@MedTOC

149 Publicaciones

3.31k Interacciones

3 Seguidores

0 Siguiendo

Lista de publicaciones de MedTOC

He publicado nuevos examenes de 4º Patología del Aparato Respiratorio: tercer-parcial-respiratorio.pdf

10 páginas

He publicado nuevos examenes de 4º Patología del Aparato Respiratorio: cuarto-parcial-respi.pdf

10 páginas

He publicado nuevos examenes de 4º Patología del Aparato Respiratorio: Segundo-parcial-respiratorio-con-soluciones.pdf

10 páginas

He publicado nuevos apuntes de 4º Oncología y genética médica: MARCADORES-PRIMARIOS-GENETICA.pdf

1 página

He publicado nuevos apuntes de 4º Oncología y genética médica: MUY-IMPORTANTE-GENETICA.pdf

1 página

He publicado nuevos examenes de 4º Oncología y genética médica: EXAMEN-GENETICA-2023.pdf

1 página

He publicado nuevos examenes de 4º Dermatología: EXAMEN-2023-CASOS-CLINICOS-Onofre.pdf

6 páginas

He publicado nuevos examenes de 4º Patología del aparato locomotor: EXAMEN-TRAUMA-2023-2.pdf

2 páginas

He publicado nuevos apuntes de 3º Anatomía Patológica General: listado-muestras-por-organos-.pdf

2 páginas

He publicado nuevos apuntes de 3º Procedimientos diagnósticos y terapéuticos quirúrgicos: Cosas-que-faltan-del-senor-2.pdf

2 páginas

He publicado nuevos apuntes de 3º Patología general y semiología: tema-8-.pdf

7 páginas

He publicado nuevos apuntes de 6º Apuntes Variados: ISQUEMIA-AGUDA-DE-EXTREMIDADES.pdf

12 páginas

He publicado nuevos apuntes de 3º Anatomia Patològica Especial: Copia-de-Seminario-3-APE-1h-.pdf

8 páginas

apuntes

-

Fotos maqueta MÉDULA

He publicado nuevos apuntes de 2º Neuroanatomía: Fotos maqueta MÉDULA

IMG7518.pdf
f1d7251d-84cc-4bff-acec-97071aeaaca3.pdf

apuntes

-

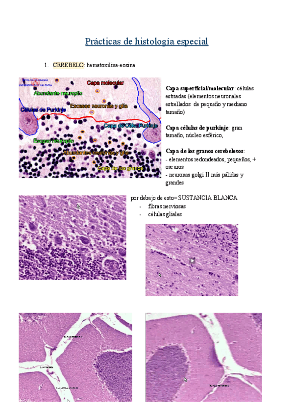
ESQUEMAS láminas microscopio

He publicado nuevos apuntes de 2º Histología Especial: ESQUEMAS láminas microscopio

Practicas-de-histologia-especial-2.pdf
Listado-preparaciones-histologia-especial.pdf