@Malena_Wii
Estudios: Grado en Óptica y Optometría (UCM)
7 Publicaciones
336 Interacciones
1 Seguidores
0 Siguiendo
Lista de publicaciones de Malena_Wii
He publicado nuevos apuntes de 2º Fisiopatología de las Enfermedades Oculares: test-fisiopatologia.docx
He publicado nuevos practicas de 1º Anatomía Humana: PRACTICA 1 TEJIDO EPITELIAL Y CONJUNTIVO.docx
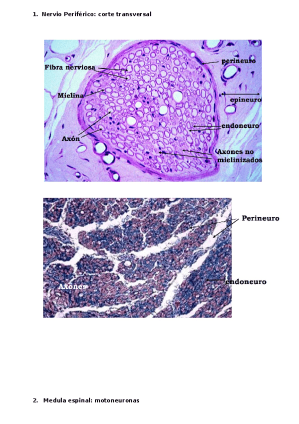
He publicado nuevos practicas de 1º Anatomía Humana: P 2 TEJIDOS MUSCULAR Y NERVIOSO.docx
He publicado nuevos practicas de 1º Anatomía Humana: PRACTICA 6 APARATO DIGESTIVO- urogenital y oido.docx
He publicado nuevos practicas de 1º Anatomía Humana: P 5 APARATO LOCOMOTOR RESPIRATORIO CARDIOCIRCULATORIO Y OLFATO.docx