@user_2922169

Estudios: Grado en Biología (UAM) ...Mostrar más

48 Publicaciones

633 Interacciones

0 Seguidores

0 Siguiendo

Lista de publicaciones de user_2922169

He publicado nuevos apuntes de 3º Fisiología Animal: 1FISIOLOGIA-ANIMAL.pdf

32 páginas

He publicado nuevos apuntes de 3º Fisiología Vegetal: Problemas-del-potencial-hidrico.pdf

3 páginas

He publicado nuevos apuntes de 2º Historia de la Biología y Evolución: HBE.pdf

26 páginas

He publicado nuevos apuntes de 4º Geobotánica: tema-1.pdf

3 páginas

He publicado nuevos apuntes de 1º Biología Celular e Histología: PRACTICAS.pdf

8 páginas

He publicado nuevos apuntes de 1º Biología Celular e Histología: IDENTIFICACION-DE-TEJIDOS-Y-ORGANOS-LINFOIDE.pdf

8 páginas

He publicado nuevos apuntes de 1º Biología Celular e Histología: IDENTIFICACION-DE-SANGRE-Y-HEMATOPOYESIS.pdf

7 páginas

He publicado nuevos examenes de 1º Matemáticas: examen-del-21-de-octubre-de-2022.pdf

3 páginas

He publicado nuevos examenes de 1º Matemáticas: EXAMEN-FINAL.pdf

4 páginas

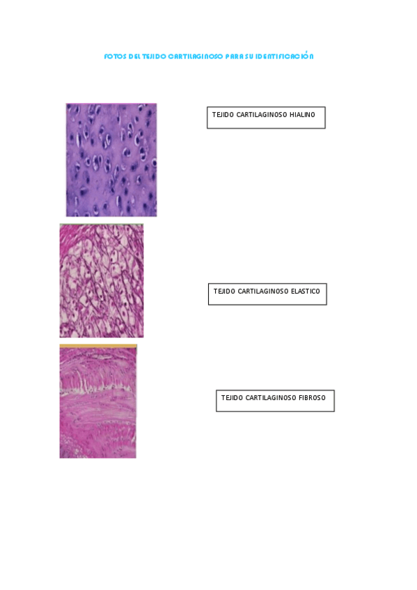
He publicado nuevos apuntes de 1º Biología Celular e Histología: FOTOS-DEL-TEJIDO-CARTILAGINOSO-PARA-SU-IDENTIFICACION.pdf

4 páginas

apuntes

-

Identificar tj epitelial de recubrimiento

He publicado nuevos apuntes de 1º Biología Celular e Histología: Identificar tj epitelial de recubrimiento

FOTOS-DEL-TEJIDO-EPITELIAL-DE-RECUBRIMIRNTO-PARA-SU-IDENTIFICACION..pdf
FOTOS-DEL-TEJIDO-EPITELIAL-DE-RECUBRIMIRNTO-PARA-SU-IDENTIFICACION.pdf

apuntes

-

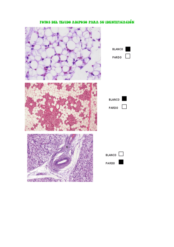
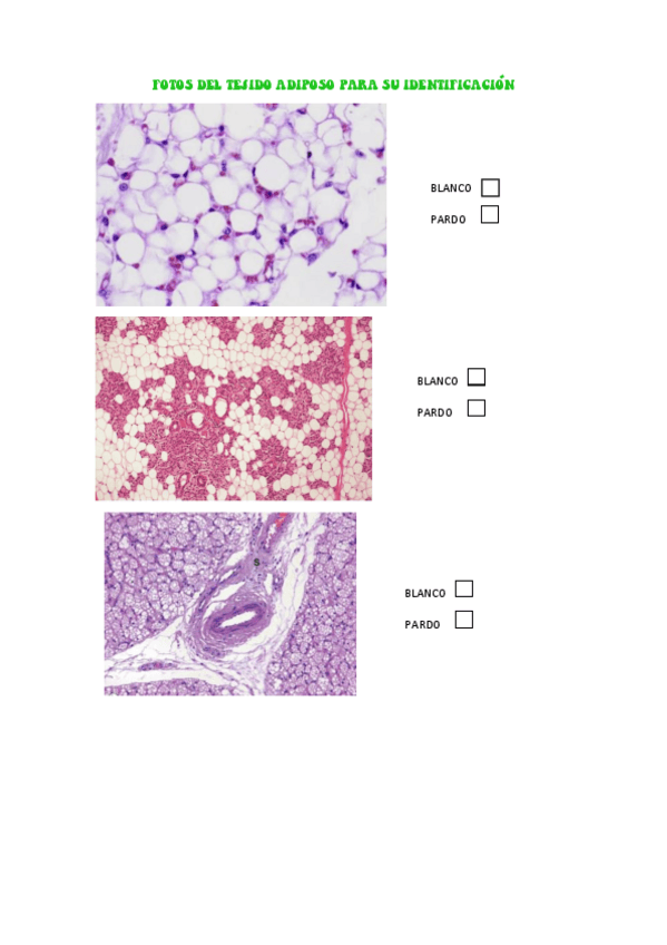
Identificar tj adiposo

He publicado nuevos apuntes de 1º Biología Celular e Histología: Identificar tj adiposo

SOLUCION..pdf
FOTOS-DEL-TEJIDO-ADIPOSO-PARA-SU-IDENTIFICACION.pdf

He publicado nuevos apuntes de 1º Química: NOMENCLATURA-quimica-organica.pdf

6 páginas

apuntes

-

Tejido epitelial

He publicado nuevos apuntes de 1º Biología Celular e Histología: Tejido epitelial

TEMA-2-Tejido-epitelial.pdf

He publicado nuevos apuntes de 1º Geología: FOSILES-1.pdf

4 páginas

He publicado nuevos apuntes de 1º Geología: PRACTICA-3.pdf

4 páginas

He publicado nuevos apuntes de 1º Geología: ROCAS-IGNEAS.pdf

6 páginas

He publicado nuevos apuntes de 1º Apuntes Variados: 111GuerraCivil1.pdf

10 páginas

He publicado nuevos apuntes de 1º Geología: Practica-1-.pdf

6 páginas

apuntes

-

tema de la democracia.

Muy bien resumidos.

133DEMOCpsoepp.pdf
132DEMOCC78.pdf
Documento-sin-titulo-4.pdf