@eidersh06

Estudios: Radioterapia y Dosimetría ...Mostrar más

52 Publicaciones

129 Interacciones

5 Seguidores

0 Siguiendo

Lista de publicaciones de eidersh06

apuntes

-

SIMULACIÓN DEL TRATAMIENTO

Inmakulada Lanbide Ikastola

PARTE-1-simulacion-del-tratamiento.pdf
SIMULACION-DEL-TRATAMIENTO-SEGUNDA-PARTE.pdf

apuntes

-

BRAQUITERAPIA

Inmakulada Lanbide Ikastola

PARTE-1-fisica.pdf
BRAQUITERAPIA-SEGUNDA-PARTE.pdf

practicas

-

PRACTICA ANATOMIA PRAKTIKATU

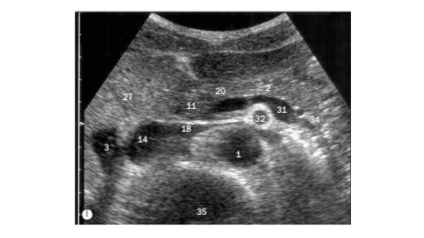
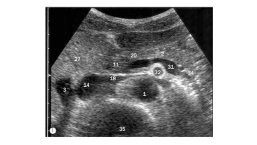
Ejercicios de identificación anatómica en diferentes equipos. Anatomiaren identifikazioa ekipo desberdinetan jarduteko ariketak

IMAGENES-TAC-IRUDIAK.pdf
IMAGENES-RESO-IRUDIAK.pdf
IMAGENES-ECO-IRUDIAK.pdf
IMAGENES-RX-IRUDIAK.pdf
IMAGENES-RX-IRUDIAK.pdf
IMAGENES-RX-IRUDIAK.pdf

Hoola! He actualizado la carpeta de anatomía por la imagen que tengo para poder practicar. Intentaré subir nuevas prácticas todas las semanas. Kaixoo! Anatomiaren karpeta aktualizatu det. Saiatuko naiz astero zeoze berria igotzen.

Hola/Kaixo!!! He creado una carpeta donde iré subiendo ejercicios de anatomía por la imagen para poder practicar, con las respuestas. Iré subiendo de diferentes niveles. Karpeta bat sortu dut, bertara anatomiako ariketak igoko ditut praktikatzeko aukera izan dezazuten, erantzunak daude. Maila desberdinetakoak igoko ditut.

HE SUBIDO UNA CARPETA ENTERA CON APUNTES DE BIOLOGIA II EN EUSKERA. La carpeta se llama PAIS VASCO BIO. Cualquier duda o lo que necesitéis podéis escribirme. https://www.wuolah.com/join-eiesh068

HE SUBIDO APUNTES EN EUSKERA: -Proyecciones -Protección Radiológica (resumen de todo el año) -Equipos (resumen de todo el año) Todos estos documentos disponen de muchos dibujos que ayudan a la comprensión de los términos.

apuntes

-

PROYECCIONES/PROIEKZIOAK

ESTÁN EN EUSKERA. Apuntes realizados en la asignatura de técnicas de radiología simple (PRA)

34-MANDIBULA.pdf
33-HUESOS-FACIALES.pdf
32-CABEZA.pdf
31-SENOS-PARANASALES.pdf
30-SILLA-TURCA.pdf
29-CRANEO.pdf