
Torrevicens - Imagen para el Diagnóstico y Medicina Nuclear
Lleida
Sube tus apuntes
arrow_forwardAsignaturas de Torrevicens - Imagen para el Diagnóstico y Medicina Nuclear
Asignatura
arrow_downward4 posts
3 posts
2 posts
2 posts
14 posts
10 posts
Últimas publicaciones de Torrevicens - Imagen para el Diagnóstico y Medicina Nuclear
He publicado nuevos trabajos de Técnicas de Imagen por Resonancia Magnética: RM-Genoll.pdf
He publicado nuevos ejercicios de Técnicas de Radiología Especial: Exploracions-orals-p.2.pdf
He publicado nuevos ejercicios de Técnicas de Radiología Especial: Exploracions-orals-p.1.pdf
He publicado nuevos trabajos de Técnicas de Imagen por Resonancia Magnética: Resum-estudis-RM.pdf
He publicado nuevos apuntes de Formación y orientación laboral: Treball-i-salut.pdf
He publicado nuevos apuntes de Formación y orientación laboral: Prevencio-de-riscos-laborals.pdf
He publicado nuevos apuntes de Formación y orientación laboral: EL-DRET-DEL-TREBALL.pdf
He publicado nuevos apuntes de Formación y orientación laboral: GESTIO-DE-LA-PREVENCIO.pdf
He publicado nuevos apuntes de Técnicas de Radiología Simple: Projeccions-dhumer-i-escapula.pdf
He publicado nuevos apuntes de Técnicas de Radiología Simple: projeccions-crani-sinus-paranasals-ossos-facials.pdf
He publicado nuevos apuntes de Técnicas de Radiología Simple: projeccions-pelvis-i-genoll.pdf
He publicado nuevos apuntes de Técnicas de Radiología Especial: EXPLORACIONS-RADIOLOGIQUES-DE-LAPARELL-DIGESTIU-I-VASCULAR.pdf
He publicado nuevos ejercicios de Técnicas de Radiología Especial: Activitat-Angiografia.docx.pdf
He publicado nuevos ejercicios de Técnicas de Radiología Especial: Activitat-fluoroscopia.pdf
He publicado nuevos test de Técnicas de Radiología Especial: PREGUNTES-TIPO-TEST.pdf
He publicado nuevos apuntes de Técnicas de Radiología Especial: EXPLORACIONS-RADIOLOGIOQUES-DE-LAPARELL-DIGESTIU.pdf
He publicado nuevos apuntes de Técnicas de Radiofarmacia: Tipus-de-tractaments.pdf
He publicado nuevos apuntes de Técnicas de imagen en medicina nuclear: SISTEMA-MUSCULO-ESQUELETIC.pdf
He publicado nuevos trabajos de Técnicas de Radiología Especial: fluoroscopia-ppt.pdf
He publicado nuevos trabajos de Técnicas de Radiología Especial: fluoroscopia.pdf
He publicado nuevos apuntes de Técnicas de Imagen por Resonancia Magnética: BOBINES-DE-GRADIENT-I-SELECCIO-PELS-DIFERENTS-TALLS.pdf
He publicado nuevos apuntes de Técnicas de Radiología Especial: EXPLORACIONS-GENITOURINARIES.pdf
He publicado nuevos apuntes de Protección radiológica: INSTITUCIONS-PROTECCIO-RADIOLOGICA.pdf
He publicado nuevos apuntes de Protección radiológica: DOSIMETRES-PERSONALS.pdf
He publicado nuevos apuntes de Técnicas de Tomografía Computarizada y Ecografía: Infografia-TC.pdf
He publicado nuevos apuntes de Técnicas de Radiología Especial: Preparacio-del-pacient.pdf
He publicado nuevos apuntes de Técnicas de Radiofarmacia: Instrucions-per-a-la-preparacio-del-Tc-99m-MDP.pdf
He publicado nuevos apuntes de Técnicas de Imagen por Resonancia Magnética: Espin-eco-i-eco-gradient.pdf
He publicado nuevos apuntes de Técnicas de Imagen por Resonancia Magnética: IMANS.pdf
He publicado nuevos apuntes de Técnicas de Imagen por Resonancia Magnética: Fase-desfase-i-refase.pdf
He publicado nuevos apuntes de Técnicas de Imagen por Resonancia Magnética: Preguntes-repas-magnituds-vectorials.pdf
He publicado nuevos apuntes de Técnicas de Imagen por Resonancia Magnética: resum-efectes-adversos.pdf
He publicado nuevos apuntes de Técnicas de Imagen por Resonancia Magnética: REVISIO-DE-CONCEPTES-camp-magnetic.pdf
He publicado nuevos apuntes de Técnicas de Imagen por Resonancia Magnética: Resum-potenciacions.pdf
He publicado nuevos apuntes de Técnicas de Imagen por Resonancia Magnética: T1-T2-1-1.pdf
He publicado nuevos apuntes de Técnicas de Imagen por Resonancia Magnética: Riscos-de-ressonancia-magnetica.pdf
He publicado nuevos apuntes de Técnicas de Imagen por Resonancia Magnética: RX-TC-RM.pdf
He publicado nuevos apuntes de Técnicas de Imagen por Resonancia Magnética: Diferencia-de-transferencia-denergia-1.pdf
He publicado nuevos apuntes de Técnicas de Radiología Simple: PROJECCIONS-EXTREMITATS-INFERIORS.pdf
He publicado nuevos apuntes de Técnicas de Radiología Simple: PROJECCIONS-EXTREMITATS-SUPERIOR.pdf
He publicado nuevos apuntes de Técnicas de Radiología Simple: projeccions-cama.pdf
He publicado nuevos apuntes de Técnicas de Radiología Simple: projeccions-columna.pdf
He publicado nuevos apuntes de Técnicas de Radiología Simple: projeccions-crani.pdf
He publicado nuevos apuntes de Técnicas de Radiología Simple: projeccions-crani.pdf
He publicado nuevos apuntes de Técnicas de Radiología Simple: projeccions-esternumcostelles.pdf
He publicado nuevos trabajos de Fundamentos Físicos y Equipos: ONES-MATERIALS-I-ULTRASONS.pdf
He publicado nuevos apuntes de Fundamentos Físicos y Equipos: RADIACIO-ELECTROMAGNETICA.pdf
He publicado nuevos apuntes de Fundamentos Físicos y Equipos: MODELS-ATOMICS.pdf
He publicado nuevos apuntes de Fundamentos Físicos y Equipos: Conveccio-conduccio-radiacio.pdf
He publicado nuevos apuntes de Atención al Paciente: PREVENCIO-I-CONTROL-DE-MALALTIES-TRANSMISSIBLES.pdf
He publicado nuevos apuntes de Atención al Paciente: INDICADORS-SANITARIS.pdf
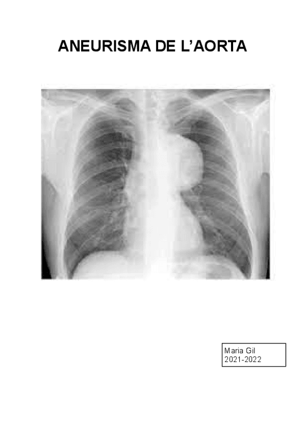
He publicado nuevos trabajos de Anatomía por la imagen: ANEURISMA-DE-LAORTA.pdf
He publicado nuevos apuntes de Técnicas de Radiología Especial: MAMOGRAFIA.pdf
He publicado nuevos apuntes de Técnicas de Radiología Especial: mamografia.pdf
He publicado nuevos apuntes de Técnicas de Radiología Especial: TECNICA-DE-SELDNGER-esquema.pdf
He publicado nuevos apuntes de Técnicas de Tomografía Computarizada y Ecografía: tipus-de-reconstruccions-i-artefactes.pdf