

He publicado nuevos apuntes de 1º Bioquímica Humana: EXAMEN-PARCIAL-DE-BIOQUIMICA-HUMANA-Metabolismo.pdf

12 páginas

He publicado nuevos apuntes de 1º Biología: Atlas-bio.pdf

24 páginas

He publicado nuevos apuntes de Historia de España: EJERCICIOS-PRACTICOS-COMENTARIOS-DE-TEXTO-1.pdf

12 páginas

apuntes

-

COMENTARIOS DE TEXTO

He publicado nuevos apuntes de Historia de España: COMENTARIOS DE TEXTO

DISCURSO-DE-MANUEL-AZANA.zip
COMENTARIO-FRANCO-Y-EINSENHOWER.zip
6.zip

apuntes

-

Geomorfología y magmatismo

He publicado nuevos apuntes de Geología: Geomorfología y magmatismo

Miniatura no disponible
GEOMORFOLOGIA.zip
GEO-1.zip

He publicado nuevos apuntes de Matemáticas II: FORMULAS-DE-PROBABILIDAD.pdf

1 página

He publicado nuevos apuntes de Historia de España: 0-TEMA-3-El-sexenio-democratico.pdf

4 páginas