@KharmaBed

97 Publicaciones

1.51k Interacciones

23 Seguidores

2 Siguiendo

Lista de publicaciones de KharmaBed

Glosario de términos del tema 1-6 de Mila.

7 páginas

apuntes

-

Temas 8-20

Temas del 8-20 de Bioquímica (El tema 21 son los trabajos de enfermedades metabólicas)

Tema-8.-Las-enzimas.pdf
Tema-9.-La-membrana-celular.pdf
Tema-10.-Senalizacion-celular.pdf
Tema-11.-Introduccion-al-metabolismo.pdf
Tema-12.-Digestion-absorcion-y-transporte-de-azucares..pdf
Tema-13.-Degradacion-de-azucares.-Glucogenolisis..pdf

1º Parte del libro de apuntes de bioquímica con los temas del 1 al 7, con 111 pgs, muy económico para imprimir.

111 páginas

apuntes

-

Temas 1-7 (Primer parcial)

Temas del 1-7 de Bioquímica. Primer parcial

Tema-1.-Introduccion-a-la-bioquimica.pdf
Tema-2.-Los-bioelementos.pdf
Tema-3.-El-agua-como-biomolecula.pdf
Tema-4.-Hidratos-de-carbono.-Glucidos.pdf
Tema-5.-Los-lipidos.pdf
Tema-6.-Las-proteinas.pdf

Aquí se recogen en un único PDF todos los temas de histología y fisiología I. Muy económico para imprimir, con 317 pgs.

317 páginas

apuntes

-

Temas bloque de fisiología

Todos los apuntes de los bloques de fisiología y fisiopatología del nuevo plan de estudios de 2025.

Tema-1.-Introduccion-a-la-fisiologia.pdf
Tema-2.-Organizacion-funcional-de-los-distintos-sistemas-y-aparatos.pdf
Tema-3.-Mecanismos-de-regulacion.pdf
Tema-4.-Funcion-normal-y-patologica.pdf
Tema-5.-Alteraciones-de-la-fisiologia-celular-I.pdf
Tema-6.-Alteraciones-de-la-fisiologia-celular-II.pdf

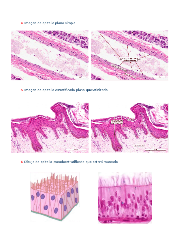
Algunas preguntas de repaso para el examen práctico de histología. Incluye imágenes histológicas vistas en clase, muchas de ellas recogidas de la facultad de medicina de la universidad de Zaragoza.

8 páginas

apuntes

-

Temas bloque de histología

Todos los apuntes de los temas del Bloque 1 de histología con Patri del nuevo plan de estudios de 2025.

Tema-1.-Introduccion-a-la-histologia.pdf
Tema-2.-Tejido-epitelial.pdf
Tema-3.-Tejido-conjuntivo.pdf
Tema-3.1.-Tejido-cartilaginoso-y-tejido-adiposo.pdf
Tema-4.-Tejido-muscular.pdf
Tema-5.-Tejido-oseo.pdf