@mariaaa_it_21_

103 Publicaciones

2.11k Interacciones

34 Seguidores

0 Siguiendo

Lista de publicaciones de mariaaa_it_21_

apuntes

-

PRÁCTICAS EPIDEMIOLOGÍA.pdf

He subido una guía de como hacer las practicas de epidemiología de tablas de frecuencia con excel explicado paso a paso.

GUIA-PRACTICA-EPIDEMIOLOGIA-CON-EXCEL.pdf.pdf
EJERCICIO-DESCRIPTIVA.pdf
PRACTICA-EPI-1-12-2025.pdf

practicas

-

PRACTICAS MIEMBRO INFERIOR

He subido la ultima practica de anatomía: miembro inferior separado como en el aula virtual

PRACTICA-12-coxal-femur-sacro-y-rotula.pdf
PRACTICA-13-tibia-perone-y-pie.pdf

apuntes

-

HISTOLOGÍA

He subido los apuntes de histología

TEMA-3.-TEJIDO-CONJUNTIVO.pdf
TEMA-4.-Tejido-conjuntivo-especializado-i.pdf
TEMA-5.-Tejido-conjuntivo-especializado-II.pdf
TEMA-6.-TEJIDO-MUSCULAR.pdf
TEMA-7.-TEJIDO-NERVIOSO.pdf

practicas

-

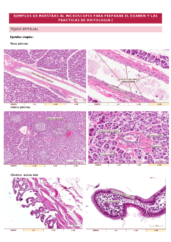
EJEMPLOS DE MUESTRAS PARA LA PRACTICA DE HISTOLOGÍA

He publicado nuevos practicas de 1º Biología Molecular y Celular. Histología Humana: EJEMPLOS DE MUESTRAS PARA LA PRACTICA DE HISTOLOGÍA

EJEMPLOS-DE-MUESTRAS-PARA-LA-PRACTICA-DE-HISTOLOGIA1.pdf
EJEMPLOS-DE-MUESTRAS-PARA-LA-PRACTICA-DE-HISTOLOGIA-copia.pdf

practicas

-

PRACTICAS ANATOMIA

He publicado nuevos practicas de 1º Anatomía Humana: PRACTICAS ANATOMIA

PRACTICA-1-ANATOMIA.pdf
Practica-anatomia-2.-Endocraneo.pdf
Practica-3-Anatomia-encefalo.pdf
Practica-4-anatomia-columna-vertebral.pdf
PRACTICA-ANATOMIA-5-costillas-y-esternon.pdf
PRACTICA-ANATOMIA-6.pdf

apuntes

-

BIOLOGÍA MOLECULAR

He subido los temas de biología molecular

TEMA-14-METABOLISMO-DEL-NITROGENO.pdf
TEMA-15.-REGULACION-METABOLICA.pdf
TEMA-16.-RADIACION.pdf

He subido un ejemplo de test sobre el tema del corazón basado en los apuntes (no son preguntas de exámenes reales) con soluciones.

9 páginas

examenes

-

PSICOLOGIA-TEST PARA PRACTICAR

He subido algunos exámenes de ejemplo con soluciones (no son preguntas de exámenes reales, están creados a partir de los apuntes) para practicar para el primer parcial de PSICOLOGIA.

ADHESION-AL-TRATMIENTO-EXAMEN-TIPO-TEST.pdf
ESTRES-EXAMEN-TIPO-TEST.pdf
T1Y2-EXAMEN-TIPO-TEST.pdf

examenes

-

PREGUNTAS TIPO TEST PARA PRACTICAR EXAMEN BIOQUIMICA (T1-8)

He subido algunos exámenes de ejemplo con soluciones para practicar para el primer parcial de bioquímica. No son preguntas de exámenes reales, están creadas a partir de los apuntes ya subidos a Wuolah. El nivel de dificultad es medio-difícil.

PREGUNTAS-TIPO-TEST-PARA-PRACTICAR-EXAMEN-BIOQUIMICA-T1-3.pdf
PREGUNTAS-TIPO-TEST-PARA-PRACTICAR-EXAMEN-BIOQUIMICA-aminoacidos-y-proteinas.pdf
ExamentipotestavanzadoEnzimasBioquimica.pdf

He subido los apuntes del TEMA 13: METABOLISMO DE LOS LIPIDOS de biología.

5 páginas

He subido los apuntes del TEMA 12: GLUCONEOGÉNESIS Y METABOLISMO DEL GLUCÓGENO de biología molecular.

5 páginas

He subido el tema 11: ciclo de Krebs, de biología molecular y celular.

6 páginas

He subido los apuntes del tema 10 de metabolismo de los hidratos de carbono de biología.

4 páginas

He subido los apuntes de la introducción al bloque de metabolismo de biología.

2 páginas

He subido los apuntes de bioquímica temas 7 y 8: enzimas y regulaciones enzimática. Biología molecular 1º.

6 páginas

He subido la practica de histológica de tejido epitelial y conjuntivo con la información básica requerida para la practica.

9 páginas

He subido los apuntes de enlace peptídico y proteínas, tema 6 bioquímica.

4 páginas