@user_3288670

Estudios: Laboratorio Clínico y Biomédico ...Mostrar más

17 Publicaciones

156 Interacciones

1 Seguidores

3 Siguiendo

Lista de publicaciones de user_3288670

trabajos

-

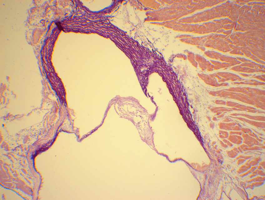
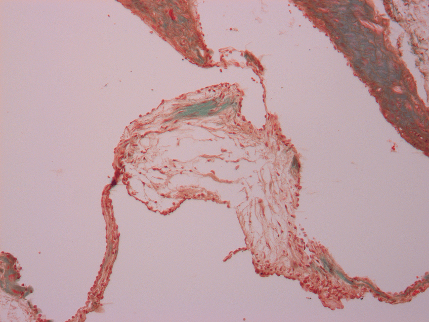
Trabajo fotografías biopsias

He publicado nuevos trabajos de Microbiología Clínica: Trabajo fotografías biopsias

IMAGEN-2-Tricromico.-Corte-no-14.-234-3.-10x..jpg
Miniatura no disponible
IMAGEN-3-Picrosirio-corte-no-13-234-3.-x10030.-sin-osc.tif
IMAGEN-1-Resorcina.-Corte-no-16.-234-3.-4x..jpg
Miniatura no disponible
IMAGEN-3-Picrosirio-corte-no-13-234-3.-x10030.-osc.tif

apuntes

-

Trabajo final 3 trimestre

He publicado nuevos apuntes de Formación y Orientación Laboral: Trabajo final 3 trimestre

Presentacion-FOL.pdf
FOL-2o-TRIMESTRE-3.pdf

Análisis hematologico

12 páginas

He publicado nuevos trabajos de Formación y Orientación Laboral: trabajo-foll.png

Imagen

He publicado nuevos apuntes de Biología Molecular y Citogenética: Tema-6.pdf

3 páginas

He publicado nuevos apuntes de Biología Molecular y Citogenética: Tema-5.pdf

6 páginas

He publicado nuevos trabajos de Formación y Orientación Laboral: Nominas.pdf

1 página

He publicado nuevos apuntes de Biología Molecular y Citogenética: Salas-de-laboratorio-clinico-BM.pdf

1 página

He publicado nuevos apuntes de Técnicas Generales de Laboratorio: Materiales-laboratorio.pdf

3 páginas

He publicado nuevos apuntes de Técnicas Generales de Laboratorio: Tablas-del-agua-TGL.pdf

2 páginas