@user_3235662

38 Publicaciones

235 Interacciones

0 Seguidores

1 Siguiendo

Lista de publicaciones de user_3235662

He publicado nuevos apuntes de 3º O.r.L: ORL-casos.pages

Miniatura no disponible
word

He publicado nuevos apuntes de 3º O.r.L: Otorrino-Palomar.pdf

19 páginas

He publicado nuevos apuntes de 3º O.r.L: ORL-seminaris.pdf

15 páginas

apuntes

-

Seminaris psico 2024

He publicado nuevos apuntes de 3º Psicología: Seminaris psico 2024

Sem-pscio-10-25.pdf
Sem-psico-1-9.pdf

apuntes

-

Psico apunts 2024

He publicado nuevos apuntes de 3º Psicología: Psico apunts 2024

Psico-batalla.pdf
Mora.pdf
Miret.pdf
Psico-mur.pdf
TCA-PSICO-mur.pdf
Psico-mur2.pdf

He publicado nuevos apuntes de 3º Bioética: Bioetica.pdf

23 páginas

apuntes

-

AP

He publicado nuevos apuntes de 3º Anatomía Patologica y Fisiopatología: AP

AP-teoria.pdf
AP-seminaris.pdf
Dra.-Petit.pdf
CANCER-matias-guiu.pdf
Tumors-pallares.pdf
Hemodinamica.pdf

He publicado nuevos apuntes de 2º Examen Clínico: Cardio-Worner.pdf

12 páginas

He publicado nuevos apuntes de 2º Examen Clínico: 2n-Examen-clinic.pdf

94 páginas

He publicado nuevos apuntes de 2º Examen Clínico: 1r-Examen-clinic.pdf

102 páginas

apuntes

-

Seminaris histo

He publicado nuevos apuntes de 1º Anatomia Microscòpica: Seminaris histo

P1-Histo-teixits.pdf
P3-cardiovascular-i-respiratori.pdf
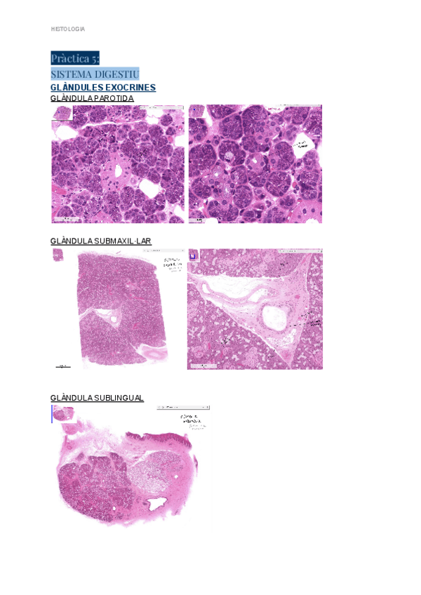
P5-Aparell-digestiu-1.pdf
P6-Aparell-digestiu-2.pdf
P7-Sistema-endocri.pdf
P9-Reproductor-femeni.pdf

apuntes

-

Seminari 1-9 BES

He publicado nuevos apuntes de 1º Bioestadística: Seminari 1-9 BES

Seminari-5.pdf
Seminari-6.pdf
Seminari-7.pdf
Seminari-8.pdf
Seminari-9.pdf
Seminari-1.pdf