@Yalcej

Estudios: ESO ...Mostrar más

13 Publicaciones

71 Interacciones

3 Seguidores

2 Siguiendo

Lista de publicaciones de Yalcej

Números del 1-79 en francés y su pronunciación.

3 páginas

Pronombre sujeto, Verbo terminado en ER, forma negativa, verbo être y avoir.

3 páginas

Combinación de las vocales en Francés, vocales nasales y su pronunciación.

1 página

He publicado nuevos apuntes de Prótesis mixtas, quirúrgicas e implantosoportadas: Protesis-sobre-implante.pdf

5 páginas

He publicado nuevos apuntes de Prótesis mixtas, quirúrgicas e implantosoportadas: Protesis-mixta.pdf

6 páginas

He publicado nuevos apuntes de Diseño de prótesis y aparatos de ortodoncia: placas.pdf

4 páginas

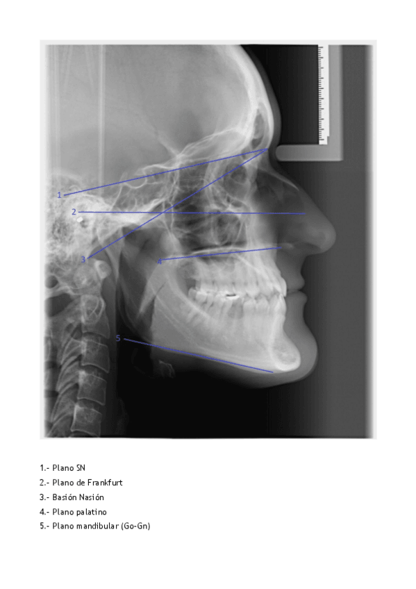
Principales puntos para localizar en una cefalometría

1 página

Es importante conocer cada musculo y poder localizar, siempre tendrán mucha influencia en nuestras prótesis.

2 páginas

Es muy importante a la hora de crear una pieza dental su morfología, en estos apuntes se describe cada pieza.

8 páginas

dientes artificiales montados en resina, completas...

6 páginas

tipos de implante, fase de laboratorio, toma de impresión, etc...

8 páginas

Todo lo necesario para montar un laboratorio y las leyes por las que se rige.

6 páginas

apuntes

-

Acrilicos Ortodoncia

He publicado nuevos apuntes de Diseño de prótesis y aparatos de ortodoncia: Acrilicos Ortodoncia

acrilicos.pdf