@Melocoton_04

Bio: A veces publico cosillas :)

87 Publicaciones

1.34k Interacciones

5 Seguidores

3 Siguiendo

Lista de publicaciones de Melocoton_04

apuntes

-

TABLAS ETNO

Curso 2024/2025, puede variar alguna especie, los 3 primeros temas del profesor

CABALLOS.pdf
CAPAS-CABALLO.pdf
CAPAS-VACUNO.pdf
CERDOS.pdf
CONEJOS.pdf
GATOS.pdf

Por orden de temas

2 páginas

apuntes

-

TEMAS ETO

Del 16-18 estudiar de los apuntes del profesor

TEMA-1-COMPORTAMIENTO-ANIMAL.pdf
TEMA-2-TIPOS-DE-COMPORTAMIENTO-2.pdf
TEMA-3-LA-DOMESTICACION.pdf
TEMA-4-LA-ONTOGENIA-DE-LA-CONDUCTA.pdf
TEMA-5-PATRONES-Y-SISTEMAS-DE-COMPORTAMIENTO.pdf
TEMA-6-COMPORTAMIENTO-SEXUAL-O-REPRODUCTIVO.pdf

apuntes

-

TEMAS APG

Perdón por la letra

TEMA-2-ADAPTACION-CELULAR.pdf
TEMA-3-LESION-CELULAR.pdf
TEMA-4-LESION-CELULAR-IRREVERSIBLE.pdf
TEMA-5-DEPOSITOS-DE-LIPIDOS-Y-CARBOHIDRATOS.pdf
TEMA-6-DEPOSITOS-PROTEICOS-Y-AMIMOIDOSIS.pdf
TEMA-7-DEPOSITOS-DE-PROTEINAS-Y-CALCIO.pdf

apuntes

-

INMUNOLOGÍA

He publicado nuevos apuntes de 2º Migrobiología II e Inmunología: INMUNOLOGÍA

TEMA-16-INTRODUCCION.pdf
TEMA-17-RESPUESTA-INMUNE-INNATA.pdf
TEMA-18-COMPLEJO-MAYOR-DE-HISTOCOMPATIBILIDAD.pdf
TEMA-19-INMUNOGLOBULINAS-ANTICUERPOS.pdf
TEMA-20-SISTEMA-COMPLEMENTO.pdf
TEMA-21-RECEPTORES-CLONOTIPICOS-DEL-ANTIGENO.pdf

apuntes

-

SEMINARIO + PRÁCTICAS HISTO

He publicado nuevos apuntes de 1º Anatomía Microscopica e Histología: SEMINARIO + PRÁCTICAS HISTO

SEMINARIO-METODOS-Y-FUENTES-DE-ESTUDIO.pdf
PRACTICAS-6-8.pdf
IMAGENES-PRACTICAS-6-8.pdf
IMAGENES-PRACTICA-2.pdf

apuntes

-

IMÁGENES PRÁCTICAS APG

He publicado nuevos apuntes de 2º Anatomía Patológica General: IMÁGENES PRÁCTICAS APG

PRACTICA-4-NEOPLASIAS-MORFOLOGIA-TUMORAL.pdf
PRACTICA-3-TRASTORNOS-CIRCULATORIOS.pdf
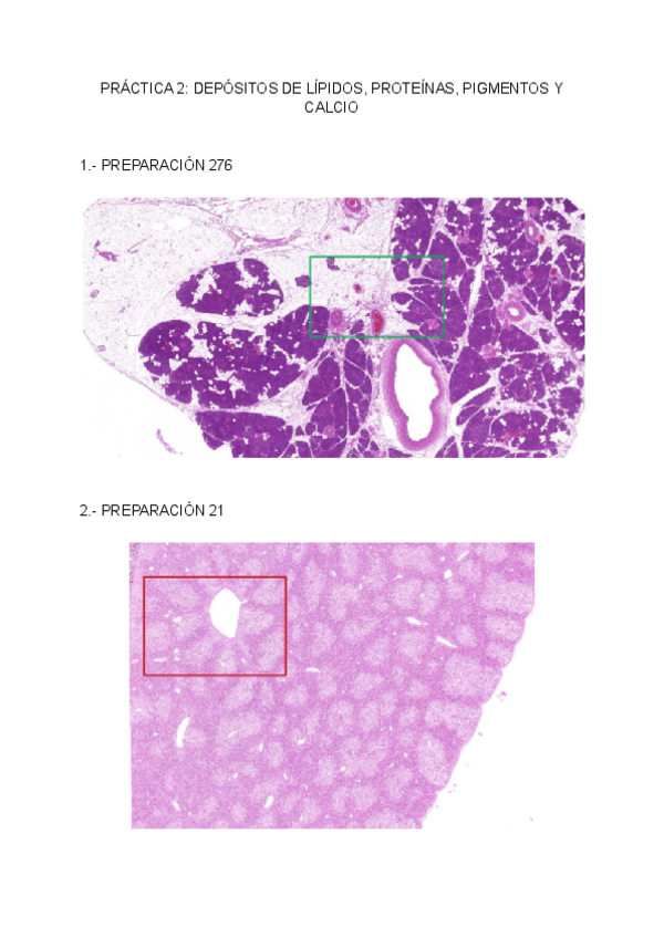
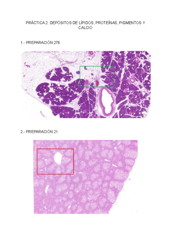
PRACTICA-2-DEPOSITOS-DE-LIPIDOS-PROTEINAS-PIGMENTOS-Y-CALCIO.pdf
PRACTICA-1-ADAPTACION-Y-LESION-CELULAR.pdf
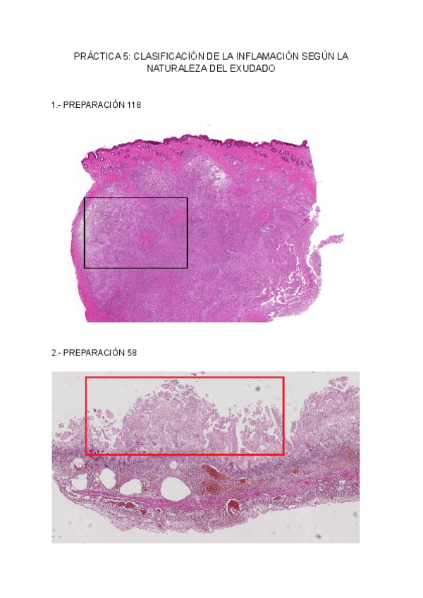
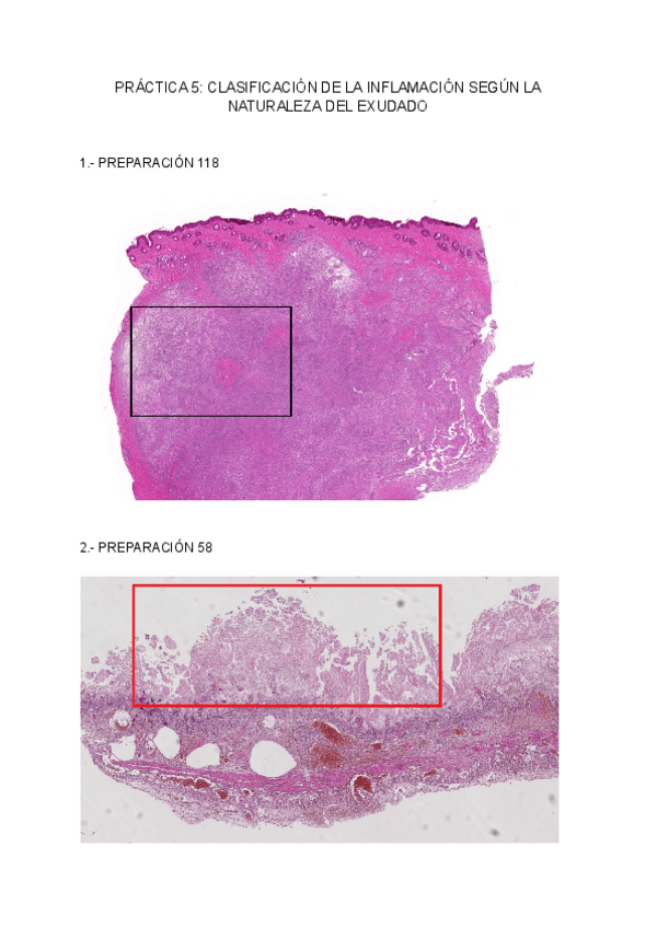
PRACTICA-5-CLASIFICACION-DE-LA-INFLAMACION-SEGUN-LA-NATURALEZA-DEL-EXUDADO.pdf