@Syntax_error

8 Publicaciones

1.37k Interacciones

2 Seguidores

3 Siguiendo

Lista de publicaciones de Syntax_error

He publicado nuevos apuntes de 1º Bioquímica: Tema-1.pdf

3 páginas

He publicado nuevos ejercicios de 1º Principios Básicos de Química: ENLACECONVALENTE.pdf

9 páginas

He publicado nuevos ejercicios de 1º Química Analítica: ACTIVIDADES-T-5.pdf

8 páginas

He publicado nuevos examenes de 1º Principios Básicos de Química: EXAMEN-TEORICO.pdf

16 páginas

He publicado nuevos ejercicios de 1º Biometría: EJERCICIOS-T-7.pdf

3 páginas

He publicado nuevos ejercicios de 1º Física y Fisicoquímica Aplicadas a la Farmacia: ACTIVIDAD-T-8.pdf

1 página

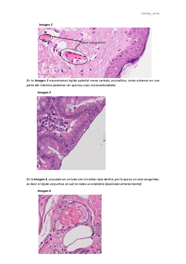
He publicado nuevos practicas de 1º Anatomía e Histología Humanas: PRACTICAS-DE-HISTOLOGIA-APUNTES.pdf

12 páginas

ejercicios

-

BIOMETRÍA

He publicado nuevos ejercicios de 1º Biometría: BIOMETRÍA

EJERCICIOS-T-5.pdf