@jares

29 Publicaciones

1.26k Interacciones

5 Seguidores

1 Siguiendo

Lista de publicaciones de jares

He publicado nuevos apuntes de 2º Bases de la Medicina Interna I: EXPLICACION-VENTILACION-PERFUSION-BASES.pdf

1 página

He publicado nuevos apuntes de 3º Farmacología Básica: ESQUEMA-ANTIARTRITICOS-2425.pdf

1 página

He publicado nuevos examenes de 2º Bases de la Medicina Interna I: EXAMEN-SIN-RESPUESTAS-BASES-ORDINARIA-2023.pdf

25 páginas

He publicado nuevos apuntes de 2º Bases de la Medicina Interna I: EDEMAS-BASES-I-2324.pdf

4 páginas

He publicado nuevos apuntes de 2º Fisiología Médica I: TEMA-1-FISIO-MEDICA-I-IMP.pdf

1 página

He publicado nuevos apuntes de 2º Fisiología Médica I: TEMA-5-FISIO-MEDICA-I-IMP.pdf

3 páginas

He publicado nuevos apuntes de 2º Fisiología Médica I: TEMA-4-FISIO-MEDICA-I-IMP.pdf

1 página

apuntes

-

TEMAS NUEVOS ANATO III 23/24

He publicado nuevos apuntes de 2º Anatomía Humana Iii: TEMAS NUEVOS ANATO III 23/24

TEMA-1-ANATOMIA-HUMANA-III.pdf
TEMA-2-ANATOMIA-HUMANA-III.pdf
TEMA-3-ANATOMIA-HUMANA-III.pdf

apuntes

-

APUNTES ACTUALIZADOS FISIO GENERAL 23/24

He publicado nuevos apuntes de 1º Fisiología General: APUNTES ACTUALIZADOS FISIO GENERAL 23/24

TEMAS-0-1-FISIOLOGIA-GENERAL.pdf
TEMA-2-FISIOLOGIA-GENERAL.pdf
TEMA-3-FISIOLOGIA-GENERAL.pdf
TEMA-4-FISIOLOGIA-GENERAL.pdf

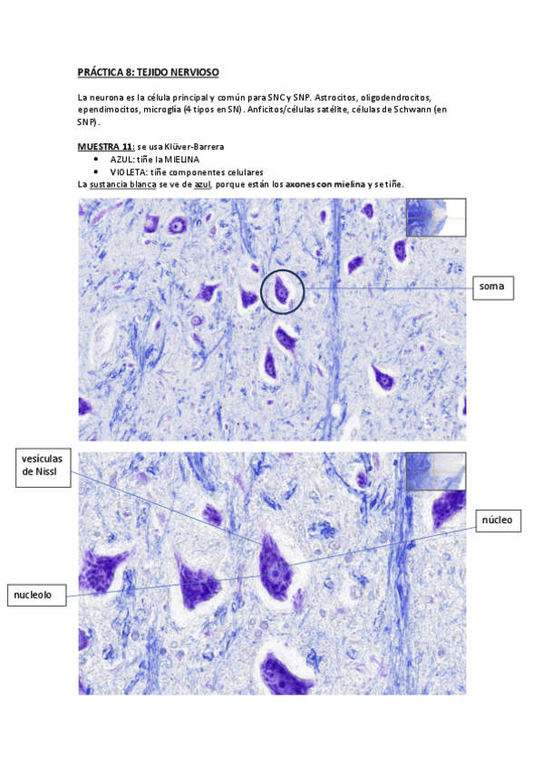
He publicado nuevos apuntes de 1º Histología Médica de las Células Madre y los Tejidos Corporales: PRACTICA-HISTO-TEJIDO-NERVIOSO.pdf

6 páginas

He publicado nuevos apuntes de 1º Histología Médica de las Células Madre y los Tejidos Corporales: PROTEINAS-MEMBRANA-HISTO.pdf

2 páginas

He publicado nuevos apuntes de 1º Bioquímica Médica: FARMACOS-BIOQUIMICA-MEDICA.pdf

1 página

apuntes

-

TEMAS CLAVERO ANATOMÍA HUMANA II 22/23

He publicado nuevos apuntes de 1º Anatomía Humana II: TEMAS CLAVERO ANATOMÍA HUMANA II 22/23

TEMAS-0-1-2-ANATOMIA-HUMANA-II-2223.pdf
TEMA-3-ANATOMIA-HUMANA-II-2223.pdf
TEMA-4-ANATOMIA-HUMANA-II-2223.pdf
TEMA-5-ANATOMIA-HUMANA-II-2223.pdf
TEMA-6-ANATOMIA-HUMANA-II-2223.pdf
TEMA-7-ANATOMIA-HUMANA-II-2223.pdf